万千商家帮你免费找货
0 人在求购买到急需产品
- 详细信息
- 文献和实验
- 技术资料
- 形态:
Liquit
- 保存条件:
-20℃
- 克隆性:
单克隆
- 适应物种:
Human,(predicted:Mouse,Rat,)
- 保质期:
1年
- 抗原来源:
peptiede
- 目录编号:
TDCMM-0150
- 级别:
科研级
- 库存:
88
- 供应商:
武汉天德
- 宿主:
鼠
- 浓度:
1mg/ml
- 抗体英文名:
Melanoma Marker(CD63)
- 抗体名:
Melanoma Marker(CD63)
- 规格:
1ml工作液

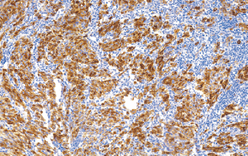
MelanomaMarker(HMB45)鼠抗人黑色素瘤标记物单克隆抗体
HMB45抗原也用于鉴别视网膜色素上皮(RPE),但文献报导仅在出生前和婴儿期的短暂时期内与RPE有反应。未观察到其与皮内痣和成人正常黑色素和非黑色素细胞反应。上皮、淋巴、神经胶质和间充质源性肿瘤细胞呈阴性。文献对该克隆有详细介绍,指出它可标记多数黑色素瘤和具有黑色素瘤/黑色素细胞分化特征的其它肿瘤的胞浆内抗原。文献还报道该克隆与交界痣和蓝痣细胞反应。
- 货号:TDCMM-0150
- 克隆号:HMB45
- 阳性部位:胞质
- 适用组织:石蜡切片 /冰冻切片
- 预处理:热修复
风险提示:丁香通仅作为第三方平台,为商家信息发布提供平台空间。用户咨询产品时请注意保护个人信息及财产安全,合理判断,谨慎选购商品,商家和用户对交易行为负责。对于医疗器械类产品,请先查证核实企业经营资质和医疗器械产品注册证情况。
文献和实验化癌与大细胞淋巴瘤和无黑色素性黑色素瘤。此时,最好同时使用黑色素瘤和白细胞标记物以避免阴性结果。同时,为了达到对未分化肿瘤精确诊断的目的,最好使用一组单克隆抗体,包括波形蛋白、白细胞共同抗原(LCA)、S―100以及黑色素瘤特异性抗原HMB―45的单克隆或多克隆抗体。值得指出的是,约有10%的大细胞淋巴瘤会因福尔马林固定而不能染出LCA,尤其是固定时间过长时,这在应用免疫细胞化学鉴别诊断时应当考虑。 (2)腺癌。所有腺癌,不论其细胞起源如何,均可表达用广反应性角蛋白单克隆抗体易于测出角蛋白
度可提高数千倍,达 ng/ml 水平。例如,用放射免疫测定法或酶免疫测定法测定 HBsAg,其敏感度可达 0.1 ng /ml。 免疫测定在临床检验中的应用: 由于各种抗原成份,包括小分子的半抗原,均可用以制备特异性的抗血清或单克隆抗体,利用此抗体作为试剂就可检测标本中相应的抗原,因此免疫测定的应用范围极广,在临床检验中可用于测定: 1) 体液中的各种蛋白质,包括含量极少的蛋白质如甲胎蛋白等。 2) 激素,包括小分子量的甾体激素等。 3) 抗生素和药物。 4) 病原体抗原,HBsAg
内或体外培养而分泌的抗体单克隆抗体(monoclonal antibody,McAb或Mab)。单克隆抗体仅针对一种抗原决定簇,具有很高的特异性。单克隆抗体通常用抗原免疫小鼠制备。将免疫的脾细胞(含产生抗体的B细胞)与小鼠肿瘤细胞融合,分离杂交瘤细胞,接种于小鼠腹腔,产生的腹水中含有浓度很高的单克隆抗体。(三)抗原抗体反应 1、可逆性 抗原与抗体结合形成抗原抗体复合物的过程是一种动态平衡,其反应式为:Ag+Ab→Ag•Ab.。抗体的亲和力(affinity)是抗原抗体间的固有结合力,可以平衡常数K
技术资料暂无技术资料 索取技术资料










