万千商家帮你免费找货
0 人在求购买到急需产品
- 详细信息
- 技术资料
- 供应商:
上海联祖
- 库存:
41
- 英文名:
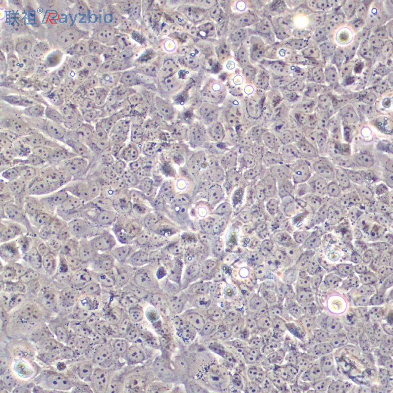
SNU-1327
- 是否是肿瘤细胞:
否
- 规格:
T25培养瓶
| 产品名称 | 规格 | 货号 |
| SNU-1327细胞 | T25瓶 | LZ-X9051 |
含量:>1x10^6 细胞数
规格:T25瓶
用途:仅供科研使用。
干冰运输及复苏好存活细胞
(1)1mL冻存管包装干冰运输,收到后-80度冰箱保存过夜后转入液氮或直接复苏,若发现干冰已挥发干净、冻存管瓶盖脱落、破损及细胞有污染,请立即与我们联系。
(2)T25瓶复苏的存活细胞常温发货,收到后按照细胞接收后的处理方法操作。
1) 收到细胞后,75%酒精消毒瓶壁将T25瓶置于37℃培养箱放置约2-3h,若发现培养瓶破损、有液溢出及细胞有污染,请拍照后及时联系我们。
2)请在4或5X显微镜下确认细胞状态,同时给刚收到的细胞拍照(10×,20×)各2-3张以及培养瓶外观照片一张留存,作为售后时收到时细胞状态的依据。
3) 悬浮细胞:T25瓶置于37℃培养箱放置约2-3h,然后抽出瓶中的培养基和细胞1000rpm离心5分钟,弃去上清重悬后接种到新的培养瓶中(加入按照说明书细胞培养条件新配制的完全培养基)。
4)备注:运输用的培养基(灌液培养基)不能再用来培养细胞,请换用按照说明书细胞培养条件新配制的完全培养基来培养细胞。 收到细胞后第一次传代建议T25培养瓶1:2传代 。 一.培养基及培养冻存条件准备:
1) 准备培养基;优质胎牛血清,10%;双抗,1%。备注:该细胞为悬浮并部分聚团生长
2) 培养条件: 气相:空气,95%;二氧化碳,5%。 温度:37摄氏度,培养箱湿度为70%-80%。
3) 冻存液:90%血清,10%DMSO,现用现配。
二. 细胞处理:
1) 冻存细胞的复苏:
将含有1mL细胞悬液的冻存管在37℃水浴中迅速摇晃解冻,加入到含4-6mL完全培养基的离心管中混合均匀。在1000RPM条件下离心3-5min,弃去上清液,完全培养基重悬细胞。然后将细胞悬液加入含6-8ml完全培养基的培养瓶(或皿)中37℃培养过夜。第二天显微镜下观察细胞生长情况和细胞密度。
2) 细胞传代:如果细胞密度达80%-90%,即可进行传代培养。
对于悬浮细胞,传代可参考以下方法:
悬浮状态下生长的细胞,可以通过向培养瓶中添加完全培养基来维持细胞的生长状态,一般情况下细胞密度维持在1×105~1×10^6个/mL(不同细胞对密度要求不同,)可以维持细胞的正常生长。如需分瓶可以将细胞悬液收集到离心管中1000rpm,离心5min,弃去上清,补加1-2mL培养液后重悬混匀后将细胞悬液按1:2的比例分到新T25瓶中,添加6-8ml按照说明书要求配置的新的完全培养基以保持细胞的生长活力,后续传代根据实际情况按1:2~1:5的比例进行。
3) 细胞冻存: 收到细胞后建议在培养前3代时冻存一批细胞种子以备后续实验使用。
下面T25瓶为例;
1. 细胞冻存时按照细胞传代的过程收集消化好的细胞到离心管中,可使用血球计数板计数,来决定细胞的冻存密度。一般细胞的推荐冻存密度为1×10^6~1×107个活细胞/ml.
2. 1000rpm离心3-5min,去掉上清。用配制好的细胞冻存液重悬细胞 ,按每1ml冻存液含1×10^6~1×107个活细胞/ml分配到一个冻存管中将细胞分配到冻存管中,标注好名称、代数、日期等信息。
3. 将要冻存的细胞置于程序降温盒中,-80度冰箱中过夜,之后转入液氮容器中储存。同时记录好冻存管在液氮容器中的位置以便后续查阅和使用。
| Primarker™小鼠脑膜成纤维细胞鉴定试剂盒 | 团头鲂尾鳍细胞;WCF 人卵巢畸胎瘤细胞,PA-1细胞 SK-OV-3(卵巢癌细胞)(R)--Leucinol(R)-2-基-4-甲基-1-5克BR,98% |
| Primarker™小鼠少突胶质细胞鉴定试剂盒 | VERO C1008细胞,非洲绿猴肾细胞 人胰腺腺泡上皮癌,HPAC细胞 CM-M087小鼠软骨细胞完全培养基100mL水溶性四氮唑-1质量规格:BRGLT001 |
| 人心脏成纤维细胞cDNAHCF cDNA四溴双酚A(>98.0%(GC)(T))质量规格:>98.0%(GC)(T)Tetrabromobisphenol A | 原代内皮细胞特制无血清添加剂Many types of cells包装:1ml铜片Copper sheet质量规格:>99.5%,厚度0.1-0.2cm |
| 小鼠心肌成纤维细胞提取物【Mouse Heart: Normal Heart Fibroblast Derivatives】 | 人前列腺癌细胞;DU 145 [DU145;DU-145]马来酸二乙酯(>98%,BR)质量规格:>98%,BRDiethyl maleate |
| tTA基因修饰的小鼠畸胎瘤细胞(B类);F9-CAG-tTA-3A1 中性蛋白酶(含10mL酶解缓冲液) 1mL2,4,6-三溴-3-羟基本酸1克 | CL-0401NCI-H446(人小细胞肺癌细胞)5×106cells/瓶×2无水硫酸钠(for HPLC,≥99.0%(T)) sulfate anhydrous质量规格:for HPLC,≥99.0%(T) |
| 人椎间盘髓核组织提取物【Intervertebral Disc: Normal Human Intervertebral disc nucleus pulposus Derivatives】 | MS1 小鼠胰岛内皮细胞甲基麦考酚酯(环氧树脂杂质E)Methyl Mycophenolate (EP Impurity E) |
| 小鼠神经皮质细胞(MN-c)(1×106) LncaP, 人前列腺癌细胞 Human二氧化锡(> 99%,BR)质量规格:> 99%,BRTin (IV) oxide | SV-40转化肺成纤维细胞;WI38/VA13茜素黄GGAlizarin yellow GG质量规格:IND |
| Primarker™人卵巢上皮细胞鉴定试剂盒 | RSPO1 Protein Human 重组人 R-Spondin 1 / RSPO1 蛋白 (His 标签)灰黄-13C,d3Griseofulvin-13C,d3 |
| 狗脂肪间质干细胞 The dog adipose mesenchymal stem cells盐酸胍 (常规) Guanidine hydrochloride (≥99.0%) 1950-1-1 100G 通用试剂 | 人B母细胞;HMy2.CIR 人前列腺平滑肌细胞完全培养基 100mL胞嘧啶 Cytosine 质量规格:>99%,BR |
| DDR1 Others Human 人 DDR1 Kinase / MCK10 / CD167 人细胞裂解液 (阳性对照) 1,6-二羟基萘(>98%,BR)1,6-Dihydroxynaphthalene质量规格:>98%,BR | KLK13 Others Human 人 KLK13 / Kallikrein-13 人细胞裂解液 (阳性对照) 氘代盐酸(50g)质量规格:D, 99.5% DCL 35% IN D2ODeuterium Chloride |
| 非洲绿猴肾细胞;CV-110-脱乙酰巴卡亭(标准品)质量规格:HPLC≥98%,标准品10-Deacetylbaccatin III | 人APP-PS1双基因转染细胞株(HEK293);APP-PS1 人支持细胞完全培养基 100mL(±)-氯吡格雷盐酸盐 (±)-Clopidogrel hydrochloride |
| 中国仓鼠卵巢细胞;CHO十四烷(Standard for GC,>99%(GC))Tetradecane质量规格:Standard for GC,>99%(GC) | 人细胞间粘附分子3酶联免疫试剂盒 |
| SNU-1327细胞人间充质干细胞-肝大黄素Emodin质量规格:≥97%,BR | 人酪氨酰tRNA合成酶酶联免疫试剂盒 |
| 人角膜上皮细胞cDNAHCEpiC cDNA2206-27-1氘代二甲亚砜DImetxYL SULFOXIDE-D6 | 人钙调磷酸酶酶联免疫试剂盒 |
| Ls-174-T细胞,人结肠癌细胞 人色素瘤细胞,SK23细胞 人细胞;Hela维生素 D3 ((胆骨化醇)Vitamin D3质量规格:>98.0%(HPLC)4000万IU/g | 人CXC趋化因子配体16酶联免疫试剂盒 |
风险提示:丁香通仅作为第三方平台,为商家信息发布提供平台空间。用户咨询产品时请注意保护个人信息及财产安全,合理判断,谨慎选购商品,商家和用户对交易行为负责。对于医疗器械类产品,请先查证核实企业经营资质和医疗器械产品注册证情况。
技术资料暂无技术资料 索取技术资料
SNU-1327细胞
¥800 - 4000









