万千商家帮你免费找货
0 人在求购买到急需产品
- 详细信息
- 技术资料
- 供应商:
上海联祖
- 库存:
30
- 生长状态:
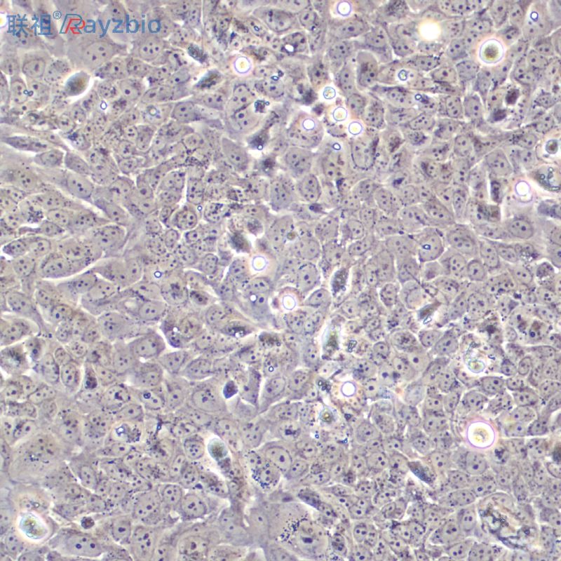
贴壁生长
- 是否是肿瘤细胞:
否
- 规格:
T25培养瓶
| 产品名称 | 规格 | 货号 |
| 小鼠胎膜细胞 | T25瓶 | LZ-YX9250 |
含量:>1x10^6 细胞数
规格:T25瓶
用途:仅供科研使用。
干冰运输及复苏好存活细胞
(1)1mL冻存管包装干冰运输,收到后-80度冰箱保存过夜后转入液氮或直接复苏,若发现干冰已挥发干净、冻存管瓶盖脱落、破损及细胞有污染,请立即与我们联系。
(2)T25瓶复苏的存活细胞常温发货,收到后按照细胞接收后的处理方法操作。
1) 收到细胞后,75%酒精消毒瓶壁将T25瓶置于37℃培养箱放置约2-3h,若发现培养瓶破损、有液溢出及细胞有污染,请拍照后及时联系我们。
2)请在4或5X显微镜下确认细胞状态,同时给刚收到的细胞拍照(10×,20×)各2-3张以及培养瓶外观照片一张留存,作为售后时收到时细胞状态的依据。
3) 悬浮细胞:T25瓶置于37℃培养箱放置约2-3h,然后抽出瓶中的培养基和细胞1000rpm离心5分钟,弃去上清重悬后接种到新的培养瓶中(加入按照说明书细胞培养条件新配制的完全培养基)。
4)备注:运输用的培养基(灌液培养基)不能再用来培养细胞,请换用按照说明书细胞培养条件新配制的完全培养基来培养细胞。 收到细胞后第一次传代建议T25培养瓶1:2传代 。 一.培养基及培养冻存条件准备:
1) 准备培养基;优质胎牛血清,10%;双抗,1%。备注:该细胞为悬浮并部分聚团生长
2) 培养条件: 气相:空气,95%;二氧化碳,5%。 温度:37摄氏度,培养箱湿度为70%-80%。
3) 冻存液:90%血清,10%DMSO,现用现配。
二. 细胞处理:
1) 冻存细胞的复苏:
将含有1mL细胞悬液的冻存管在37℃水浴中迅速摇晃解冻,加入到含4-6mL完全培养基的离心管中混合均匀。在1000RPM条件下离心3-5min,弃去上清液,完全培养基重悬细胞。然后将细胞悬液加入含6-8ml完全培养基的培养瓶(或皿)中37℃培养过夜。第二天显微镜下观察细胞生长情况和细胞密度。
2) 细胞传代:如果细胞密度达80%-90%,即可进行传代培养。
对于悬浮细胞,传代可参考以下方法:
悬浮状态下生长的细胞,可以通过向培养瓶中添加完全培养基来维持细胞的生长状态,一般情况下细胞密度维持在1×105~1×10^6个/mL(不同细胞对密度要求不同,)可以维持细胞的正常生长。如需分瓶可以将细胞悬液收集到离心管中1000rpm,离心5min,弃去上清,补加1-2mL培养液后重悬混匀后将细胞悬液按1:2的比例分到新T25瓶中,添加6-8ml按照说明书要求配置的新的完全培养基以保持细胞的生长活力,后续传代根据实际情况按1:2~1:5的比例进行。
3) 细胞冻存: 收到细胞后建议在培养前3代时冻存一批细胞种子以备后续实验使用。
下面T25瓶为例;
1. 细胞冻存时按照细胞传代的过程收集消化好的细胞到离心管中,可使用血球计数板计数,来决定细胞的冻存密度。一般细胞的推荐冻存密度为1×10^6~1×107个活细胞/ml.
2. 1000rpm离心3-5min,去掉上清。用配制好的细胞冻存液重悬细胞 ,按每1ml冻存液含1×10^6~1×107个活细胞/ml分配到一个冻存管中将细胞分配到冻存管中,标注好名称、代数、日期等信息。
3. 将要冻存的细胞置于程序降温盒中,-80度冰箱中过夜,之后转入液氮容器中储存。同时记录好冻存管在液氮容器中的位置以便后续查阅和使用。
| 人真皮成纤维母细胞-胎儿HDF-f | 293 [HEK-293]人胚肾细胞 293 human embryonic kidney cell line [HEK-293] DMEM+10% FBS |
| LTEP-a-2细胞,肺腺癌细胞 人喉表皮样癌细胞,HEp-2细胞 tTA基因修饰的小鼠胰腺癌细胞(B类);Pan02-CAG-tTA-4C5 | 白介素18抗体 |
| SW579(人甲状腺鳞癌细胞 ) 5×106cells/瓶×2 甲型流感 H1N1 (A/USSR/90/1977) 神经氨酸酶 (Neuraminidase / NA) 人细胞裂解液 (阳性对照) | 鸟苷酸转换因子VAV1抗体 |
| 绵羊皮肤细胞;OAR-S1 | 肌动蛋白结合蛋白Girdin抗体 |
| 恒河猴肾细胞;MMK3 | 小肠通道蛋白5抗体 |
| C127 小鼠细胞 | 泛素硫酯酶L3抗体 |
| CL-0451SW-13(人肾上腺皮质癌细胞)5×106cells/瓶×2 | 丝氨酸/苏氨酸蛋白酸酶1调节亚基10抗体 |
| 人胚胎皮肤成纤维细胞;HES | 酸化波形蛋白抗体 |
| CL-0013A2780(人卵巢癌细胞)5×106cells/瓶×2 | 指状蛋白RET抗体 |
| HCC-9204 肝癌 | 大肠杆菌脂多糖抗体 |
| 中国仓鼠卵巢细胞(亚系克隆);CHO-DUKXB11-prepro-TGFβ1 Cdna-TGF-β1 Dinding Protein cDNA | 三酸腺苷受体P2X5抗体 |
| FaDu细胞,人咽鳞癌细胞 人淋巴细胞与仓鼠肺细胞杂交细胞,FD4细胞 CL-0379MCF 7B(人癌细胞)5×106cells/瓶×2 | 卷曲螺旋结构域蛋白18抗体 |
| 小鼠胎膜细胞BT-549(人管癌细胞) 5×106cells/瓶×2 | 乙激酶β抗体 |
| KB细胞,人口腔表皮样癌细胞 人血管内皮细胞,VE细胞 大鼠肝癌细胞;RH-35 | 谷氨酸受体红藻氨酸离子3/谷氨酸受体7抗体 |
| TNF Protein Rat 重组大鼠 TNF-alpha / TNFA 蛋白 | 无毛发蛋白抗体 |
风险提示:丁香通仅作为第三方平台,为商家信息发布提供平台空间。用户咨询产品时请注意保护个人信息及财产安全,合理判断,谨慎选购商品,商家和用户对交易行为负责。对于医疗器械类产品,请先查证核实企业经营资质和医疗器械产品注册证情况。
技术资料暂无技术资料 索取技术资料
小鼠胎膜细胞
¥3000 - 6900









