万千商家帮你免费找货
0 人在求购买到急需产品
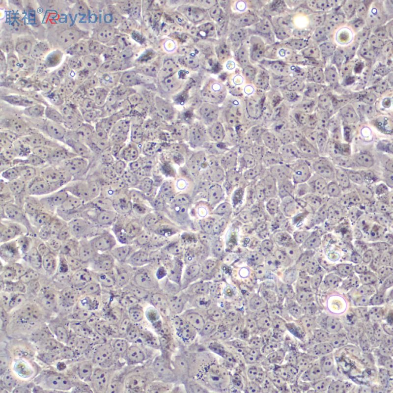
- 详细信息
- 文献和实验
- 技术资料
- 供应商:
上海联祖
- 库存:
36
- 生长状态:
贴壁生长
- 是否是肿瘤细胞:
否
- 规格:
T25培养瓶
| 产品名称 | 规格 | 货号 |
| 小鼠冠状动脉内皮细胞 | T25瓶 | LZ-YX9332 |
含量:>1x10^6 细胞数
规格:T25瓶
用途:仅供科研使用。
干冰运输及复苏好存活细胞
(1)1mL冻存管包装干冰运输,收到后-80度冰箱保存过夜后转入液氮或直接复苏,若发现干冰已挥发干净、冻存管瓶盖脱落、破损及细胞有污染,请立即与我们联系。
(2)T25瓶复苏的存活细胞常温发货,收到后按照细胞接收后的处理方法操作。
1) 收到细胞后,75%酒精消毒瓶壁将T25瓶置于37℃培养箱放置约2-3h,若发现培养瓶破损、有液溢出及细胞有污染,请拍照后及时联系我们。
2)请在4或5X显微镜下确认细胞状态,同时给刚收到的细胞拍照(10×,20×)各2-3张以及培养瓶外观照片一张留存,作为售后时收到时细胞状态的依据。
3) 悬浮细胞:T25瓶置于37℃培养箱放置约2-3h,然后抽出瓶中的培养基和细胞1000rpm离心5分钟,弃去上清重悬后接种到新的培养瓶中(加入按照说明书细胞培养条件新配制的完全培养基)。
4)备注:运输用的培养基(灌液培养基)不能再用来培养细胞,请换用按照说明书细胞培养条件新配制的完全培养基来培养细胞。 收到细胞后第一次传代建议T25培养瓶1:2传代 。 一.培养基及培养冻存条件准备:
1) 准备培养基;优质胎牛血清,10%;双抗,1%。备注:该细胞为悬浮并部分聚团生长
2) 培养条件: 气相:空气,95%;二氧化碳,5%。 温度:37摄氏度,培养箱湿度为70%-80%。
3) 冻存液:90%血清,10%DMSO,现用现配。
二. 细胞处理:
1) 冻存细胞的复苏:
将含有1mL细胞悬液的冻存管在37℃水浴中迅速摇晃解冻,加入到含4-6mL完全培养基的离心管中混合均匀。在1000RPM条件下离心3-5min,弃去上清液,完全培养基重悬细胞。然后将细胞悬液加入含6-8ml完全培养基的培养瓶(或皿)中37℃培养过夜。第二天显微镜下观察细胞生长情况和细胞密度。
2) 细胞传代:如果细胞密度达80%-90%,即可进行传代培养。
对于悬浮细胞,传代可参考以下方法:
悬浮状态下生长的细胞,可以通过向培养瓶中添加完全培养基来维持细胞的生长状态,一般情况下细胞密度维持在1×105~1×10^6个/mL(不同细胞对密度要求不同,)可以维持细胞的正常生长。如需分瓶可以将细胞悬液收集到离心管中1000rpm,离心5min,弃去上清,补加1-2mL培养液后重悬混匀后将细胞悬液按1:2的比例分到新T25瓶中,添加6-8ml按照说明书要求配置的新的完全培养基以保持细胞的生长活力,后续传代根据实际情况按1:2~1:5的比例进行。
3) 细胞冻存: 收到细胞后建议在培养前3代时冻存一批细胞种子以备后续实验使用。
下面T25瓶为例;
1. 细胞冻存时按照细胞传代的过程收集消化好的细胞到离心管中,可使用血球计数板计数,来决定细胞的冻存密度。一般细胞的推荐冻存密度为1×10^6~1×107个活细胞/ml.
2. 1000rpm离心3-5min,去掉上清。用配制好的细胞冻存液重悬细胞 ,按每1ml冻存液含1×10^6~1×107个活细胞/ml分配到一个冻存管中将细胞分配到冻存管中,标注好名称、代数、日期等信息。
3. 将要冻存的细胞置于程序降温盒中,-80度冰箱中过夜,之后转入液氮容器中储存。同时记录好冻存管在液氮容器中的位置以便后续查阅和使用。
| 人羊膜细胞;WISH | 人结直肠腺癌细胞;HCT 116 [HCT116] 大鼠肾足突细胞完全培养基 100mL |
| 293 [HEK-293]人胚肾细胞 293 human embryonic kidney cell line [HEK-293] DMEM+10% FBS | 氨基末端激酶1/2/3抗体 |
| 人淋巴细胞;1301 人肠动脉内皮细胞完全培养基 100mL | 内皮粘蛋白EMCN抗体 |
| 罗猴胎肾细胞;MA104 | 环指蛋白98抗体 |
| CL-0013A2780(人卵巢癌细胞)5×106cells/瓶×2 | 腺苷酸环化酶1抗体 |
| 人前列腺癌高转移细胞株;PC-3M IE8 | 泛素D抗体 |
| CL-0422RBL-1(大鼠嗜碱性粒细胞性白血病细胞)5×106cells/瓶×2 | 瞬时受体电位离子通道蛋白3抗体(M亚家族) |
| 纤维母细胞粘附检测试剂盒Fibro | 酸化Rho相关蛋白激酶2抗体 |
| L6565 小鼠白血病克隆细胞系 | 脂肪瘤相关蛋白抗体 |
| 小鼠骨髓间充质干细胞(BMSCs) | 促甲状腺素抗体 |
| EB-3(人Butt淋巴瘤细胞) 5×106cells/瓶×2 | 乳腺肿瘤自身抗原LMO4抗体 |
| COC1细胞,人卵巢癌细胞 大鼠骨肉瘤细胞,VMR106细胞 视网膜muller细胞Many types of cells包装:5 × 105次方(1ml) | 巨细胞病毒PP65/CMV低基质0脂蛋白抗体 |
| 小鼠冠状动脉内皮细胞LGALS1 Protein Rat 重组大鼠 Galectin-1 / LGALS1 蛋白 | 胰岛素样生长因子结合蛋白1抗体 |
| HEC-1-B人子宫内膜腺癌细胞 HEC-1-B human endomeial adenocarcinoma cells MEM培养基(GIBCO)+10%FBS | 庚型肝炎多聚蛋白抗体 |
| P19 小鼠畸胎瘤细胞 | 维甲酸受体β抗体 |
风险提示:丁香通仅作为第三方平台,为商家信息发布提供平台空间。用户咨询产品时请注意保护个人信息及财产安全,合理判断,谨慎选购商品,商家和用户对交易行为负责。对于医疗器械类产品,请先查证核实企业经营资质和医疗器械产品注册证情况。
文献和实验内皮细胞分布于整个循环系统,从心脏到最小的毛细血管。在这个步骤中,气管的活力很非常重要。取出器官和开始消化之间的时间越短将提高细胞更有活力的产出及不在含氧量低的条件下太久。小鼠的数量需要:小鼠应该是5~6周大小。年龄大的小鼠内皮细胞的产出会少些。最少5个小鼠可以得到很好的产出。 一、材料和试剂 1. 内皮细胞生长添加剂(ECGS)(Sigma,catalognumber:E2759) 2. 胶原酶I(Invitrogen,Catalognumber:17100-017
摘要: 目的 探讨脑微血管内皮细胞的体外培养方法并进行细胞超微结构研究及组织型纤溶酶原激活物(TPA ) 活性测定。 方法 取新生小鼠脑组织, 通过匀浆、过筛、胶原酶消化、差速粘附等技术对鼠脑微血管内皮细胞进行原代培养, 待细胞铺满瓶底时, 用01125%胰酶20102%EDTA 消化, 离心收集内皮细胞, 进行传代培养。原代、传代各取8 例, 吸取培养液用酶联免疫吸附试验测试TPA 活性。 结果 经Ð 因子相关抗原免疫组织化学鉴定、细胞超微结构观察, 证明培养的是血管内皮细胞。培养
小鼠内皮细胞一氧化氮合酶(eNOS)ELISA试剂盒 说明书
上海西唐生物科技有限公司 021-55229872, 65333639 www.westang.com 小鼠内皮细胞一氧化氮合酶 ( eNOS )ELISA 试剂盒 ( 用于血清、血浆、细胞培养上清液和其它生物体液内 ) 原理 本实验采用双抗体夹心 ABC-ELISA 法。用抗小鼠 eNOS 单抗包被于酶标板上,标准品和样品中的 eNOS与单抗结合,加入生物
技术资料暂无技术资料 索取技术资料










