万千商家帮你免费找货
0 人在求购买到急需产品
- 详细信息
- 技术资料
- 供应商:
上海联祖
- 库存:
48
- 生长状态:
贴壁生长
- 是否是肿瘤细胞:
否
- 规格:
T25培养瓶
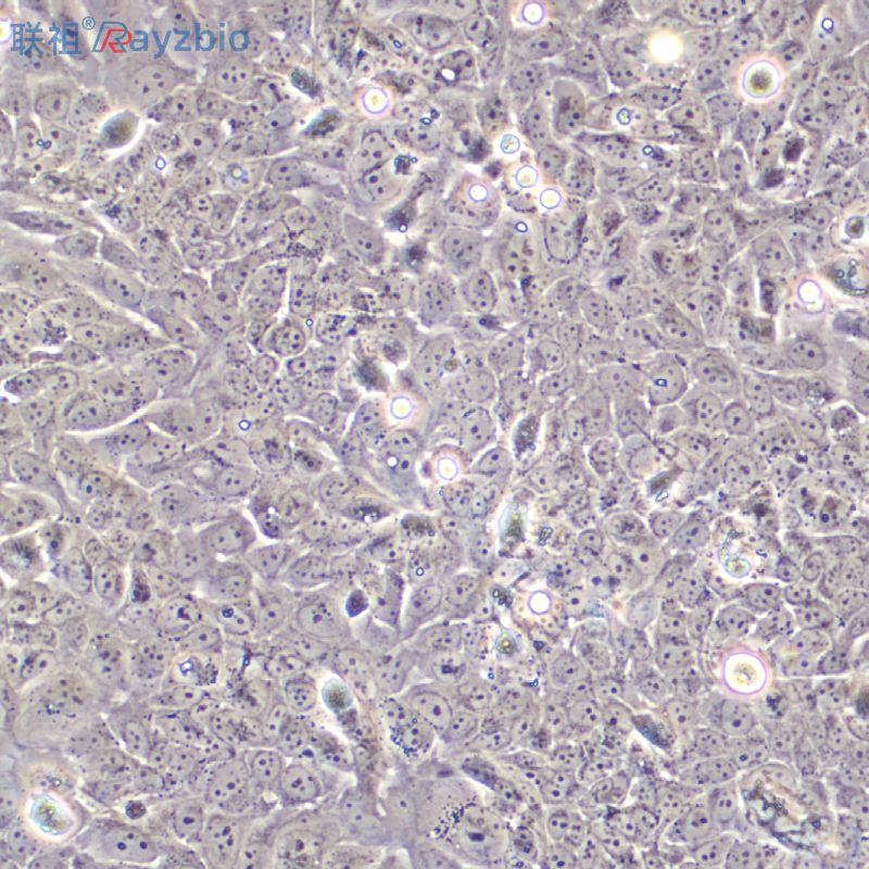
小鼠小胶质细胞
| 细胞名称 | 小鼠小胶质细胞 |
| 货号 | LZ-YX10252 |
| 规格 | T25培养瓶 |
| 培养条件 | 温度:37℃ |
| 种属 | 小鼠原代细胞 |
| 运输 | 常温 |
公司正在出售的产品:
| 人少突胶质前体细胞RNAHOPC miRNA5 μg | NSC,大鼠神经干细胞 人脑视神经胶质瘤细胞,Hs 683细胞 RF/6A(猴脉络膜-视网膜(内皮)细胞) |
| GBC-SD, 人胆囊癌细胞 猴肾细胞,HepII细胞 TE 354.T(人皮肤基底细胞癌) | RECK: 金属蛋白酶抑制因子RECK抗体 0.2ml |
| TNFRSF1A Others Human 人 TNFRSF1A / TNFRI / CD120a 人细胞裂解液 (阳性对照) | Anti-HEV/FITC 荧光素标记戊型肝炎病毒抗体IgGMulti-class antibodies规格: 0.2ml |
| 非洲绿猴肾细胞系/HCV-E1;Vero-HCV-E1 | INH(Human Inhibin) ELISA Kit 人抑制素 96T |
| 人皮肤成纤维细胞;CCC-HSF-1 | Rhesus antibody Rh PTOP 肾上腺皮质发育异常同源蛋白抗体 规格 0.2ml |
| IL17A Protein Human 重组人 IL17 / IL17A 蛋白 | CCDC38: 卷曲螺旋结构域蛋白38抗体 0.2ml |
| CL-0132KG-1(人急性骨髓性白血病细胞)5×106cells/瓶×2 | Rhesus antibody Rh BOLA1 BOLA1蛋白抗体 规格 0.2ml |
| CL-0209SHZ-88(大鼠癌细胞)5×106cells/瓶×2 | VCAM-1/CD106(Mouse Vascuolar cell adhesion molecule 1) ELISA Kit 小鼠血管内皮细胞粘附分子1Multi-class antibodies规格: 48T |
| 人肝窦内皮细胞完全培养基 100mL | ELAC2: 遗传性前列腺癌蛋白2抗体 0.2ml |
| QGY-7701, 人肝癌细胞 | anti-Integrin alpha E2 整合素alpha E2 抗体Multi-class antibodies规格: 0.1ml |
| 人肾透明细胞癌;Caki-1 | Anti-CXCR5/CD185/FITC 荧光素标记细胞表面趋化因子受体5抗体IgGMulti-class antibodies规格: 0.2ml |
| 3T3-L1, 小鼠前脂肪细胞 小鼠肝癌细胞,HEPA1-6细胞 FO(骨髓瘤细胞) | phospho-AMPK alpha-1 (Thr198): 0酸化腺苷单0酸活化蛋白激酶α1抗体 0.1ml |
| 小鼠小胶质细胞PPBP Protein Rat 重组大鼠 NAP-2 / PPBP / CXCL7 蛋白 (Fc 标签) | 成纤维细胞生长因子受体4抗体 Anti-FGFR4 0.1ml |
| LLC细胞,小鼠肺癌细胞 CHO(中国仓鼠卵巢细胞) 恒河猴肺细胞;RM-L1 | Rhesus antibody Rh GRB2/ASH 生长因子受体结合蛋白2抗体 规格 0.1ml |
| 人导管瘤细胞;BT-474 | Kappa light chain/Alexa Fluor 350 Alexa Fluor 350标记的兔抗小鼠k链 0.1ml |
注意事项:
1.收到细胞后,若发现干冰已挥发干净、冻存管瓶盖脱落、破损及细胞有污染,请立即与我们系。
2.收到细胞先不开瓶盖,瓶身擦拭酒精后放在培养箱静置2-4小时(视细胞密度而定)稳定细胞状态。接着在倒置显微镜下观察细胞生长情况,并对细胞进行不同倍数拍照(建议收细胞时就整体外观拍一张照片,观察培养基的颜色和是否有漏液情况,随后在显微镜下拍下细胞状态,100*,200*各一张),观察记录细胞在运输过程中是否有污染情况。作为我方进行销售依据。
3.由于细胞状态受环境、操作和运输等多方面因素影响,故本公司只保证客户收到细胞后一周内的细胞状态,故客户需要售后时需出示收到细胞的时间证明及客户提供收货时间和发现问题后客服人员沟通的时间证明,期间间隔时间不能大于7天。
4.所有动物细胞均视为有潜在的生物危害性,必须在二级生物安全台内操作,并请注意防护,所有废液及接触过此细胞的器皿需要灭菌后方能丢弃。
5.客户在细胞培养过程中任何问题可联系我们在线客服,我们随时给予解答。
风险提示:丁香通仅作为第三方平台,为商家信息发布提供平台空间。用户咨询产品时请注意保护个人信息及财产安全,合理判断,谨慎选购商品,商家和用户对交易行为负责。对于医疗器械类产品,请先查证核实企业经营资质和医疗器械产品注册证情况。
技术资料暂无技术资料 索取技术资料
小鼠小胶质细胞
¥3000 - 6900









