相关产品推荐更多 >
万千商家帮你免费找货
0 人在求购买到急需产品
- 详细信息
- 文献和实验
- 技术资料
- 免疫原:
Recombinant human AMACR protein:full length
- 亚型:
lgG
- 形态:
Liquit
- 保存条件:
-20℃
- 克隆性:
单克隆
- 标记物:
详询
- 适应物种:
Human,(predicted:Mouse,Rat,)
- 保质期:
1年
- 抗原来源:
peptiede
- 目录编号:
TDCCM-0900
- 级别:
科研级
- 库存:
88
- 供应商:
武汉天德
- 宿主:
鼠
- 应用范围:
WB=1:500-1000
- 浓度:
1mg/ml
- 靶点:
详询
- 抗体英文名:
Cytokeratin(HMW )
- 抗体名:
Cytokeratin(HMW )
- 规格:
1ml工作液

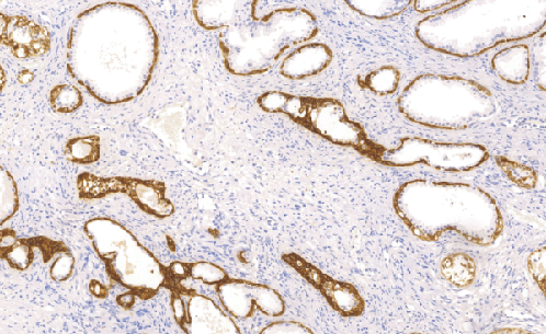
Cytokeratin(HMW)鼠抗人细胞角蛋白(高分子量)单克隆抗体
CK34BE12克隆与人角蛋白中问丝蛋白1、5、10和14反应。文献报导该抗体与人的鳞状上皮、正常皮肤汗腺导管、部分肺泡细胞、支气管上皮、正常肺间皮细胞和正常肝内胆管反应。它也与正常胰腺导管细胞、正常乳腺的部分导管和腺泡,正常甲状腺的部分滤泡上皮细胞和正常大小肠的部分上皮与间皮反应。
- 货号:TDCCM-0900
- 克隆号:34βE12
- 阳性部位:胞质
- 适用组织:石蜡切片
- 预处理:热修复
风险提示:丁香通仅作为第三方平台,为商家信息发布提供平台空间。用户咨询产品时请注意保护个人信息及财产安全,合理判断,谨慎选购商品,商家和用户对交易行为负责。对于医疗器械类产品,请先查证核实企业经营资质和医疗器械产品注册证情况。
文献和实验上皮、前列腺上皮等。细胞角蛋白包括颌下腺,胰腺,胸腺,细胞,肝细胞,肾小管细胞等。目前,应用上述细胞中间丝角蛋白作为抗原所制备的抗体有单克隆抗体和多克隆抗体。角蛋白可有19个亚型 ,分为碱性和酸性,从1-8为碱性,9-19为酸性,分子量40-68不等,复层鳞上皮多为高分子量,单层上皮则多为低分子量,了解这些在临床的鉴别诊断及抗体的应用中都 有极大的帮助。目前,检测这类特质的抗体很多,根据不同的克隆生产出不周类型的抗体。常用的抗体有: ①单克隆小鼠抗人细胞角蛋白(Monoclonal
腺上皮等。细胞角蛋白包括颌下腺,胰腺,胸腺,细胞,肝细胞,肾小管细胞等。目前,应用上述细胞中间丝角蛋白作为抗原所制备的抗体有单克隆抗体和多克隆抗体。角蛋白可有19个亚型 ,分为碱性和酸性,从1-8为碱性,9-19为酸性,分子量40-68不等,复层鳞上皮多为高分子量,单层上皮则多为低分子量,了解这些在临床的鉴别诊断及抗体的应用中都 有极大的帮助。目前,检测这类特质的抗体很多,根据不同的克隆生产出不周类型的抗体。常用的抗体有: ①单克隆小鼠抗人细胞角蛋白(Monoclonal mouse
和19的单克隆抗体在病理诊断中最为有用。 1.广特异性角蛋白单克隆抗体这组单克隆抗体对识别上皮细胞尤其是肿瘤细胞具有高的敏感和特异性。这些抗体包括AE 1 ,AE 3 ,CAM―5.235BHll,UCD/PR10.11c 以及KA 4 。这些单克隆抗体可以优先识别存在于A和B亚族中的小分子量角蛋白的表位。其中,AE 1 在不同的固定和染色条件下对角蛋白显示了很高的敏感性和广泛的特异性。因此,特别
技术资料暂无技术资料 索取技术资料









