万千商家帮你免费找货
0 人在求购买到急需产品
- 详细信息
- 文献和实验
- 技术资料
- 供应商:
上海联祖
- 库存:
30
- 生长状态:
贴壁生长
- 是否是肿瘤细胞:
否
- 规格:
T25培养瓶
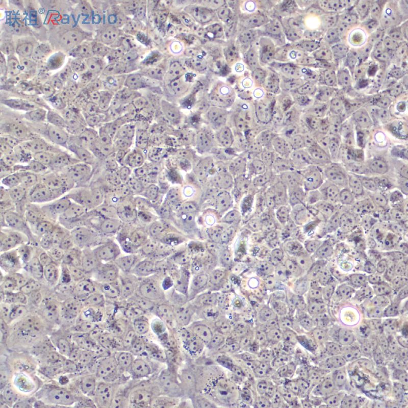
| 细胞名称 | 兔脂肪微血管内皮细胞 |
| 货号 | LZ-YX10430 |
| 规格 | T25培养瓶 |
| 培养条件 | 温度:37℃ |
| 种属 | 兔原代细胞 |
| 运输 | 常温 |
公司正在出售的产品:
| Hce-8693细胞,人盲肠腺癌细胞(未分化) 人视网膜母细胞瘤,Rb细胞 人Burkkit淋巴瘤细胞;Daudi | 雪旺氏细胞Many types of cells包装:5 × 105次方(1ml) |
| 人间充质干细胞-肝脏RNAHMSC-hp miRNA5 μg | C1orf131: 1号染色体开放阅读框131抗体 0.2ml |
| 人卵巢畸胎瘤细胞;PA-1 | Rhesus antibody Rh CENPA 着丝粒蛋白A 规格 0.1ml |
| 杂交瘤(B类);Z172A4C4C6F3G12 Butt's 淋巴瘤细胞,Raji细胞 HBZY-1细胞,大鼠肾小球系膜细胞EC(HBZY-1) | FE ELISA Kit 大鼠铁蛋白Multi-class antibodies规格: 48T |
| IL13RA1 Others Mouse 小鼠 IL-13Ra1 人细胞裂解液 (阳性对照) | phospho-GSK-3 Beta(Ser9): 0酸化糖原合酶激酶-3β抗体 0.1ml |
| PDHA1 Others Human 人 PDHA1 / C54G1 (aa 30-390) 杆状病毒-昆虫细胞裂解液 (阳性对照) | PCDH1: 原钙粘附蛋白1抗体 0.2ml |
| 牛陀螺状细胞;BT 鸡淋巴瘤细胞,DT40细胞 Kert-3细胞,小鼠肾癌细胞 | Anti-NuMA/FITC 荧光素标记核有丝分裂器NuMA蛋白抗体IgGMulti-class antibodies规格: 0.2ml |
| HWP visceral Pellet 人类内脏白前脂肪细胞团块 > 1 mio.cells 人真皮微血管内皮细胞总RNAHDMEC NA | NF-KapB p65 (Rabbit nuclear factor-KapB p65) ELISA Kit 兔核因子κB亚基p65亲和肽 96T |
| FZD1 Others Mouse 小鼠 FZD1 人细胞裂解液 (阳性对照) | Rhesus antibody Rh phospho-FRS2(Tyr436) 0酸化成纤维细胞生长因子受体底物2抗体 规格 0.1ml |
| GFRA1 Others Mouse 小鼠 GFRA1 / GFR alpha-1 人细胞裂解液 (阳性对照) | Rhesus antibody Rh KLHDC5 kelch样蛋白5抗体 规格 0.2ml |
| F7 Others Mouse 小鼠 Coagulation Factor VII / FVII / F7 CHO细胞裂解液 (阳性对照) | GADD153(Growth arrest and DNA damage-inducible 153) 生长抑制DNA损伤基因153抗原 0.5mg |
| T-109B弹性蛋白酶(含100mL酶解缓冲液)10mL | MSH2: 错配修复蛋白2抗体 0.1ml |
| 兔脂肪微血管内皮细胞FES Others Human 人 FES Kinase / Feline sarcoma oncogene 杆状病毒-昆虫细胞裂解液 (阳性对照) | Goat Anti-human IgG/Gold 金标记羊抗人IgG(10nm/15nm)Multi-class antibodies规格: 0.5ml |
| 人脉络丛成纤维细胞HCPF | Anti-RPLP0 酸性核糖体0蛋白大亚基P0抗体Multi-class antibodies规格: 0.2ml |
| ICAM1 Others Rat 大鼠 ICAM1 / CD54 人细胞裂解液 (阳性对照) | Anti-IL-8/FITC 荧光素标记兔抗人、、猪、羊、兔白介素8抗体IgGMulti-class antibodies规格: 0.2ml |
注意事项:
1.收到细胞后,若发现干冰已挥发干净、冻存管瓶盖脱落、破损及细胞有污染,请立即与我们系。
2.收到细胞先不开瓶盖,瓶身擦拭酒精后放在培养箱静置2-4小时(视细胞密度而定)稳定细胞状态。接着在倒置显微镜下观察细胞生长情况,并对细胞进行不同倍数拍照(建议收细胞时就整体外观拍一张照片,观察培养基的颜色和是否有漏液情况,随后在显微镜下拍下细胞状态,100*,200*各一张),观察记录细胞在运输过程中是否有污染情况。作为我方进行销售依据。
3.由于细胞状态受环境、操作和运输等多方面因素影响,故本公司只保证客户收到细胞后一周内的细胞状态,故客户需要售后时需出示收到细胞的时间证明及客户提供收货时间和发现问题后客服人员沟通的时间证明,期间间隔时间不能大于7天。
4.所有动物细胞均视为有潜在的生物危害性,必须在二级生物安全台内操作,并请注意防护,所有废液及接触过此细胞的器皿需要灭菌后方能丢弃。
5.客户在细胞培养过程中任何问题可联系我们在线客服,我们随时给予解答。
风险提示:丁香通仅作为第三方平台,为商家信息发布提供平台空间。用户咨询产品时请注意保护个人信息及财产安全,合理判断,谨慎选购商品,商家和用户对交易行为负责。对于医疗器械类产品,请先查证核实企业经营资质和医疗器械产品注册证情况。
文献和实验脑微血管内皮细胞是构成血脑屏障(blood-brain barrier,BBB)的重要成分,与外周血管内皮细胞不同,它具有高跨内皮阻抗(transendothelial electrical resistance,TER)、细胞间紧密连接、极少的胞饮小泡、缺乏窗孔结构以及含有选择性双向跨细胞膜转运系统等独有的特征,从而使血脑屏障形成一个限制大多数极性分子和蛋白质运动的选择性低渗透性的屏障[1]。由于体外培养的脑微血管内皮细胞保持了较多的其体内固有的特点[1],因此目前脑微血管内皮细胞
原代微血管内皮 细 胞( Primary Microvascular Endothelial Cells )的体外分离培养 微血管内皮细胞生长因子的应用和免疫磁珠技术的发展,使微血管内皮细胞的培养和纯化变得相对简化。 1、微血管内皮细胞培养简述人体主要器官和组织的微血管内皮细胞已经培养成功的有:骨骼肌、心、脑、胃、视网膜、肺、皮肤、脉络膜、小肠、脂肪、肝窦、肾、关节滑膜、胎盘、骨髓、胰岛、角膜及食道等器官组织的微血管内皮细胞。 2、微血管内皮细胞的分离目前分离内皮细胞的方法主要有三种
。经孔径为110μm尼龙筛网过滤,将滤液以4000r/min离心10min; 4. 弃离心后的上清液。给沉淀加入15%右旋糖苷溶液,重新悬浮沉淀。然后,再以4000r/min离心20min。收集微血管片段; 5. 用0.05%胶原酶溶液消化2—4h。用Hanks液洗涤并离心,给微血管片段加入M199培养液; 6. 接种到培养瓶中,置37℃、5%CO2 的培养箱中(湿度100%)培养 7. 24h后换液,将未贴壁的微血管段移入其它培养瓶或皿中继续贴壁生长。之后,每3d换液
技术资料暂无技术资料 索取技术资料









