万千商家帮你免费找货
0 人在求购买到急需产品
- 详细信息
- 文献和实验
- 技术资料
- 形态:
Liquit
- 保存条件:
-20℃
- 克隆性:
单克隆
- 适应物种:
Human,(predicted:Mouse,Rat,)
- 保质期:
1年
- 抗原来源:
peptiede
- 目录编号:
TDCVM-0030
- 级别:
科研级
- 库存:
88
- 供应商:
武汉天德
- 宿主:
鼠
- 浓度:
1mg/ml
- 抗体英文名:
Villin
- 抗体名:
Villin
- 规格:
1ml工作液

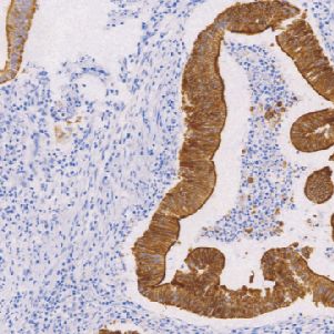
Villin鼠抗人绒毛蛋白单克隆抗体
Villin与结构相关蛋白凝溶胶蛋白(gelsolin)、片段化蛋白(fragmin)及割切蛋白(sevenrin),全部参与肌动蛋白(actin)的框架调节与装配正常分布于肠上皮和肾近小管上皮,可用于肠上皮来源肿瘤与非肠上皮肿瘤的鉴别诊断,亦可作为胃肠道神经内分泌肿瘤诊断参考指标。
- 货号:TDCVM-0030
- 克隆号:CWWB1
- 阳性部位:胞质,胞膜
- 适用组织:石蜡切片
- 预处理:热修复
风险提示:丁香通仅作为第三方平台,为商家信息发布提供平台空间。用户咨询产品时请注意保护个人信息及财产安全,合理判断,谨慎选购商品,商家和用户对交易行为负责。对于医疗器械类产品,请先查证核实企业经营资质和医疗器械产品注册证情况。
文献和实验数字。如2.0065中的两个0都是有效数字,2.0065有5位有效数字。 3)“0”在小数的数字后,也是有效数字如6.5000中的3个0都是有效数字。0.0030中数字3前面的3个0不是有效数字,3后面的0是有效数字。所以,6.5000是5位有效数字。0.0030是2位有效数字 4)以“0”结尾的正整数,有效数字的位数不定。如54000,可能是2位,3位或4位甚至5位有效数字。这种数应根据有效数字的情况改写为指数形式。如为2位,则写成5.4×10 4 ;如为3位,则写成
抗体/补体介导的特异性细胞毒作用分离法分离T细胞亚群 人T淋巴细胞按其表面标志分为CD4+ T和CD8+ T细胞两类,其细胞膜上分别有CD4和CD8分子,当它们与相应的鼠抗人单克隆抗体结合后,在补体的参与下,可溶解相应的T细胞亚群,从而分离出另一种细胞亚群。 【试剂及配制】 (1) 聚蔗糖-泛影葡胺分层液(D=1.077±0.001)。 (2) Hank’s液(内含5%小牛血清和1.0g/L叠氮钠)。
YY0286.1-2007 一次性使用精密过滤输液器 HYDAC贺德克滤芯件号包括: 0030D005BN3HC 0030D010BN3HC 0030D020BN3HC 0030D003BN4HC 0030D005BN4HC 0030D010BN4HC 0030D020BN4HC 0030D003BN/HC 0030D005BN/HC 0030D010BN/HC 0030D020BN/HC 0030D020P 0030D020P 0060D 0060D003BN/HC 0060D
技术资料暂无技术资料 索取技术资料










