万千商家帮你免费找货
0 人在求购买到急需产品
- 详细信息
- 文献和实验
- 技术资料
- 供应商:
上海联祖
- 库存:
25
- 生长状态:
贴壁生长
- 规格:
T25培养瓶
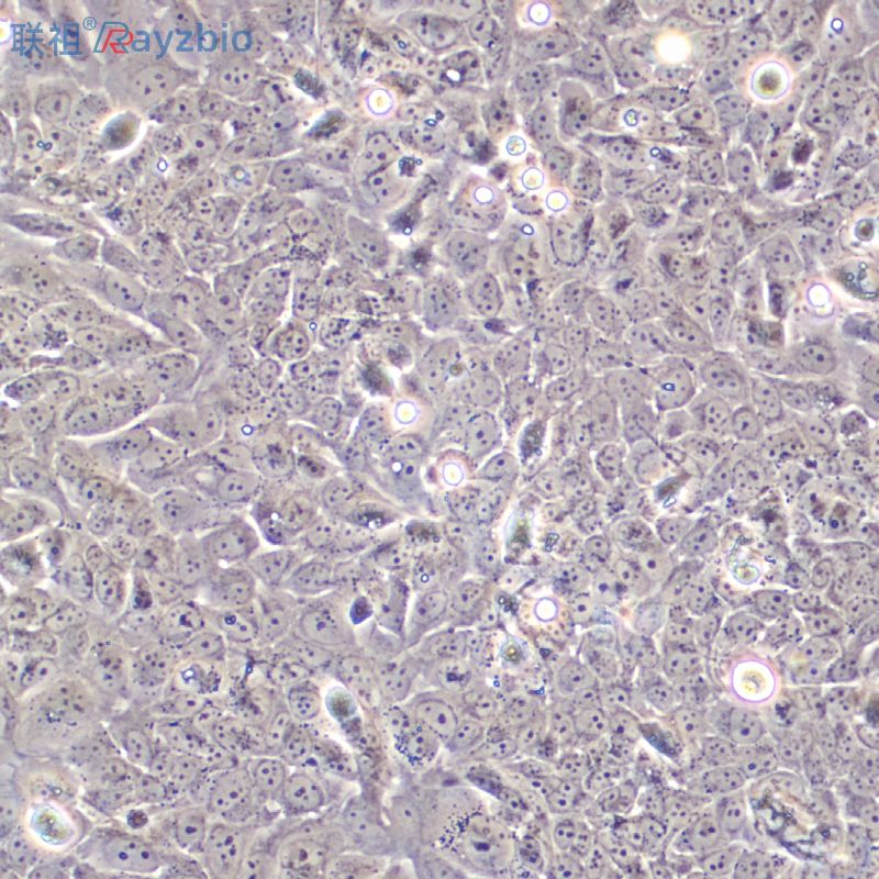
大鼠外周血间充质干细胞
| 细胞名称 | 大鼠外周血间充质干细胞 |
| 货号 | LZ-YX9594 |
| 规格 | T25培养瓶 |
| 培养条件 | 温度:37℃ |
| 种属 | 大鼠原代细胞 |
| 传代方法 | 5-8代 |
| 运输 | 常温 |
| 鉴定 |
注意事项:
1.收到细胞后,若发现干冰已挥发干净、冻存管瓶盖脱落、破损及细胞有污染,请立即与我们系。
2.收到细胞先不开瓶盖,瓶身擦拭酒精后放在培养箱静置2-4小时(视细胞密度而定)稳定细胞状态。接着在倒置显微镜下观察细胞生长情况,并对细胞进行不同倍数拍照(建议收细胞时就整体外观拍一张照片,观察培养基的颜色和是否有漏液情况,随后在显微镜下拍下细胞状态,100*,200*各一张),观察记录细胞在运输过程中是否有污染情况。作为我方进行销售依据。
3.由于细胞状态受环境、操作和运输等多方面因素影响,故本公司只保证客户收到细胞后一周内的细胞状态,故客户需要售后时需出示收到细胞的时间证明及客户提供收货时间和发现问题后客服人员沟通的时间证明,期间间隔时间不能大于7天。
4.所有动物细胞均视为有潜在的生物危害性,必须在二级生物安全台内操作,并请注意防护,所有废液及接触过此细胞的器皿需要灭菌后方能丢弃。
5.客户在细胞培养过程中任何问题可联系我们在线客服,我们随时给予解答。
公司正在出售的产品:
| 小鼠皮层神经胶质细胞(EGFP标记) | 小鼠诱导性多潜能干细胞;PUMC-mips-D3 IV型胶原酶(含10mL酶解缓冲液) 1mL |
| PDIA4 Others Human 人 ERP72 / PDIA4 人细胞裂解液 (阳性对照) | β2微球蛋白抗体(单抗) |
| JF-305细胞,人胰腺癌细胞 人皮肤癌细胞系,HS-1细胞 KM小鼠脑神经胶质母细胞瘤瘤株;G422 | 膜粘连蛋白7抗体 |
| EFNA3 Protein Human 重组人 Ephrin-A3 / EFNA3 蛋白 | 黑色素瘤相关抗原抗体 |
| 成纤维细胞培养基FM-sf | 细胞周期调控蛋白SDP35抗体 |
| 小鼠软骨细胞完全培养基 100mL | 端粒酶抑制因子PinX-1抗体 |
| NCI-H661(人大细胞肺癌细胞) 5×106cells/瓶×2 | 生长因子受体结合蛋白2相关接头蛋白2抗体 |
| 人海马趾星形胶质细胞总RNAHA-h NA | 酸二酯酶4A抗体 |
| 肾小球内皮细胞Many types of cells包装:5 × 105次方(1ml) | 造血干细胞特异性蛋白抗体 |
| 小鼠胚胎成纤维细胞;PA317 | 层粘连蛋白抗体 |
| SV40T转化的人胚肾细胞;293T | 缺氧诱导因子1β 抗体 |
| 盘羊皮肤细胞;ASHS3 卵巢细胞,Lec1细胞 L7712细胞,615小鼠T细胞性白血病瘤株 | 交联纤维蛋白二聚体抗体 |
| 大鼠外周血间充质干细胞非洲绿猴肾细胞;BS-C-1 | 血小板内皮细胞黏附分子1抗体 |
| 3T3L1细胞,小鼠胚胎成纤维细胞(前脂肪) 人癌细胞,ER-30细胞 体外管腔形成分析试剂盒IVTFA | 肝细胞核因子1α抗体 |
| HGC-27人胃癌细胞 Human | 铜转运蛋白质α链抗体 |
风险提示:丁香通仅作为第三方平台,为商家信息发布提供平台空间。用户咨询产品时请注意保护个人信息及财产安全,合理判断,谨慎选购商品,商家和用户对交易行为负责。对于医疗器械类产品,请先查证核实企业经营资质和医疗器械产品注册证情况。
文献和实验一、细胞复苏和接种 1. 37℃预热大鼠间充质干细胞培养液(RM-001)和基础培养液(RM-001B)。 2. 从液氮中取出细胞产品管,快速将其置入37℃水浴中解冻,直到管中只剩下最后一片结晶(注意:不要让水没过产品管)。 3. 在生物安全柜中,用75%的酒精擦拭产品管外壁。 4. 将产品管中的细胞移至15 ml无菌离心管中,慢慢逐滴加入预温的37℃ 基础培养液(RM-001B)4-5ml混匀,边滴加边摇匀。 5. 用1ml基础培养液(RM-001B)冲洗
为心肌细胞时必不可少。 b.造血干细胞(HSC) 干细胞因子(SCF):通过与 c-kit 受体结合,促进造血干细胞的增殖和存活。 GM-CSF(粒细胞-巨噬细胞集落刺激因子):用于促进髓系细胞的分化。 G-CSF(粒细胞集落刺激因子):用于动员造血干细胞进入外周血。 c.间充质干细胞(MSC) TGF-β1:在 MSC 分化为软骨细胞时发挥重要作用。 BMP-2 和 BMP-7:促进 MSC 分化为成骨细胞。 TGF-β3 和 BMP-12:诱导 MSC 分化为肌腱细胞。 (6)细胞
细胞产品因为其特殊生物活性,在购买过程中受到诸多因素影响,产品质量极其容易波动,甚至出现意外情况,诸如细胞死亡,活性降低,不生长等,其中人为主观因素和环境客观因素均非常重要。需要客户和商家做好有效细致的沟通。 一、购买前: 1、明确产品需求 细胞用户在购买细胞前,首先要非常清晰明确自己对产品的需求,细节如下: (1)细胞中文全称,包含物种来源,组织来源等。(不仔细看就会浪费自己的时间哦!) 比如:SD 大鼠骨髓间充质干细胞,「SD
技术资料暂无技术资料 索取技术资料










