相关产品推荐更多 >
万千商家帮你免费找货
0 人在求购买到急需产品
- 详细信息
- 技术资料
- 免疫原:
Extract of a formalin-fixed, rejected-allograft of a human liver
- 亚型:
IgG1
- 形态:
Liquid
- 保存条件:
Store as concentrated solution. Centrifuge briefly prior to opening vial. For short-term storage (1-2 weeks), store at 4ºC. For long-term storage, aliquot and store at -20ºC or below. Avoid multiple freeze-thaw cycles.
- 克隆性:
Monoclonal
- 标记物:
Unconjugated
- 保质期:
12 months from the shipping date of the product.
- 抗原来源:
Human
- 目录编号:
GTX04478
- 级别:
Primary Antibodies
- 库存:
Available
- 供应商:
GeneTex
- 宿主:
Mouse
- 应用范围:
IHC-P
- 浓度:
0.2 mg/ml (Please refer to the vial label for the specific concentration.)
- 抗体英文名:
Hepatocyte Specific Antigen antibody [MSVA-OCE5] HistoMAX
- 抗体名:
Hepatocyte Specific Antigen 抗体 [MSVA-OCE5] HistoMAX
- 规格:
500 μl
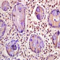
IHC-P analysis of human liver tissue section using GTX04478 Hepatocyte Specific Antigen antibody [MSVA-OCE5] HistoMAX.
Moderate to strong Hepatocyte immunostaining in epithelial cells of the duodenum.
IHC-P analysis of human liver tissue section using GTX04478 Hepatocyte Specific Antigen antibody [MSVA-OCE5] HistoMAX.
Strong Hepatocyte staining in hepatocytes while other structures of the liver remain negative.
IHC-P analysis of human hepatocellular carcinoma tissue section using GTX04478 Hepatocyte Specific Antigen antibody [MSVA-OCE5] HistoMAX.
Hepatocellular carcinoma with strong Hepatocyte immunostaining of all tumor cells.
风险提示:丁香通仅作为第三方平台,为商家信息发布提供平台空间。用户咨询产品时请注意保护个人信息及财产安全,合理判断,谨慎选购商品,商家和用户对交易行为负责。对于医疗器械类产品,请先查证核实企业经营资质和医疗器械产品注册证情况。
技术资料暂无技术资料 索取技术资料


![Hepatocyte Specific Antigen antibody [MSVA-OCE5] HistoMAX](https://custom.dxycdn.com/trademd/upload/pic/2013/11/12/A1383891150.jpg!small.t.1)



![HLA-DQ1 + HLA-DQ3 antibody [HL-37]](https://img1.dxycdn.com/2022/0328/949/8484432976919300453-14.jpg!wh200)



