万千商家帮你免费找货
0 人在求购买到急需产品
- 详细信息
- 技术资料
- 供应商:
上海联祖
- 库存:
44
- 生长状态:
贴壁生长
- 是否是肿瘤细胞:
否
- 规格:
T25培养瓶
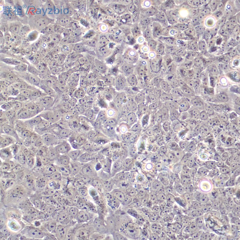
兔输尿管平滑肌细胞
| 细胞名称 | 兔输尿管平滑肌细胞 |
| 货号 | LZ-YX10366 |
| 规格 | T25培养瓶 |
| 培养条件 | 温度:37℃ |
| 种属 | 兔原代细胞 |
| 运输 | 常温 |
公司正在出售的产品:
| EFNA3 Others Human 人 EphrinA3 / EFNA3 人细胞裂解液 (阳性对照) | 小鼠源细胞 |
| BEAS-2B 人支气管上皮细胞 | IRAK(Human interleukin receptor associated kinase) ELISA Kit 人白介素受体相关激酶 96T |
| AAV-293(人胚肾细胞) 5×106cells/瓶×2 | Rhesus antibody Rh TID1/HCA57 肝癌相关抗原57抗体 规格 0.2ml |
| SEMA4A Others Human 人 Semaphorin-4A / SEMA4A / Semaphorin-B 人细胞裂解液 (阳性对照) | Anti-TTF-2 甲状腺转录因子-2抗体Multi-class antibodies规格: 0.1ml |
| MME Others Rat 大鼠 CD10 / Neprilysin / MME 人细胞裂解液 (阳性对照) | Anti-MMP-8/FITC 荧光素标记基质金属蛋白酶-8抗体IgGMulti-class antibodies规格: 0.2ml |
| Hs 683细胞,人脑视神经胶质瘤细胞 人癌细胞,MDA-MB-468细胞 动物上皮细胞培养基EpiCM-a | MMP-3(Human Matrix metalloproteinase 3) ELISA kit 人基质金属蛋白酶3Multi-class antibodies规格: 48T |
| SLIK1 Others Human 人 SLIK1 人细胞裂解液 (阳性对照) | HEATR2: HEATR2蛋白抗体 0.2ml |
| hCD34+-CB-c pooled 脐带血来源的人类造血祖细胞,混合来源 100000 人脊柱间充质干细胞HVMSC | Rhesus antibody Rh IgG/PE-Cy5.5 PE-Cy5.5标记的驴抗豚鼠IgG 规格 0.1ml |
| CD4 Others Human 人 CD4 / LEU3 人细胞裂解液 (阳性对照) | SPAC7: 顶端体相关蛋白7抗体 0.2ml |
| Promocell C-27439 Adipocyte Nuition Medium KIT, 脂肪细胞营养培养基套装 500ml | phospho-CD244(Tyr271): 0酸化CD244抗体 0.1ml |
| E2 Others Human 人 Autotaxin / E2 / 2 人细胞裂解液 (阳性对照) | Rhesus antibody Rh Caveolin-1 细胞质膜微囊蛋白-1抗体 规格 0.1ml |
| rRTEC, 大鼠肾小管上皮细胞 | BK ELISA Kit 大鼠血管舒缓激肽Multi-class antibodies规格: 48T |
| 兔输尿管平滑肌细胞VDR Others Mouse 小鼠 VDR / NR1I1 杆状病毒-昆虫细胞裂解液 (阳性对照) | phospho-FOXO4 (Ser262): 0酸化叉头蛋白4抗体 0.1ml |
| 人结直肠腺癌细胞;LoVo | Noelin: 嗅球蛋白1抗体 0.2ml |
| RPS6KB1 Others Human 人 PS6K / RPS6KB1 杆状病毒-昆虫细胞裂解液 (阳性对照) | Anti-PTHrP/FITC 荧光素标记甲状旁腺激素相关蛋白抗体IgGMulti-class antibodies规格: 0.2ml |
注意事项:
1.收到细胞后,若发现干冰已挥发干净、冻存管瓶盖脱落、破损及细胞有污染,请立即与我们系。
2.收到细胞先不开瓶盖,瓶身擦拭酒精后放在培养箱静置2-4小时(视细胞密度而定)稳定细胞状态。接着在倒置显微镜下观察细胞生长情况,并对细胞进行不同倍数拍照(建议收细胞时就整体外观拍一张照片,观察培养基的颜色和是否有漏液情况,随后在显微镜下拍下细胞状态,100*,200*各一张),观察记录细胞在运输过程中是否有污染情况。作为我方进行销售依据。
3.由于细胞状态受环境、操作和运输等多方面因素影响,故本公司只保证客户收到细胞后一周内的细胞状态,故客户需要售后时需出示收到细胞的时间证明及客户提供收货时间和发现问题后客服人员沟通的时间证明,期间间隔时间不能大于7天。
4.所有动物细胞均视为有潜在的生物危害性,必须在二级生物安全台内操作,并请注意防护,所有废液及接触过此细胞的器皿需要灭菌后方能丢弃。
5.客户在细胞培养过程中任何问题可联系我们在线客服,我们随时给予解答。
风险提示:丁香通仅作为第三方平台,为商家信息发布提供平台空间。用户咨询产品时请注意保护个人信息及财产安全,合理判断,谨慎选购商品,商家和用户对交易行为负责。对于医疗器械类产品,请先查证核实企业经营资质和医疗器械产品注册证情况。
技术资料暂无技术资料 索取技术资料
兔输尿管平滑肌细胞
¥3000 - 6900









