相关产品推荐更多 >
万千商家帮你免费找货
0 人在求购买到急需产品
- 详细信息
- 技术资料
- 免疫原:
Full length of Monkeypox virus A4L recombinant protein (MPXV_USA_2022_MA001)
- 亚型:
IgG
- 形态:
Liquid
- 保存条件:
Store as concentrated solution. Centrifuge briefly prior to opening vial. For short-term storage (1-2 weeks), store at 4ºC. For long-term storage, aliquot and store at -20ºC or below. Avoid multiple freeze-thaw cycles.
- 克隆性:
Monoclonal
- 标记物:
Unconjugated
- 保质期:
12 months from the shipping date of the product.
- 抗原来源:
Monkeypox
- 目录编号:
GTX638927
- 级别:
Primary Antibodies
- 库存:
Available
- 供应商:
GeneTex
- 宿主:
Rabbit
- 应用范围:
WB, ICC/IF
- 浓度:
1 mg/ml (Please refer to the vial label for the specific concentration.)
- 抗体英文名:
Monkeypox virus A4L antibody [HL2555]
- 抗体名:
Monkeypox virus A4L 抗体 [HL2555]
- 规格:
100 μl/25 μl
| 规格: | 100 μl | 产品价格: | ¥4000.0 |
|---|---|---|---|
| 规格: | 25 μl | 产品价格: | ¥1700.0 |
Non-transfected (–) and transfected (+) 293T whole cell extracts (30 μg) were separated by 12% SDS-PAGE, and the membrane was blotted with Monkeypox virus A4L antibody [HL2555] (GTX638927) diluted at 1:5000. The HRP-conjugated anti-rabbit IgG antibody (GTX213110-01) was used to detect the primary antibody.
Non-infected (–) and infected (+) BSC-40 whole cell extracts (5 μg) were separated by 12% SDS-PAGE, and the membrane was blotted with Monkeypox virus A4L antibody [HL2555] (GTX638927) diluted at 1:1000. The HRP-conjugated anti-rabbit IgG antibody (GTX213110-01) was used to detect the primary antibody.
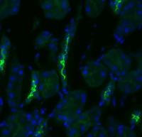
Monkeypox virus A4L antibody [HL2555] detects Monkeypox virus A4L protein by immunofluorescent analysis.
Sample: Mock and transfected 293T cells were fixed in ice-cold MeOH for 5 min.
Green: Monkeypox virus A4L stained by Monkeypox virus A4L antibody [HL2555] (GTX638927) diluted at 1:500.
Blue: Fluoroshield with DAPI (GTX30920).
风险提示:丁香通仅作为第三方平台,为商家信息发布提供平台空间。用户咨询产品时请注意保护个人信息及财产安全,合理判断,谨慎选购商品,商家和用户对交易行为负责。对于医疗器械类产品,请先查证核实企业经营资质和医疗器械产品注册证情况。
技术资料暂无技术资料 索取技术资料






![MMP2 antibody [8B4]](https://img1.dxycdn.com/2022/0328/050/0912185051270400453-14.jpg!wh200)



