万千商家帮你免费找货
0 人在求购买到急需产品
- 详细信息
- 技术资料
- 供应商:
上海联祖
- 库存:
38
- 生长状态:
贴壁生长
- 是否是肿瘤细胞:
否
- 规格:
T25培养瓶
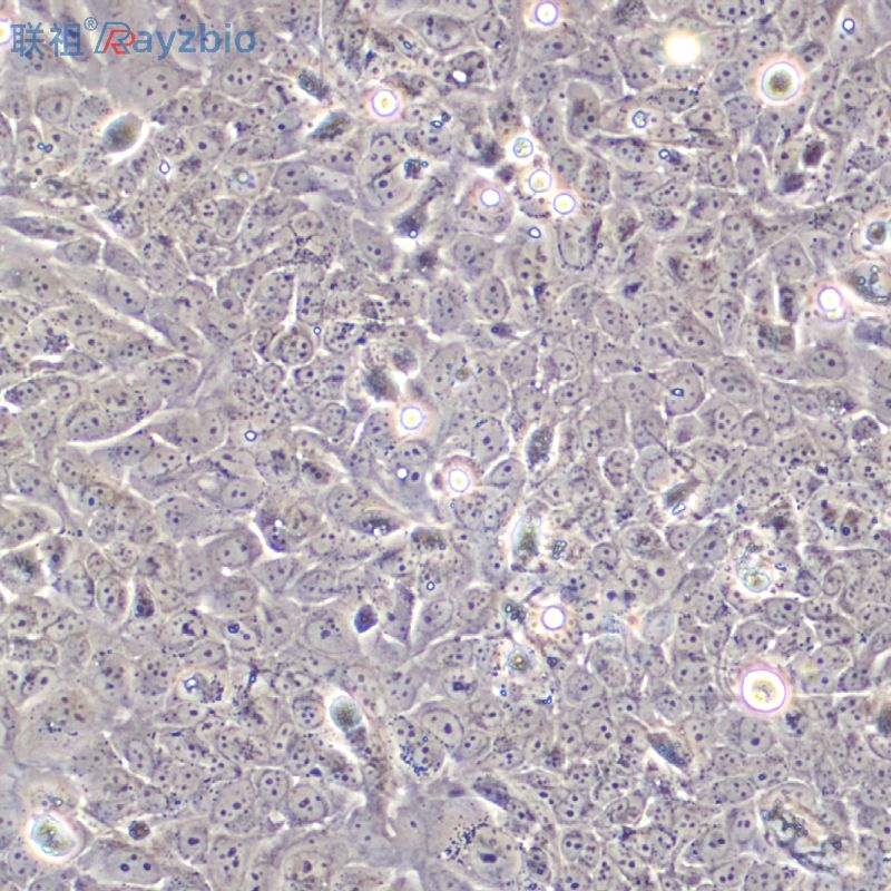
兔肠粘膜上皮细胞
| 细胞名称 | 兔肠粘膜上皮细胞 |
| 货号 | LZ-YX10360 |
| 规格 | T25培养瓶 |
| 培养条件 | 温度:37℃ |
| 种属 | 兔原代细胞 |
| 运输 | 常温 |
公司正在出售的产品:
| HCC1937(人癌细胞) 5×106cells/瓶×2 CL-0377LLC-WRC 256(大鼠腹水癌细胞)5×106cells/瓶×2 恒河猴肾细胞;LLC-MK2 | 小鼠诱导性多潜能干细胞;PUMC-mips-D2 |
| 恒河猴肾细胞;LLC-MK2 | STK(Human serine/threonine protein kinase) ELISA Kit 人丝酸/苏酸蛋酸酶 96T |
| IL21 Protein Human 重组人 Ierleukin-21 / IL-21 蛋白 | Rhesus antibody Rh TIAM1 T淋巴瘤侵袭转移诱导蛋白1抗体 规格 0.1ml |
| L1210(小鼠白血病细胞) 5×106cells/瓶×2 小鼠 IL1RL1 / ST2 人细胞裂解液 (阳性对照) | Anti-Tubulin-alpha 微管蛋白抗体Multi-class antibodies规格: 0.1ml |
| EPCAM Others Cynomolgus 食蟹猴 EpCAM / OP-1 / TACSTD1 人细胞裂解液 (阳性对照) | Anti-MMP-9/FITC 荧光素标记基质金属蛋白酶-9蛋白抗体IgGMulti-class antibodies规格: 0.2ml |
| 非洲绿猴肾细胞系/HCV-E2;Vero-HCV-E2 人癌细胞,MCF-7细胞 SPC-A-1(肺腺癌细胞) | MMP-2/Gelatinase A(Human Matrix metalloproteinase 2/Gelatinase A) ELISA kit 人基质金属蛋白酶2/明胶酶AMulti-class antibodies规格: 48T |
| TIMP1 Others Mouse 小鼠 TIMP1 / TIMP / CLGI 人细胞裂解液 (阳性对照) | HSF2 binding protein: 热休克因子2结合蛋白抗体 0.2ml |
| HA Others H5N1 甲型流感 H5N1 (A/chicken/India/NIV33487/2006) 血凝素 (Hemagglutinin / HA) 人细胞裂解液 (阳性对照) | Rhesus antibody Rh IgG/PE-CY5 PE-CY5标记的驴抗豚鼠IgG 规格 0.1ml |
| ADAM12 Others Human 人 ADAM12 人细胞裂解液 (阳性对照) | Sox9a: 转录因子sox9a抗体 0.2ml |
| NCI-H292(人肺癌细胞) 5×106cells/瓶×2 甲型流感 H5N1 (A/bar-headed goose/Qinghai/1A/2005) 血凝素HA1 (Hemagglutinin) 人细胞裂解液 (阳性对照) | Cdc25B: 细胞分裂周期蛋白25B抗体 0.1ml |
| NRBF2 Others Human 人 NRBF2 杆状病毒-昆虫细胞裂解液 (阳性对照) | Rhesus antibody Rh CATSPER 阳离子通道相关蛋白1抗体 规格 0.2ml |
| RLFs, 大鼠肺成纤维细胞 | Resistin ELISA Kit 大鼠抵抗素Multi-class antibodies规格: 48T |
| 兔肠粘膜上皮细胞FAM3C Others Human 人 FAM3C / ILEI 人细胞裂解液 (阳性对照) | phospho-FOXO4 (Ser197): 0酸化叉头蛋白4抗体 0.1ml |
| 人结直肠腺癌细胞;HCT-8 [HRT-18] | OST-beta: 有机溶质转运蛋白OSTβ抗体 0.1ml |
| ALOX15B Others Human 人 ALOX15B / 15 Lipoxygenase 2 杆状病毒-昆虫细胞裂解液 (阳性对照) | Anti-Survivin/RBITC 红色荧光素罗丹明标记 Survivin 蛋白抗体(标记抗体)Multi-class antibodies规格: 0.2ml |
注意事项:
1.收到细胞后,若发现干冰已挥发干净、冻存管瓶盖脱落、破损及细胞有污染,请立即与我们系。
2.收到细胞先不开瓶盖,瓶身擦拭酒精后放在培养箱静置2-4小时(视细胞密度而定)稳定细胞状态。接着在倒置显微镜下观察细胞生长情况,并对细胞进行不同倍数拍照(建议收细胞时就整体外观拍一张照片,观察培养基的颜色和是否有漏液情况,随后在显微镜下拍下细胞状态,100*,200*各一张),观察记录细胞在运输过程中是否有污染情况。作为我方进行销售依据。
3.由于细胞状态受环境、操作和运输等多方面因素影响,故本公司只保证客户收到细胞后一周内的细胞状态,故客户需要售后时需出示收到细胞的时间证明及客户提供收货时间和发现问题后客服人员沟通的时间证明,期间间隔时间不能大于7天。
4.所有动物细胞均视为有潜在的生物危害性,必须在二级生物安全台内操作,并请注意防护,所有废液及接触过此细胞的器皿需要灭菌后方能丢弃。
5.客户在细胞培养过程中任何问题可联系我们在线客服,我们随时给予解答。
风险提示:丁香通仅作为第三方平台,为商家信息发布提供平台空间。用户咨询产品时请注意保护个人信息及财产安全,合理判断,谨慎选购商品,商家和用户对交易行为负责。对于医疗器械类产品,请先查证核实企业经营资质和医疗器械产品注册证情况。
技术资料暂无技术资料 索取技术资料
兔肠粘膜上皮细胞
¥3000 - 6900









