万千商家帮你免费找货
0 人在求购买到急需产品
- 详细信息
- 技术资料
- 供应商:
上海联祖
- 库存:
27
- 生长状态:
贴壁生长
- 是否是肿瘤细胞:
否
- 规格:
T25培养瓶
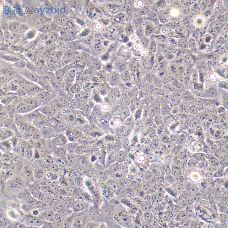
小鼠椎体终板软骨干细胞
| 细胞名称 | 小鼠椎体终板软骨干细胞 |
| 货号 | LZ-YX10231 |
| 规格 | T25培养瓶 |
| 培养条件 | 温度:37℃ |
| 种属 | 小鼠原代细胞 |
| 运输 | 常温 |
公司正在出售的产品:
| CL-0094HCC827(人非小细胞肺癌细胞)5×106cells/瓶×2 | 小鼠淋巴瘤细胞;P388D1(IL-1) |
| 人结直肠腺癌细胞;LS 174T [LS174T] | G蛋白偶联受体101抗体 |
| 人前列腺癌细胞;LNCaP | 抑癌蛋白AIMP3抗体 |
| HUM, 正常人主动脉平滑肌细胞 小鼠成纤维细胞,Y2细胞 NK-92MI(人恶性非霍奇金淋巴瘤患者的自然杀伤细胞) | 凝溶胶蛋白家族Fli-1抗体 |
| hMNC-CB-c pooledula-pure 脐带血来源的人类单核细胞 人前列腺微血管内皮细胞HPrMEC | 胆固醇酰基转移酶1抗体 |
| TNFRSF11B Others Cynomolgus 食蟹猴 Osteoprotegerin / TNFRSF11B 人细胞裂解液 (阳性对照) | 纤维细胞生长因子结合蛋白抗体 |
| A2780细胞,人卵巢癌细胞 鲑鱼胚胎细胞,CHSE细胞 脑微血管内皮细胞Many types of cells包装:5 × 105次方(1ml) | 乳腺癌增强蛋白2抗体 |
| 人肺细胞;HLF-a 人胰腺上皮细胞完全培养基 100mL | Ⅲ型纤维连接蛋白域蛋白8抗体 |
| EPHA6 Others Mouse 小鼠 EPHA6 / EHK-2 人细胞裂解液 (阳性对照) | G蛋白偶联受体101抗体 |
| RPE Others Human 人 RPE / RPE2-1 人细胞裂解液 (阳性对照) | 抑癌蛋白AIMP3抗体 |
| CD6 Others Mouse 小鼠 CD6 / TP120 人细胞裂解液 (阳性对照) | 凝溶胶蛋白家族Fli-1抗体 |
| EB病毒转化的人B淋巴细胞;KMY0927 | 胆固醇酰基转移酶1抗体 |
| 小鼠椎体终板软骨干细胞EDA2R Others Cynomolgus 食蟹猴 XEDAR / EDA2R 人细胞裂解液 (阳性对照) | 纤维细胞生长因子结合蛋白抗体 |
| 人骨骼肌细胞总RNAHSkMC NA | 乳腺癌增强蛋白2抗体 |
| CC Others Human 人 CC / chymoypsin C 人细胞裂解液 (阳性对照) | Ⅲ型纤维连接蛋白域蛋白8抗体 |
注意事项:
1.收到细胞后,若发现干冰已挥发干净、冻存管瓶盖脱落、破损及细胞有污染,请立即与我们系。
2.收到细胞先不开瓶盖,瓶身擦拭酒精后放在培养箱静置2-4小时(视细胞密度而定)稳定细胞状态。接着在倒置显微镜下观察细胞生长情况,并对细胞进行不同倍数拍照(建议收细胞时就整体外观拍一张照片,观察培养基的颜色和是否有漏液情况,随后在显微镜下拍下细胞状态,100*,200*各一张),观察记录细胞在运输过程中是否有污染情况。作为我方进行销售依据。
3.由于细胞状态受环境、操作和运输等多方面因素影响,故本公司只保证客户收到细胞后一周内的细胞状态,故客户需要售后时需出示收到细胞的时间证明及客户提供收货时间和发现问题后客服人员沟通的时间证明,期间间隔时间不能大于7天。
4.所有动物细胞均视为有潜在的生物危害性,必须在二级生物安全台内操作,并请注意防护,所有废液及接触过此细胞的器皿需要灭菌后方能丢弃。
5.客户在细胞培养过程中任何问题可联系我们在线客服,我们随时给予解答。
风险提示:丁香通仅作为第三方平台,为商家信息发布提供平台空间。用户咨询产品时请注意保护个人信息及财产安全,合理判断,谨慎选购商品,商家和用户对交易行为负责。对于医疗器械类产品,请先查证核实企业经营资质和医疗器械产品注册证情况。
技术资料暂无技术资料 索取技术资料
小鼠椎体终板软骨干细胞
¥3000 - 6900









