相关产品推荐更多 >
万千商家帮你免费找货
0 人在求购买到急需产品
- 详细信息
- 文献和实验
- 技术资料
- 供应商:
北京百奥创新科技有限公司
- 库存:
大量
- 靶点:
CDX2
- 级别:
详询
- 目录编号:
详询
- 克隆性:
单克隆
- 抗原来源:
详询
- 保质期:
详询
- 抗体英文名:
CDX2 Monoclonal Antibody
- 抗体名:
CDX2抗体
- 标记物:
详询
- 宿主:
Mouse
- 适应物种:
Human
- 免疫原:
Recombinant full length human CDX2 protein
- 亚型:
IgG1, kappa
- 形态:
详询
- 应用范围:
IHC, PA
- 保存条件:
详询
- 浓度:
0.1mg
- 规格:
0.1mg
CDX2 Monoclonal Antibody单抗/CDX2抗体
产品简介:
别名:caudal type homeobox 2; Homeobox protein CDX-2; CDX2; CDX-2; CDX3; CDX-3; CDX2/AS
宿主:Mouse
克隆性:Monoclonal
同型:IgG1, kappa
反应种属:Human
应用:IHC, PA
阳性对照:HT29, colon carcinoma
免疫原:Recombinant full length human CDX2 protein
纯化方法:By Protein G from bioreactor concentrate
RRID:AB_2750609
GeneID:1045
SwissProt:Q99626
产品储存:避免重复冻融循环。为了长期储存,将小份试样保持在-20℃或-80℃,并将一份等分试样保持在4℃进行日常实验。该抗体在4℃下可保存6-12个月。
产品数据:
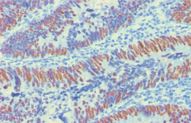
免疫组织化学(IHC): 该产品在人类结肠癌切片中显示核染色。推荐浓度:0.3-1ug/ml。

甲醛固定、石蜡包埋的人结肠癌用CDX2小鼠单克隆抗体AE00163在室温下以0.5-1ug/ml染色30分钟。表位回收:在pH6下煮沸10-20分钟,然后冷却20分钟。用HRP聚合物进行DAB染色。
纯化CDX2小鼠单克隆抗体AE00163的SDS-PAGE分析。抗体纯度和完整性的确认。

纯化抗体AE00163在非还原和还原条件下的完整性,在约150kDa(NR)处显示完整的IgG,在50kDa和28kDa处分别显示完整的重链和轻链。(R)
AE00163对CDX2的特异性和选择性针对人类蛋白质阵列上的>19000个全长人类蛋白质进行了测试。针对智人的蛋白质BLAST搜索显示与CDX1和CDX4有一小段同源性,两者都是阵列的一部分,没有显示交叉反应信号。

Z-评分表示抗体(通过荧光团标记的第二试剂)在与阵列上的特定蛋白质结合时产生的信号强度。Z分数以标准差(SD)为单位,高于该阵列上生成的所有信号的平均值。当Z分数按降序排列时,两个连续值之间的差值将是第一个的S分数。因此,S评分表示抗体对其预期靶标的相对特异性。当抗体的S分至少为2.5分时,它被认为是对其预期目标具有特异性的。例如,如果抗体以43的Z评分与预期蛋白X结合,并以14的下一个Z评分与交叉反应蛋白Y结合,则抗体对预期靶X的S评分等于29(43-14)。
产品订购:
| 货号 |
产品名称 |
规格 |
| AE00163 |
0.1mg |
风险提示:丁香通仅作为第三方平台,为商家信息发布提供平台空间。用户咨询产品时请注意保护个人信息及财产安全,合理判断,谨慎选购商品,商家和用户对交易行为负责。对于医疗器械类产品,请先查证核实企业经营资质和医疗器械产品注册证情况。
文献和实验在无血清细胞培养条件下将人 iPS 细胞体外分化为结肠类器官
酐酶-II、α-碳酸酐酶-IV、粘蛋白 5B、粘蛋白 2 和 E-钙粘蛋白呈阳性。 图 7. 人结肠类器官的免疫组化 (IHC) 表征。A) 用阿尔新蓝染色鉴定的杯状细胞 B) 用 Ki67 抗体(红色)鉴定的增殖细胞 C) 用 H&E 染色鉴定的细胞核和血浆蛋白。 结论 我们开发了一个强大的三步分化方案,以从人类诱导的多能干细胞 (iPSC) 中分化出人结肠类器官。使用该实验方案生成的结肠类器官能够表达成熟的结肠标志物 CDX2、α-碳酸酐酶-II、α-碳酸酐酶-IV、粘蛋白 5B、粘蛋白
: 1. Prepare Whole Cell Extract. Make sure every solution DOES NOT contain DTT. 2. Add 1 or 2 μl of non-diluted monoclonal antibody (4B4 is better than 10H8 for HSF1) or 1/10 diluted polyclonal antibody to 10 μg of whole cell extract
GAPDH抗体|GAPDH抗体大全-艾美捷指导您购买合适的GAPDH抗体
,但是进口品牌如Abcam、Millipore、CST等价格偏高,一般在¥3000/100ul左右。下面我们为您推荐三款GAPDH原装进口抗体,分别是美国EarthOx和ProteinTech的产品。EarthOx的Anti-GAPDH Monoclonal Antibody (货号E021010 )是小鼠源的单抗,其效价很高,厂商推荐的WB起始稀释比率为1:1000,实际应用过程中,有使用1:10000或更高的报告,远远高于此稀释比率,说明其免疫效价很高,另外,其检测种属也很多,包括人、牛、猪、小鼠
技术资料需要更多技术资料 索取更多技术资料










