相关产品推荐更多 >
万千商家帮你免费找货
0 人在求购买到急需产品
- 详细信息
- 技术资料
- 免疫原:
A synthesized peptide derived from human EIF2AK3(Accession Q9NZJ5), corresponding to amino acid residues around phosphorylated Thr 982.
- 亚型:
IgG
- 形态:
Liquid
- 保存条件:
Store as concentrated solution. Centrifuge briefly prior to opening vial. For short-term storage (1-2 weeks), store at 4ºC. For long-term storage, aliquot and store at -20ºC or below. Avoid multiple freeze-thaw cycles.
- 克隆性:
Polyclonal
- 标记物:
Unconjugated
- 保质期:
12 months from the shipping date of the product.
- 抗原来源:
Human
- 目录编号:
GTX04533
- 级别:
Primary Antibodies
- 库存:
Available
- 供应商:
GeneTex
- 宿主:
Rabbit
- 应用范围:
WB, ICC/IF, IHC-P, ELISA
- 浓度:
1 mg/ml (Please refer to the vial label for the specific concentration.)
- 抗体英文名:
PERK (phospho Thr982) antibody
- 抗体名:
PERK (phospho Thr982) 抗体
- 规格:
100 μl
ELISA analysis of phospho- and non phosho- immunogen peptide using serial diluted GTX04533 PERK (phospho Thr982) antibody.
P-peptide : phospho-peptide
N-peptide : non-phospho-peptide
Peptides concentration : 1 μg/ml
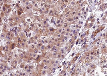
IHC-P analysis of human liver carcinoma tissue using GTX04533 PERK (phospho Thr982) antibody.
Antigen retrieval : Heat mediated citrate buffer
Dilution : 1:100
ICC/IF analysis of PFA-fixed HepG2 cells with 4 μM Forskolin treatment using GTX04533 PERK (phospho Thr982) antibody.
Red : Primary antibody
Green : beta Tubulin
Blue : DAPI
Permeabilization : 0.1% Triton X-100
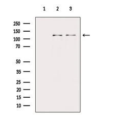
WB analysis of various cell lysates using GTX04533 PERK (phospho Thr982) antibody.
Lane 1 : 293 cells with heat-shock treatment followed by blocking with antigen-specific peptides
Lane 2 : 293 cells with heat-shock treatment
Lane 3 : A549 cells with serum starvation treatment
ICC/IF analysis PFA-fixed A549 cells using GTX04533 PERK (phospho Thr982) antibody.
Permeabilization : 0.1% saponin
Dilution : 1:200
风险提示:丁香通仅作为第三方平台,为商家信息发布提供平台空间。用户咨询产品时请注意保护个人信息及财产安全,合理判断,谨慎选购商品,商家和用户对交易行为负责。对于医疗器械类产品,请先查证核实企业经营资质和医疗器械产品注册证情况。
技术资料暂无技术资料 索取技术资料






![GLUD1+ GLUD2 antibody [HL2125]](https://img1.dxycdn.com/2023/0605/648/0848663009341755661-14.jpg!wh200)
![MYH9 antibody [SF9]](https://img1.dxycdn.com/2022/0328/311/9040436066793600453-14.jpg!wh200)

![SAMHD1 antibody [1F6]](https://img1.dxycdn.com/2022/0328/972/0767656666308500453-14.jpg!wh200)
