相关产品推荐更多 >
万千商家帮你免费找货
0 人在求购买到急需产品
- 详细信息
- 文献和实验
- 技术资料
- 形态:
Liquit
- 保存条件:
-20℃
- 克隆性:
单克隆
- 适应物种:
Human,(predicted:Mouse,Rat,)
- 保质期:
1年
- 抗原来源:
peptiede
- 目录编号:
TDCKM-0040
- 级别:
科研级
- 库存:
88
- 供应商:
武汉天德
- 宿主:
鼠
- 浓度:
1mg/ml
- 抗体英文名:
Ksp-CAdherin
- 抗体名:
Ksp-CAdherin
- 规格:
1ml工作液

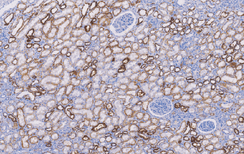
Ksp-cadherin鼠抗人肾特异性钙粘附蛋白单克隆抗体
肾特异性钙粘附蛋白(Ksp-cadherin) 是钙粘附分子家族中的一种新成员。该蛋白具有肾特异性。在肾组织中,Ksp-cadherin只表达肾小管上皮基底膜和集合管上皮。而肾小球,肾间质细胞和血管不表达。许多不同的钙粘附分子(E-钙粘附分子、N-钙粘附分子、钙粘附分子-6等)在肾细胞肿瘤中已经证实,这些粘附分子的缺失可能同肿瘤去分化和淋巴结转移有关。Shen等人研究资料表明:Ksp-cadherin在肾嫌色细胞癌有高达100%敏感性(13/13),在肾嗜酸细胞腺瘤中为95%敏感性(19/20)。
- 货号:TDCKM-0040
- 克隆号:MRO-33
- 阳性部位:胞质,胞膜
- 适用组织:石蜡切片
- 预处理:热修复
风险提示:丁香通仅作为第三方平台,为商家信息发布提供平台空间。用户咨询产品时请注意保护个人信息及财产安全,合理判断,谨慎选购商品,商家和用户对交易行为负责。对于医疗器械类产品,请先查证核实企业经营资质和医疗器械产品注册证情况。
文献和实验抗体/补体介导的特异性细胞毒作用分离法分离T细胞亚群 人T淋巴细胞按其表面标志分为CD4+ T和CD8+ T细胞两类,其细胞膜上分别有CD4和CD8分子,当它们与相应的鼠抗人单克隆抗体结合后,在补体的参与下,可溶解相应的T细胞亚群,从而分离出另一种细胞亚群。 【试剂及配制】 (1) 聚蔗糖-泛影葡胺分层液(D=1.077±0.001)。 (2) Hank’s液(内含5%小牛血清和1.0g/L叠氮钠)。
这首先要从抗体的产生来探讨。把某一抗原免疫某种动物而得到单抗或多抗。如果用经免疫过的动物的脾细胞获得杂交瘤细胞,则得到单克隆抗体,如果用动物的血清,则得到多克隆抗体。但从理论上说,这些抗体都应针对抗原来自的动物,例如如果用 人蛋白 抗原免疫小鼠,则这些 抗体 为鼠抗人。 由于一个大蛋白分子表面具有多种抗原决定簇,因此,免疫动物后,这些不同的决定簇分别诱导动物产生不同的 抗体
排列。当细胞融合80%以上后,开始形成肌管。2、免疫细胞化学染色1:肌卫星细胞胞浆中含有结蛋白(desmin),可采用鼠抗人及小鼠desmin一抗对卫星细胞进行免疫染色鉴定。3、免疫细胞化学染色2:采用骨骼肌特异性的肌球蛋白(myosin)单克隆抗体检测。取含骨骼肌细胞盖玻片常规处理后进行myosin的细胞免疫化学染色,PBS代替一抗做阴性对照。结果判定:以细胞浆出现棕黄色颗粒为阳性染色。六、注意事项1、胰酶消化过程中,也可采用15min两步消化的方法进行。根据所取组织个体年龄决定,一般成年大小
技术资料暂无技术资料 索取技术资料










