万千商家帮你免费找货
0 人在求购买到急需产品
- 详细信息
- 询价记录
- 文献和实验
- 技术资料
- 供应商:
上海联祖
- 库存:
50
- 英文名:
Hs 695T
- 生长状态:
贴壁生长
- 是否是肿瘤细胞:
否
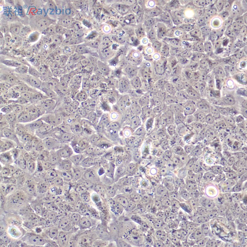
- 细胞形态:
上皮细胞
- 规格:
T25培养瓶
| 细胞名称 | Hs 695T细胞 |
| 货号 | LZ-X969091 |
| 规格 | 1×10⁶/T25培养瓶 |
| 形态特征 | 上皮细胞 |
| 生长特性 | 贴壁生长 |
| 完全培养基 | EMEM+10%FBS |
| 培养条件 | 温度:37℃ |
| 传代方法 | 1:2-1:4传代,2-3天换液1次。 |
| 特征特性 |
公司正在出售的产品:
| Primarker™大鼠肝星状细胞鉴定试剂盒 | T84人结肠腺癌肺转移细胞 The cell T84 of human colon adenocarcinoma of lung metastasis D-MEM/F-12培养基+5%FBS2,3-吡嗪二羧酸(>98.0%(HPLC)(T))质量规格:>98.0%(HPLC)(T)2,3-Pyrazinedicarboxylic Acid |
| Primarker™人子宫癌组织源细胞鉴定试剂盒 | 615小鼠前胃癌瘤株;Fc 小鼠肾小管上皮细胞完全培养基 100mL11-羟基柳杉酚(标准品)质量规格:HPLC≥98%,标准品11-hydroxy-sugiol |
| 中国仓鼠卵巢细胞(亚系克隆);CHO-beta2(414) CL.32 pTGF-beta2(414) 前列腺癌细胞,RM-1细胞 S37细胞,小鼠肉瘤细胞阿糖胞苷 5‘-单1酸盐Cytarabine 5'-Monophosphate | 人胚肾细胞;293 [HEK-293]震颤真菌(>98%,BC)Verruculogen from Penicillium verruculosum质量规格:>98%,BC |
| 大鼠食管平滑肌细胞提取物【Rat Esophageal: Normal Esophageal Smooth Muscle Cell Derivatives】 | HET-1A, 人食管上皮细胞地肤子皂苷Ic(标准品)质量规格:仅供鉴别用Momordin Ic |
| 兔肾细胞;RK-131钼酸质量规格:BCPhosphomolybdic acid hydrate | 人晶状体上皮细胞完全培养基 100mL硫唑嘌呤(标准品)Azathioprine质量规格:含量测定 |
| 人体膀胱癌组织源细胞【Cancer: Human Bladder Cancer Derivatives】 | TNFSF8 Protein Rat 重组大鼠 CD153 / CD30L / TNFSF8 蛋白 (Fc 标签)回拉西坦;茴拉西坦(标准品)Aniracetam质量规格:含量测定 |
| 肝实质细胞Many types of cells包装:5 × 105方(1ml)环孢菌速分离度用混合物;环孢速分离度用混合物 Cyclosporinq Rqsolution Mixturq 10807-42-8 | 人神经束膜细胞cDNAHPC cDNA硫酸西梭米星(标准品)Sisomicin Sulfate质量规格:含量测定 |
| Primarker™人脐静脉内皮细胞鉴定试剂盒 | PLAU Others Human 人 uPA / PLAU 人细胞裂解液 (阳性对照) 赖诺普利(标准品)质量规格:含量测定Lisinopril Dihydrate |
| 小鼠色素瘤细胞;B16 小鼠肝实质细胞完全培养基 100mLD-Fructose 250g/500g/1kg/5kg原装 Amresco 0226 | MERTK Others Mouse 小鼠 MERTK / MER 人细胞裂解液 (阳性对照) 2-羟基炔雌醇2-Hydroxy Ethynyl Estradiol |
| CL-0203SCaBER(人膀胱鳞癌细胞)5×106cells/瓶×2硼砂pH标准物质(硼砂PH(25℃):9.18)pH standard-Borax质量规格:硼砂PH(25℃):9.18 | 人肾成纤维细胞提取物 |
| CXCL16 Protein Rat 重组大鼠 CXCL16 / SR-PSOX 蛋白 (His 标签)(R)-(+)-1,1-联-2-酚 (R)-(+)-1,1'-Bi-2-ncphthol 18231-94-7 | 乳腺上皮细胞和肿瘤原代细胞提取物 |
| 人骨髓间充质干细胞(hMSCs) 人肝癌细胞,Hep G2细胞 C127(细胞)异烟酸Isonicotinic acid质量规格:>98%,BR | 人铁蛋白酶联免疫试剂盒 |
| Hs 695T细胞AGRP Others Human 人 AgRP 人细胞裂解液 (阳性对照) 垂体腺苷酸环化酶激活肽-27(6-27),人,鸡,小鼠,猪,大鼠PACAP-27 (6-27) (human,chicken, mouse, ovine,porcine, rat)质量规格:>95%,BR | 人抗心肌抗体酶联免疫试剂盒 |
| MS751 人子宫颈表皮癌细胞3-羌基炳晴puriss》99.0% 3-xy7noxypropionitnilq 109-78-4 | 人丁型肝炎IgM酶联免疫试剂盒 |
| 人肺间充质干细胞HPMSC吡嗪酰胺Pyrazinamide质量规格:>99%,USP | 人6酮前列腺素酶联免疫试剂盒 |
注意事项:
1.收到细胞后,若发现干冰已挥发干净、冻存管瓶盖脱落、破损及细胞有污染,请立即与我们系。
2.收到细胞先不开瓶盖,瓶身擦拭酒精后放在培养箱静置2-4小时(视细胞密度而定)稳定细胞状态。接着在倒置显微镜下观察细胞生长情况,并对细胞进行不同倍数拍照(建议收细胞时就整体外观拍一张照片,观察培养基的颜色和是否有漏液情况,随后在显微镜下拍下细胞状态,100*,200*各一张),观察记录细胞在运输过程中是否有污染情况。作为我方进行销售依据。
3.由于细胞状态受环境、操作和运输等多方面因素影响,故本公司只保证客户收到细胞后一周内的细胞状态,故客户需要售后时需出示收到细胞的时间证明及客户提供收货时间和发现问题后客服人员沟通的时间证明,期间间隔时间不能大于7天。
4.所有动物细胞均视为有潜在的生物危害性,必须在二级生物安全台内操作,并请注意防护,所有废液及接触过此细胞的器皿需要灭菌后方能丢弃。
5.客户在细胞培养过程中任何问题可联系我们在线客服,我们随时给予解答。
风险提示:丁香通仅作为第三方平台,为商家信息发布提供平台空间。用户咨询产品时请注意保护个人信息及财产安全,合理判断,谨慎选购商品,商家和用户对交易行为负责。对于医疗器械类产品,请先查证核实企业经营资质和医疗器械产品注册证情况。
- 作者
- 内容
- 询问日期
文献和实验猴 B病毒 (HS) 酶联免疫 分析( ELISA ) 试剂 盒使用说明书 本试剂仅供研究使用 目的:本试剂盒用于测定猴血清,血浆及相关液体样本中 B病毒(HS) 的 含量。 实验原理 : 本试剂盒应用双抗体夹心法测定 标本 中 猴 B病毒 (HS) 水平。用纯化的 猴 B病毒 (HS) 抗体包被微孔板,制成固相抗体,往包被单抗的微孔中依次加入 B病毒 (HS) , 再与HRP 标记的 B 病毒 (HS) 抗体结合,形成
近日,Adicet Bio Inc. 宣布FDA已批准其ADI-001的IND申请[1],这是一种针对CD20的嵌合抗原受体(CAR)的异体γδ(gamma/delta)T细胞疗法,用于治疗非霍奇金淋巴瘤(NHL)。 在肿瘤免疫细胞疗法中,我们最熟悉的是CAR-T,以及时下火热的CAR-NK和CAR-M疗法。小编在前几期的细胞疗法系列微信中,已经给大家介绍了CAR-M和CAR-NK的相关内容(点击橘色字体查看)。这一期,我们就来聊一聊这一“小众”的γδ T细胞。 γδ T细胞及其应用
人 高敏 C 反应蛋白( hs-CRP ) 酶联免疫分析( ELISA ) 试剂盒使用说明书 本试剂仅供研究使用 目的:本试剂盒用于测定人血清,血浆及相关液体样本中 高敏C 反应蛋白(hs-CRP ) 的 含量。 实验原理: 本试剂盒应用双抗体夹心法测定标本中 人高敏 C 反应蛋白( hs-CRP ) 水平。用纯化的 人 高敏 C 反应蛋白( hs-CRP ) 抗体包被微孔板,制成固相抗体,往包
技术资料暂无技术资料 索取技术资料










