相关产品推荐更多 >
万千商家帮你免费找货
0 人在求购买到急需产品
- 详细信息
- 文献和实验
- 技术资料
- 形态:
Liquit
- 保存条件:
-20℃
- 克隆性:
单克隆
- 适应物种:
Human,(predicted:Mouse,Rat,)
- 保质期:
1年
- 抗原来源:
peptiede
- 目录编号:
TDCLR-0011
- 级别:
科研级
- 库存:
88
- 供应商:
武汉天德
- 宿主:
兔
- 浓度:
1mg/ml
- 抗体英文名:
Lambda Light CHain
- 抗体名:
Lambda Light CHain
- 规格:
1ml工作液

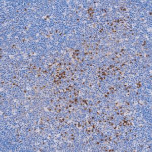
Lambda Light Chain兔抗人入轻链单克隆抗体
此抗体和人免疫球蛋白的入轻链反应,和K轻链无交叉反应可标记带有入轻链的B淋巴细胞、浆细胞和免疫母细胞,细胞外的免疫球蛋白入轻链也可着色,应注意区分,主要用于淋巴瘤和淋巴结反应性增生的鉴别诊断。
- 货号:TDCLR-0011
- 克隆号:EP172
- 阳性部位:胞质
- 适用组织:石蜡切片
- 预处理:热修复
风险提示:丁香通仅作为第三方平台,为商家信息发布提供平台空间。用户咨询产品时请注意保护个人信息及财产安全,合理判断,谨慎选购商品,商家和用户对交易行为负责。对于医疗器械类产品,请先查证核实企业经营资质和医疗器械产品注册证情况。
文献和实验zhuxiangling123 主要有两个问题请高手指教 一、我们现有一个单抗,氨基酸序列已知,如何分析其二级结构?如何分析其是否存在游离半胱氨酸及其存在位置。有没有专门分析抗体二级结构的软件? 二、现在得到一个新的单抗的重、轻链基因,有没有软件能分析单抗重轻链匹配程度? freecell 1. Try Igblast. http://www.ncbi.nlm.nih.gov
组合,保证了库的高质量和多样性。3. 分为κ和λ两种轻链亚型的单链抗体库,与大多数商业化混合库不同,即可用于筛选κ型抗体,也可用于筛选λ型的高亲和力抗体。4. 带有His标签,可直接用 phagemid 表达抗体,His 标签纯化。普健生物千亿级全人重组抗体库QC检测1.总插入率及正确率片段插入率 100%,抗体序列正确率>86%。2.抗体序列多样性分析种系基因(Germline)分析:种系基因主要指单倍体生殖细胞和干细胞中所含有,未发生重排的全部基因。互补决定区(CDR)分析:抗体分子可分为恒定
与人的抗体同源性更高,约 60%~76%,而小鼠与人的抗体同源性为 57%~72%,兔单抗的人源化比鼠单抗更容易实现。兔单抗药物的上市,揭开了抗体药物研发的新篇章,发展潜力不可限量。兔单克隆抗体具有高亲和力、高特异性、高灵敏度,可识别更多新型表位,杂交瘤克隆数更多,容易人源化等优势。因此,用兔单克隆抗体开发治疗用抗体药物的前景更广阔。普健生物可提供兔源天然scFv库供各种抗原进行淘选,抗原类型涵盖蛋白,多肽,小分子和细胞表面抗原。普健生物兔源天然scFv库优势:1. 分为 κ 和 λ 两种轻链亚型
技术资料暂无技术资料 索取技术资料










