相关产品推荐更多 >
万千商家帮你免费找货
0 人在求购买到急需产品
- 详细信息
- 文献和实验
- 技术资料
- 免疫原:
Recombinant fragment of human tPA.
- 亚型:
IgG
- 形态:
Liquid
- 保存条件:
Store as concentrated solution. Centrifuge briefly prior to opening vial. For short-term storage (1-2 weeks), store at 4ºC. For long-term storage, aliquot and store at -20ºC or below. Avoid multiple freeze-thaw cycles.
- 克隆性:
Monoclonal
- 标记物:
Unconjugated
- 保质期:
12 months from the shipping date of the product.
- 抗原来源:
Human
- 目录编号:
GTX639036
- 级别:
Primary Antibodies
- 库存:
Available
- 供应商:
GeneTex
- 宿主:
Rabbit
- 应用范围:
WB, IHC-P
- 浓度:
batch dependent
- 抗体英文名:
tPA antibody [HL2585]
- 抗体名:
tPA 抗体 [HL2585]
- 规格:
100 μl/25 μl
| 规格: | 100 μl | 产品价格: | ¥4000.0 |
|---|---|---|---|
| 规格: | 25 μl | 产品价格: | ¥1700.0 |
tPA antibody [HL2585] detects tPA protein by immunohistochemical analysis.
Sample: Paraffin-embedded mouse tissues.
tPA stained by tPA antibody [HL2585] (GTX639036) diluted at 1:100.
Antigen Retrieval: Citrate buffer, pH 6.0, 15 min
tPA antibody [HL2585] detects secreted tPA protein by immunohistochemical analysis.
Sample: Paraffin-embedded rat thymus gland.
tPA stained by tPA antibody [HL2585] (GTX639036) diluted at 1:100.
Antigen Retrieval: Citrate buffer, pH 6.0, 15 min
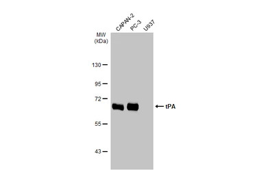
Various whole cell extracts (30 μg) were separated by 7.5% SDS-PAGE, and the membrane was blotted with tPA antibody [HL2585] (GTX639036) diluted at 1:1000. The HRP-conjugated anti-rabbit IgG antibody (GTX213110-01) was used to detect the primary antibody.
风险提示:丁香通仅作为第三方平台,为商家信息发布提供平台空间。用户咨询产品时请注意保护个人信息及财产安全,合理判断,谨慎选购商品,商家和用户对交易行为负责。对于医疗器械类产品,请先查证核实企业经营资质和医疗器械产品注册证情况。
文献和实验the immortalized human megakaryoblastic cell line MEG-01, which can be induced to differentiate into platelet-like structures upon addition of TPA as a model system to study PGHS-1 gene expression. Using a specific antibody to PGHS-1 we have developed a technique
Lightning-Link 30 seconds hands on Very Easy to use 100% Antibody Recovery No separation steps Little antibody needed Easy to Scale Up Over 40 available labels http://www.youtube.com/v/w0XmU
element known as TRE (TPA Responsive Element) is used as an in vitro assay for AP-1 activity in the nucleus of skin cells. This activity is detected by electrophoretic mobility shift assay (EMSA) which is based on the ability of specific proteins to bind
技术资料暂无技术资料 索取技术资料









![Myeloperoxidase antibody [2C7] (FITC)](https://img1.dxycdn.com/2022/0328/951/7252307065102300453-14.jpg!wh200)

