万千商家帮你免费找货
0 人在求购买到急需产品
- 详细信息
- 询价记录
- 文献和实验
- 技术资料
- 供应商:
上海联祖
- 库存:
45
- 生长状态:
贴壁生长
- 是否是肿瘤细胞:
否
- 规格:
T25培养瓶
| 产品名称 | 规格 | 货号 |
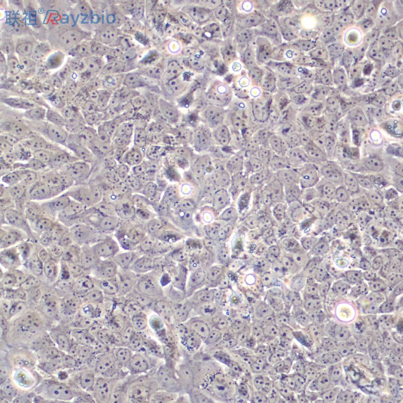
| 小鼠背根神经节细胞 | T25瓶 | LZ-YX9380 |
含量:>1x10^6 细胞数
规格:T25瓶
用途:仅供科研使用。
干冰运输及复苏好存活细胞
(1)1mL冻存管包装干冰运输,收到后-80度冰箱保存过夜后转入液氮或直接复苏,若发现干冰已挥发干净、冻存管瓶盖脱落、破损及细胞有污染,请立即与我们联系。
(2)T25瓶复苏的存活细胞常温发货,收到后按照细胞接收后的处理方法操作。
1) 收到细胞后,75%酒精消毒瓶壁将T25瓶置于37℃培养箱放置约2-3h,若发现培养瓶破损、有液溢出及细胞有污染,请拍照后及时联系我们。
2)请在4或5X显微镜下确认细胞状态,同时给刚收到的细胞拍照(10×,20×)各2-3张以及培养瓶外观照片一张留存,作为售后时收到时细胞状态的依据。
3) 悬浮细胞:T25瓶置于37℃培养箱放置约2-3h,然后抽出瓶中的培养基和细胞1000rpm离心5分钟,弃去上清重悬后接种到新的培养瓶中(加入按照说明书细胞培养条件新配制的完全培养基)。
4)备注:运输用的培养基(灌液培养基)不能再用来培养细胞,请换用按照说明书细胞培养条件新配制的完全培养基来培养细胞。 收到细胞后第一次传代建议T25培养瓶1:2传代 。 一.培养基及培养冻存条件准备:
1) 准备培养基;优质胎牛血清,10%;双抗,1%。备注:该细胞为悬浮并部分聚团生长
2) 培养条件: 气相:空气,95%;二氧化碳,5%。 温度:37摄氏度,培养箱湿度为70%-80%。
3) 冻存液:90%血清,10%DMSO,现用现配。
二. 细胞处理:
1) 冻存细胞的复苏:
将含有1mL细胞悬液的冻存管在37℃水浴中迅速摇晃解冻,加入到含4-6mL完全培养基的离心管中混合均匀。在1000RPM条件下离心3-5min,弃去上清液,完全培养基重悬细胞。然后将细胞悬液加入含6-8ml完全培养基的培养瓶(或皿)中37℃培养过夜。第二天显微镜下观察细胞生长情况和细胞密度。
2) 细胞传代:如果细胞密度达80%-90%,即可进行传代培养。
对于悬浮细胞,传代可参考以下方法:
悬浮状态下生长的细胞,可以通过向培养瓶中添加完全培养基来维持细胞的生长状态,一般情况下细胞密度维持在1×105~1×10^6个/mL(不同细胞对密度要求不同,)可以维持细胞的正常生长。如需分瓶可以将细胞悬液收集到离心管中1000rpm,离心5min,弃去上清,补加1-2mL培养液后重悬混匀后将细胞悬液按1:2的比例分到新T25瓶中,添加6-8ml按照说明书要求配置的新的完全培养基以保持细胞的生长活力,后续传代根据实际情况按1:2~1:5的比例进行。
3) 细胞冻存: 收到细胞后建议在培养前3代时冻存一批细胞种子以备后续实验使用。
下面T25瓶为例;
1. 细胞冻存时按照细胞传代的过程收集消化好的细胞到离心管中,可使用血球计数板计数,来决定细胞的冻存密度。一般细胞的推荐冻存密度为1×10^6~1×107个活细胞/ml.
2. 1000rpm离心3-5min,去掉上清。用配制好的细胞冻存液重悬细胞 ,按每1ml冻存液含1×10^6~1×107个活细胞/ml分配到一个冻存管中将细胞分配到冻存管中,标注好名称、代数、日期等信息。
3. 将要冻存的细胞置于程序降温盒中,-80度冰箱中过夜,之后转入液氮容器中储存。同时记录好冻存管在液氮容器中的位置以便后续查阅和使用。
| 人羊膜上皮细胞cDNAHAmEpiC cDNA | NCI-H358人非小细胞肺癌细胞 NCI-H358 cells in human non small cell lung cancer RPMI-1640(GIBCO)+10%FBS |
| 615小鼠T细胞性白血病瘤株;L7912 小鼠肾系膜细胞完全培养基 100mL | 癌基因蛋白抑瘤素M抗体 |
| BGC-803(人胃癌细胞) 5×106cells/瓶×2 转PYTL基因小鼠支持细胞;15P-1 | 内皮素-1单克隆抗体 |
| 淋巴管内皮细胞Many types of cells包装:5 × 105次方(1ml) | 环指蛋白3抗体 |
| 成骨细胞Many types of cells包装:5 × 105次方(1ml) | 粒体型共济失调蛋白抗体 |
| TNFSF10 Protein Mouse 重组小鼠 TNFSF10 / AIL / APO-2L 蛋白 (aa 118-291, His 标签) | 二氢嘧啶酶相关蛋白5抗体 |
| CL-0407NCTC 1469(小鼠正常肝细胞)5×106cells/瓶×2 | 双同源框蛋白4抗体 |
| 人海马趾星形胶质细胞裂解物HA-h L | 酸化p21激活激酶3抗体 |
| 胎盘羊膜细胞Many types of cells包装:5 × 105次方(1ml) | 整合素样金属蛋白酶与凝血酶1型-7抗体 |
| MDA-MB-436 人腺癌细胞 | 雌激素相关受体β抗体 |
| CEM/C1(人急性淋巴细胞白血病细胞) 5×106cells/瓶×2 | 乳腺癌相关蛋白1抗体 |
| OVCaR-3细胞,人卵巢癌细胞 菜青虫卵巢细胞,Pr-HNV8细胞 神经胶质细胞Many types of cells包装:5 × 105次方(1ml) | 相关蛋白16抗体 |
| 小鼠背根神经节细胞NCI-H295R(人肾上腺皮质腺癌细胞) 5×106cells/瓶×2 | 胰岛素抗体 |
| Jurkat D,E细胞,人T淋巴瘤转基因细胞 615小鼠癌瘤株,Ca759细胞 多聚赖氨酸10 mg/mlPLL | 高迁移率核小体结合蛋白1 |
| KITLG Protein Human 重组人 SCF / C-kit ligand 蛋白 (aa 1-189, His 标签) | 微管驱动蛋白家族成员1A抗体 |
风险提示:丁香通仅作为第三方平台,为商家信息发布提供平台空间。用户咨询产品时请注意保护个人信息及财产安全,合理判断,谨慎选购商品,商家和用户对交易行为负责。对于医疗器械类产品,请先查证核实企业经营资质和医疗器械产品注册证情况。
- 作者
- 内容
- 询问日期
文献和实验小鼠脊髓/背根神经节快速取材 器械准备:体视显微镜、显微剪、显微镊、培养皿、5ml注射器 脊髓取材: 1.小鼠致死麻醉量麻醉 2.酒精喷洒/浸泡消毒 3.背部皮肤开口、头尾双向撕开 4.确保无毛发粘连污染 5.找到需取材脊髓段,整段取出 6.剔除脊柱2侧肌肉 7.5ml注射器吸入培养基3ml 8.去针头注射器贴合断面 9.稍微用力推压可吹出脊髓 10.遵循尾髓至颈髓方向推压,避免脊髓形态破坏(病理检测) DRG取材: 1.显微剪剪开锥管 2.椎间孔双侧镜下可见芝麻样白色结节,即DRG
感染新冠后为什么会眼睛痛?Nature 子刊揭示新冠病毒会引起视网膜炎症、影响深度知觉
models with retinal inflammation via neuronal invasion following intranasal inoculation 揭示了新冠病毒感染对眼睛的不良影响。该研究以小鼠为模型,发现 SARS-CoV-2 可以通过三叉神经和视神经感染大脑和眼睛,并引起视网膜炎症和深度知觉的降低。 图片来源:Nature Communications 研究内容 SARS-CoV-2 感染视网膜神经节细胞 为了研究 SARS-CoV-2 感染是否会引发眼部疾病,研究
通透性的提高。而移除 B 细胞与浆细胞能够在有效降低 OVA 特异性 IgE 水平的同时,也能显著缓解内脏过敏。 这些数据表明,B 细胞与浆细胞在细菌感染后产生的 OVA 特异性 IgE 能够活化肥大细胞,并在 OVA 再暴露时激活肥大细胞产生免疫反应,最终导致肠道炎症。 图片来源:Nature 那肠道炎症是怎么导致腹痛的呢?作者把目光放在了结肠内脏神经之上。实验结果显示,内脏过敏(VHS)小鼠的结肠提取物上清能有效提高神经的可激活性,并提高背根神经节对辣椒素与组织胺的响应水平,而背根神经节被证明与肠易
技术资料暂无技术资料 索取技术资料










