相关产品推荐更多 >
万千商家帮你免费找货
0 人在求购买到急需产品
- 详细信息
- 文献和实验
- 技术资料
- 形态:
Liquit
- 保存条件:
-20℃
- 克隆性:
单克隆
- 适应物种:
Human,(predicted:Mouse,Rat,)
- 保质期:
1年
- 抗原来源:
peptiede
- 目录编号:
TDCDM-0023
- 级别:
科研级
- 库存:
88
- 供应商:
武汉天德
- 宿主:
鼠
- 浓度:
1mg/ml
- 抗体英文名:
Desmin DES
- 抗体名:
Desmin DES
- 规格:
1ml工作液

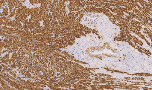
Desmin鼠抗人结蛋白单克隆抗体
Desmin是中间丝蛋白之一,分子量为53kDa。在正常的平滑肌、骨骼肌、心肌和肌上皮细胞中表达。该抗体可标记平滑肌瘤、横纹肌瘤,可用于判断肿瘤中的肌源性成分及其化生的肿瘤,有助于子宫、皮肤、胃肠道及其它横纹肌肉瘤和肌上皮瘤的研究。
- 货号:TDCDM-0023
- 克隆号:C3B7
- 阳性部位:胞质
- 适用组织:石蜡切片
- 预处理:热修复
风险提示:丁香通仅作为第三方平台,为商家信息发布提供平台空间。用户咨询产品时请注意保护个人信息及财产安全,合理判断,谨慎选购商品,商家和用户对交易行为负责。对于医疗器械类产品,请先查证核实企业经营资质和医疗器械产品注册证情况。
文献和实验排列。当细胞融合80%以上后,开始形成肌管。2、免疫细胞化学染色1:肌卫星细胞胞浆中含有结蛋白(desmin),可采用鼠抗人及小鼠desmin一抗对卫星细胞进行免疫染色鉴定。3、免疫细胞化学染色2:采用骨骼肌特异性的肌球蛋白(myosin)单克隆抗体检测。取含骨骼肌细胞盖玻片常规处理后进行myosin的细胞免疫化学染色,PBS代替一抗做阴性对照。结果判定:以细胞浆出现棕黄色颗粒为阳性染色。六、注意事项1、胰酶消化过程中,也可采用15min两步消化的方法进行。根据所取组织个体年龄决定,一般成年大小
抗体/补体介导的特异性细胞毒作用分离法分离T细胞亚群 人T淋巴细胞按其表面标志分为CD4+ T和CD8+ T细胞两类,其细胞膜上分别有CD4和CD8分子,当它们与相应的鼠抗人单克隆抗体结合后,在补体的参与下,可溶解相应的T细胞亚群,从而分离出另一种细胞亚群。 【试剂及配制】 (1) 聚蔗糖-泛影葡胺分层液(D=1.077±0.001)。 (2) Hank’s液(内含5%小牛血清和1.0g/L叠氮钠)。
R&D Systems 适用于神经细胞培养的无血清培养基添加剂
。 海马神经元表现出突触标记的可靠表达。e18大鼠海马神经元用添加了N21-MaX Media Supplement(目录号ar008)的培养基在体外培养21天。(a) 利用小鼠抗大鼠突触结合蛋白-1单克隆抗体(目录号MaB4364),以及Northernlights™ 557结合的驴抗小鼠igg二抗(目录号Nl007;黄色)对细胞染色,或(B) 利用小鼠抗人caM激酶iiα单克隆抗体(目录号MaB5584),接着用Northernlights™ 557结合的驴抗小鼠 igg二抗(目录号Nl
技术资料暂无技术资料 索取技术资料










