相关产品推荐更多 >
万千商家帮你免费找货
0 人在求购买到急需产品
- 详细信息
- 文献和实验
- 技术资料
- 形态:
Liquit
- 保存条件:
-20℃
- 克隆性:
单克隆
- 标记物:
详询
- 适应物种:
Human,(predicted:Mouse,Rat,)
- 保质期:
1年
- 抗原来源:
peptiede
- 目录编号:
TDCAR-0200
- 级别:
科研级
- 库存:
88
- 供应商:
武汉天德
- 宿主:
兔
- 浓度:
1mg/ml
- 靶点:
详询
- 抗体英文名:
Alpha-M*ethylacyl-CoA RaCEmase(AMACR,p504s)
- 抗体名:
Alpha-M*ethylacyl-CoA RaCEmase(AMACR,p504s)
- 规格:
1ml工作液

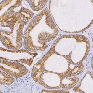
Alpha-M*ethylacyl-CoA Racemase(AMACRp504s)兔抗人a-甲基酷基辅酶A消旋酶单克隆抗体
a-甲基酷基辅酶A消旋酶(AMACR)也称为p504s,是一种线粒体过氧化物酶,涉及胆汁酸生物合成和支链脂肪酸的B氧化。AMACR是脂质代谢所必需的,表达在正常肝脏(肝细胞)、肾脏(肾小管上皮细胞)和胆囊(上皮细胞),还发现表达在肺(支气管上皮细胞)和结肠(结肠上皮表面),为颗粒和胞后表达。
- 货号:TDCAR-0200
- 克隆号:13H4
- 阳性部位:胞质
- 适用组织:石蜡切片
- 预处理:热修复
风险提示:丁香通仅作为第三方平台,为商家信息发布提供平台空间。用户咨询产品时请注意保护个人信息及财产安全,合理判断,谨慎选购商品,商家和用户对交易行为负责。对于医疗器械类产品,请先查证核实企业经营资质和医疗器械产品注册证情况。
文献和实验该产品被引用文献
技术资料暂无技术资料 索取技术资料
文献支持
兔抗人α-甲基酰基辅酶A消旋酶单克隆抗体 TDCAR-0200
询价









