万千商家帮你免费找货
0 人在求购买到急需产品
- 详细信息
- 技术资料
- 供应商:
上海联祖
- 库存:
31
- 生长状态:
贴壁生长
- 是否是肿瘤细胞:
否
- 规格:
T25培养瓶
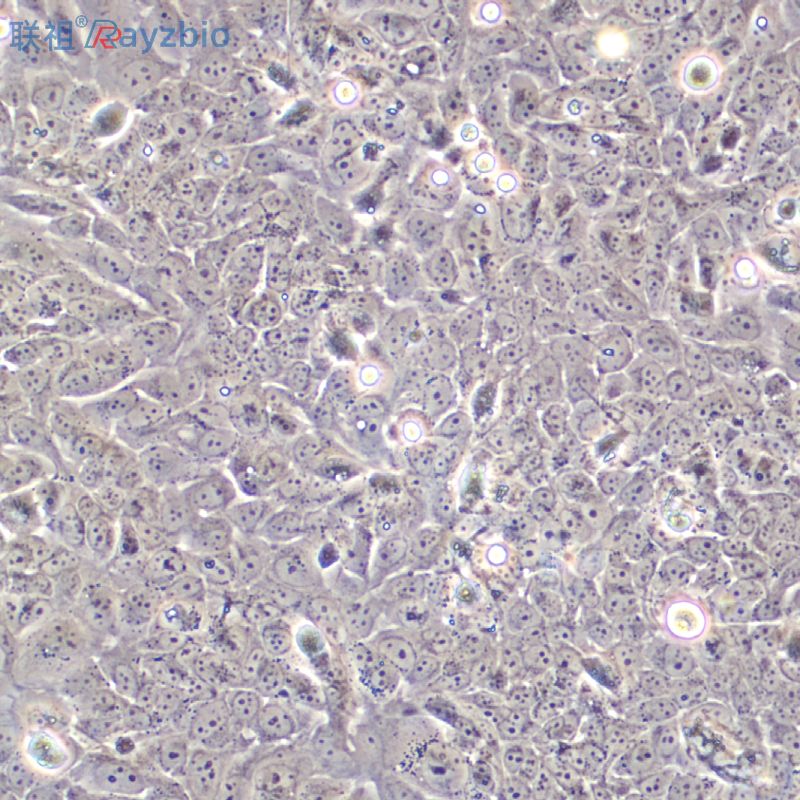
小鼠巩膜上皮细胞
| 细胞名称 | 小鼠巩膜上皮细胞 |
| 货号 | LZ-YX10275 |
| 规格 | T25培养瓶 |
| 培养条件 | 温度:37℃ |
| 种属 | 小鼠原代细胞 |
| 运输 | 常温 |
公司正在出售的产品:
| KM小鼠脑神经胶质母细胞瘤瘤株;G422 | KYSE70细胞,人食管鳞癌 神经胶质瘤细胞,SHG-44细胞 猪肾传代细胞;IBRS-2 |
| CCDC47 Others Human 人 CCDC47 人细胞裂解液 (阳性对照) | Anti-HRH3/GPCR97 组织胺H3受体抗体Multi-class antibodies规格: 0.1ml |
| LTEP-s细胞,人肺鳞癌细胞 小鼠皮肤细胞,JB6-C30细胞 CL-0114Hs 578T(人癌细胞)5×106cells/瓶×2 | Anti-CCL6/C10/FITC 荧光素标记嗜酸粒细胞趋化蛋白CCL6抗体IgGMulti-class antibodies规格: 0.2ml |
| 人B淋巴细胞瘤细胞;RAMOS(RA.1) | ASAP3: GTP酶激活蛋白ASAP3抗体 0.2ml |
| PANC-1, 人胰腺癌细胞 | Rhesus antibody Rh 8-OHdG 8-羟基脱氧鸟苷抗体 规格 0.1ml |
| 小鼠虹膜色素上皮细胞完全培养基 100mL | Rhesus antibody Rh HURP/DAP5 肝癌上调蛋白抗体 规格 0.2ml |
| IL6 Protein Mouse 重组小鼠 IL6 / Ierleukin-6 蛋白 | HSP-60( Heat shock protein-60) 热休克蛋白-60(抗原) 0.5mg |
| EB病毒转化的人B淋巴细胞(彝族);KM934 | MAML1: 主导控制样蛋白1抗体 0.2ml |
| MDA-MB-231 人癌细胞 | Caspase-9 白介素1-β转化酶样凋亡蛋白酶6(抗原)Multi-class antibodies规格: 0.5mg |
| CM-R114大鼠视网膜微血管内皮细胞完全培养基100mL | HCG(Human Chorionic Gonadotrophin) ELISA Kit 人绒毛膜促性腺激素Multi-class antibodies规格: 48T |
| 人胚肺成纤维细胞;IMR-90 | HURP: 肝癌上调蛋白抗体 0.2ml |
| 豹猫肺成纤维样细胞;LCL2 中国仓鼠肺细胞,V79-4细胞 3T6-Swiss albino细胞,小鼠胚胎成纤维细胞 | Rhesus antibody Rh Factor X 凝血因子10抗体 规格 0.2ml |
| 小鼠巩膜上皮细胞CSC, 小鼠心肌细胞 | IgG/PE-Cy7 PE-Cy7标记的小鼠抗豚鼠IgG 0.1ml |
| CL-0369IR983F(大鼠骨髓瘤细胞)5×106cells/瓶×2 | OPN ELISA Kit 大鼠骨桥素 96T |
| CFPAC-1(人胰腺癌细胞) 5×106cells/瓶×2 | Rhesus antibody Rh IgM/FITC FITC标记的兔抗人IgM 规格 0.3ml |
注意事项:
1.收到细胞后,若发现干冰已挥发干净、冻存管瓶盖脱落、破损及细胞有污染,请立即与我们系。
2.收到细胞先不开瓶盖,瓶身擦拭酒精后放在培养箱静置2-4小时(视细胞密度而定)稳定细胞状态。接着在倒置显微镜下观察细胞生长情况,并对细胞进行不同倍数拍照(建议收细胞时就整体外观拍一张照片,观察培养基的颜色和是否有漏液情况,随后在显微镜下拍下细胞状态,100*,200*各一张),观察记录细胞在运输过程中是否有污染情况。作为我方进行销售依据。
3.由于细胞状态受环境、操作和运输等多方面因素影响,故本公司只保证客户收到细胞后一周内的细胞状态,故客户需要售后时需出示收到细胞的时间证明及客户提供收货时间和发现问题后客服人员沟通的时间证明,期间间隔时间不能大于7天。
4.所有动物细胞均视为有潜在的生物危害性,必须在二级生物安全台内操作,并请注意防护,所有废液及接触过此细胞的器皿需要灭菌后方能丢弃。
5.客户在细胞培养过程中任何问题可联系我们在线客服,我们随时给予解答。
风险提示:丁香通仅作为第三方平台,为商家信息发布提供平台空间。用户咨询产品时请注意保护个人信息及财产安全,合理判断,谨慎选购商品,商家和用户对交易行为负责。对于医疗器械类产品,请先查证核实企业经营资质和医疗器械产品注册证情况。
技术资料暂无技术资料 索取技术资料
小鼠巩膜上皮细胞
¥3000 - 6900









