万千商家帮你免费找货
0 人在求购买到急需产品
- 详细信息
- 文献和实验
- 技术资料
- 供应商:
上海联祖
- 库存:
20
- 生长状态:
贴壁生长
- 是否是肿瘤细胞:
否
- 规格:
T25培养瓶
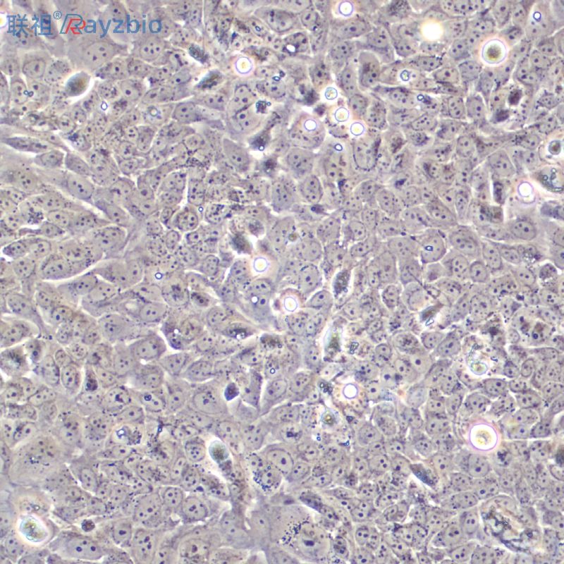
小鼠主动脉弓内皮细胞
| 细胞名称 | 小鼠主动脉弓内皮细胞 |
| 货号 | LZ-YX10146 |
| 规格 | T25培养瓶 |
| 培养条件 | 温度:37℃ |
| 种属 | 小鼠原代细胞 |
| 运输 | 常温 |
注意事项:
1.收到细胞后,若发现干冰已挥发干净、冻存管瓶盖脱落、破损及细胞有污染,请立即与我们系。
2.收到细胞先不开瓶盖,瓶身擦拭酒精后放在培养箱静置2-4小时(视细胞密度而定)稳定细胞状态。接着在倒置显微镜下观察细胞生长情况,并对细胞进行不同倍数拍照(建议收细胞时就整体外观拍一张照片,观察培养基的颜色和是否有漏液情况,随后在显微镜下拍下细胞状态,100*,200*各一张),观察记录细胞在运输过程中是否有污染情况。作为我方进行销售依据。
3.由于细胞状态受环境、操作和运输等多方面因素影响,故本公司只保证客户收到细胞后一周内的细胞状态,故客户需要售后时需出示收到细胞的时间证明及客户提供收货时间和发现问题后客服人员沟通的时间证明,期间间隔时间不能大于7天。
4.所有动物细胞均视为有潜在的生物危害性,必须在二级生物安全台内操作,并请注意防护,所有废液及接触过此细胞的器皿需要灭菌后方能丢弃。
5.客户在细胞培养过程中任何问题可联系我们在线客服,我们随时给予解答。 公司正在出售的产品:
| 人冠状动脉内皮细胞完全培养基 100mL | P9-EGFP-puro小鼠骨髓基质细胞 P9-EGFP-puro mouse bone marrow somal cells 1640+10%FBS+1%P/S |
| TIGIT Others Human 人 TIGIT / VSTM3 人细胞裂解液 (阳性对照) | 酸化活化蛋白激酶B抗体 |
| SDC1 Others Rat 大鼠 Syndecan-1 / SDC1 / CD138 人细胞裂解液 (阳性对照) | 肿瘤转移抑制基因GDIA1抗体 |
| 人皮肤鳞癌细胞;A-431 [A431] | 酸化细胞外信号调节激酶5抗体 |
| 血管内皮生长因子 | 转运蛋白家族39成员7抗体 |
| CM-M007小鼠支气管上皮细胞完全培养基100mL | 酸化乳腺癌易感基因相互作用蛋白1抗体 |
| 人视网膜色素上皮细胞裂解物HRPEpiCL | 转化生长因子β诱导蛋白3抗体(半氨酸和丝氨酸富含核蛋白1) |
| 人脐动脉内皮细胞RNAHUAEC miRNA5 μg | 酸化转化生长因子β活化激酶1 |
| 猪肾细胞;PK(15) | 酸化活化蛋白激酶B抗体 |
| CNE-1 高分化鼻咽癌细胞 | 肿瘤转移抑制基因GDIA1抗体 |
| HCC94(人子宫鳞癌细胞(高分化)) 5×106cells/瓶×2 | 酸化细胞外信号调节激酶5抗体 |
| G401细胞,人肾癌Wilms细胞 大鼠垂体细胞,RPC细胞 CL-0462UMR-106(大鼠骨肉瘤细胞)5×106cells/瓶×2 | 转运蛋白家族39成员7抗体 |
| 小鼠主动脉弓内皮细胞大鼠肾上腺嗜铬细胞瘤细胞(低分化);PC-12(低分化) | 酸化乳腺癌易感基因相互作用蛋白1抗体 |
| BRL 3A细胞,大鼠肝细胞 人转移胰腺癌细胞,AsPc-1细胞 CM-R109大鼠脑成纤维细胞完全培养基100mL | 转化生长因子β诱导蛋白3抗体(半氨酸和丝氨酸富含核蛋白1) |
| CD40LG Protein Canine 重组狗 CD40L / CD154 / TNFSF5 蛋白 (Fc 标签) | 酸化转化生长因子β活化激酶1 |
风险提示:丁香通仅作为第三方平台,为商家信息发布提供平台空间。用户咨询产品时请注意保护个人信息及财产安全,合理判断,谨慎选购商品,商家和用户对交易行为负责。对于医疗器械类产品,请先查证核实企业经营资质和医疗器械产品注册证情况。
文献和实验钝性分离胸腺暴露主动脉弓及分支,把主动脉弓、头臂干及左颈总动脉之间筋膜撕开小口,用穿线器穿线。结扎缩窄主动脉弓,其原理是将升主动脉或腹主动脉与24留置针头捆绑在一起造成主动脉狭窄。主动脉弓缩窄是一个慢性心室肥大的最为常用疾病模型,可用于模拟高血压或室内压增高而引起的肥厚性心肌病。此类方法制作心衰模型对技术要求比较高,操作时应当注意,不要破坏动脉血管,容易引起大出血导致造模失败。
内皮细胞分布于整个循环系统,从心脏到最小的毛细血管。在这个步骤中,气管的活力很非常重要。取出器官和开始消化之间的时间越短将提高细胞更有活力的产出及不在含氧量低的条件下太久。小鼠的数量需要:小鼠应该是5~6周大小。年龄大的小鼠内皮细胞的产出会少些。最少5个小鼠可以得到很好的产出。 一、材料和试剂 1. 内皮细胞生长添加剂(ECGS)(Sigma,catalognumber:E2759) 2. 胶原酶I(Invitrogen,Catalognumber:17100-017
摘要: 目的 探讨脑微血管内皮细胞的体外培养方法并进行细胞超微结构研究及组织型纤溶酶原激活物(TPA ) 活性测定。 方法 取新生小鼠脑组织, 通过匀浆、过筛、胶原酶消化、差速粘附等技术对鼠脑微血管内皮细胞进行原代培养, 待细胞铺满瓶底时, 用01125%胰酶20102%EDTA 消化, 离心收集内皮细胞, 进行传代培养。原代、传代各取8 例, 吸取培养液用酶联免疫吸附试验测试TPA 活性。 结果 经Ð 因子相关抗原免疫组织化学鉴定、细胞超微结构观察, 证明培养的是血管内皮细胞。培养
技术资料暂无技术资料 索取技术资料









