万千商家帮你免费找货
0 人在求购买到急需产品
- 详细信息
- 技术资料
- 供应商:
上海联祖
- 库存:
34
- 英文名:
NCI-H1930
- 生长状态:
悬浮生长
- 是否是肿瘤细胞:
否
- 规格:
T25培养瓶
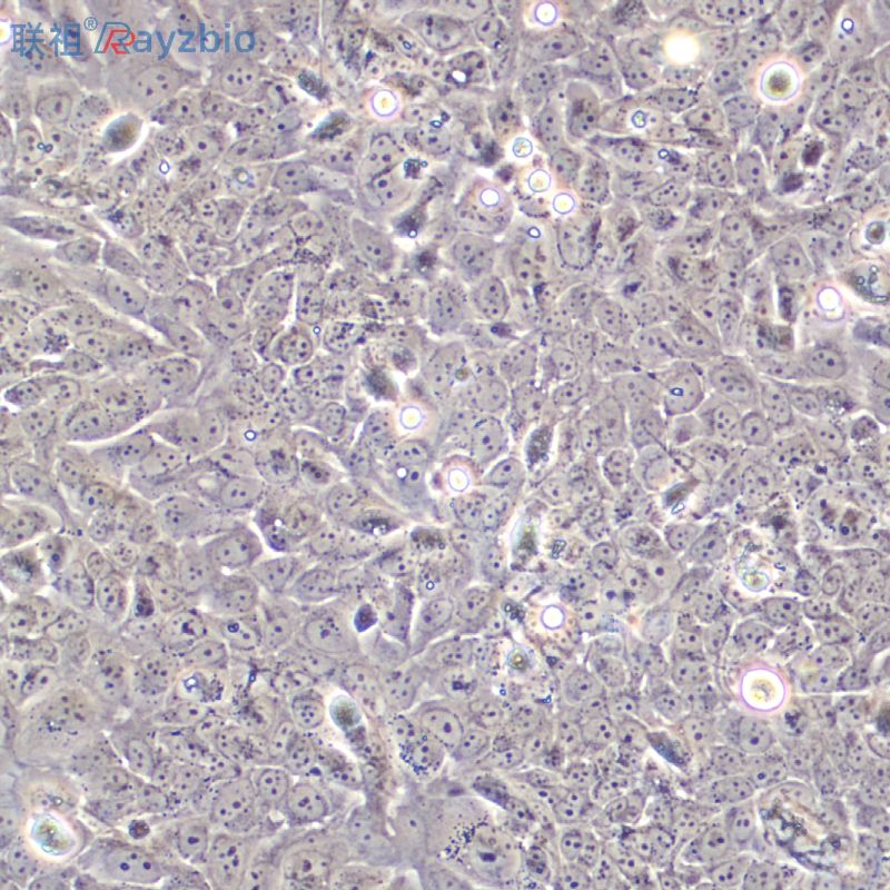
NCI-H1930细胞
| 细胞名称 | NCI-H1930细胞 |
| 货号 | LZ-X968974 |
| 规格 | 1×10⁶/T25培养瓶 |
| 形态特征 | |
| 生长特性 | 悬浮生长 |
| 完全培养基 | RPMI1640+10%FBS |
| 培养条件 | 温度:37℃ |
| 传代方法 | CQ-4天换液1次。 |
| 特征特性 |
公司正在出售的产品:
| Primarker™小鼠神经小胶质细胞鉴定试剂盒 | Raji,人Butt's瘤细胞 Human1,4,7,10-四氮杂环十二烷-1,4,7-三乙酸三叔丁酯(>93.0%(N))质量规格:>93.0%(N)Tri-tert-butyl 1,4,7,10-Tetraazacyclododecane-1,4,7-triacetate |
| Primarker™小鼠胃平滑肌细胞鉴定试剂盒 | 人结直肠癌细胞;T84辛伐他汀 Simvastatin质量规格:>99%,BR,细胞培养级 |
| A3人T细胞白血病细胞 The A3 of human T lymphocyte leukemia cell RPMI-1640(GIBCO)+10%FBS氘代本并(A) BqNZO(c)cNTHRcCqNq D12 1718-23- | MAP2K1 Others Mouse 小鼠 MEK1 / MAP2K1 / MKK1 杆状病毒-昆虫细胞裂解液 (阳性对照) 罗布麻宁;夹竹桃麻素Acetovanillone质量规格:>98%,BR |
| 小鼠心肌细胞提取物【Mouse Heart: Normal Myocardial Derivatives】 | OMD Others Mouse 小鼠 OMD / Osteomodulin 人细胞裂解液 (阳性对照) 雷米普利-d3 Ramipril-d3 |
| 人心脏成纤维细胞裂解物HCFL头孢地尼质量规格:>92%,BRCefdinir | PROM1 Others Rat 大鼠 CD133 / PROM1 / Prominin 1 人细胞裂解液 (阳性对照) 醋酸氯地孕酮(标准品)Chlormadinone Acetate质量规格:>98%,标准品 |
| 人子宫平滑肌细胞提取物【Human Cervix : Normal Cervical Smooth Muscle Cell Derivatives】 | 小鼠瘤细胞;EL4和厚朴酚(标准品)质量规格:HPLC≥98%,标准品Honokiol |
| IL12A & IL12B Others Mouse 小鼠 IL12A & IL12B Heterodimer 人细胞裂解液 (阳性对照) 钠(>95%,BR)质量规格:>95%,BR laurate | GHR Others Rat 大鼠 GHR / Growth Hormone Receptor 人细胞裂解液 (阳性对照) 吉莫斯特;吉美嘧啶(标准品)Gimeracil质量规格:>99%,标准品 |
| Primarker™小鼠肺动脉成纤维细胞鉴定试剂盒 | Caco-2(人结直肠腺癌细胞) 5×106cells/瓶×2 CL-0030Bcap-37(人癌细胞)5×106cells/瓶×2 小鼠胚胎成纤维细胞;C3H 10T1/2 2A6无活菌素质量规格:>98%,美国进口Nonactin |
| 人皮肤鳞癌细胞;A-431 [A431]组蛋白H1(小牛胸腺)5克 | H22(小鼠肝癌细胞) 5×106cells/瓶×2 小鼠颗粒细胞MGC壮观盐酸盐Spectinomycin hydrochloride |
| NCI-H2227(人小细胞肺癌细胞) 5×106cells/瓶×21,5-萘二磺酸二钠盐(>97%,BR)Naphthalene-1,5-disulfonic acid di salt质量规格:>97%,BR | LCN2 Others Mouse 小鼠 LCN2 / NGAL 人细胞裂解液 (阳性对照) 胆壬酸酯(>89.0%(GC))质量规格:>89.0%(GC)Cholesterol Pelargonate |
| CL-0277HCC94(人子宫鳞癌细胞(高分化))5×106cells/瓶×2羌安言醋盐;言醋羌安;录化羌铵;轻录羌安;言醋胲;羌基录化铵 xy7noxylcMinq xy7nochloridq;xy7noxylcMMoniuM chloridq 2470-11-1 | CL-0327Calu-6(人肺退行性癌细胞)5×106cells/瓶×2鸟嘌呤硫酸盐Guanine Sulfate质量规格:>98.0%,进口原装 |
| CoC1(人卵巢癌细胞) 5×106cells/瓶×2 CL-0142LM/TK(小鼠胸腺激酶缺陷细胞)5×106cells/瓶×2 大鼠气管上皮细胞;RTE重1酸胆碱(>98%,BR)Choline bitartrate质量规格:>98%,BR | 人细胞色素b561酶联免疫试剂盒 |
| NCI-H1930细胞CD47 Others Human 人 CD47 人细胞裂解液 (阳性对照) 2'-脱氧肌苷2'-deoxyinosine质量规格:>98%,BR | 人类风湿因子酶联免疫试剂盒 |
| 人肺动脉平滑肌细胞总RNAHPASMC NABOC-L-TryptophanN-叔丁氧羰基-L-色酸10克BR,99% | 人钙离子通道抗体酶联免疫试剂盒 |
| CM-H102表皮角化细胞完全培养基100mL氨基甲酰舍曲林葡萄糖苷酸Sertraline Carbamoyl Glucuronide | 人DAB2互作蛋白酶联免疫试剂盒 |
注意事项:
1.收到细胞后,若发现干冰已挥发干净、冻存管瓶盖脱落、破损及细胞有污染,请立即与我们系。
2.收到细胞先不开瓶盖,瓶身擦拭酒精后放在培养箱静置2-4小时(视细胞密度而定)稳定细胞状态。接着在倒置显微镜下观察细胞生长情况,并对细胞进行不同倍数拍照(建议收细胞时就整体外观拍一张照片,观察培养基的颜色和是否有漏液情况,随后在显微镜下拍下细胞状态,100*,200*各一张),观察记录细胞在运输过程中是否有污染情况。作为我方进行销售依据。
3.由于细胞状态受环境、操作和运输等多方面因素影响,故本公司只保证客户收到细胞后一周内的细胞状态,故客户需要售后时需出示收到细胞的时间证明及客户提供收货时间和发现问题后客服人员沟通的时间证明,期间间隔时间不能大于7天。
4.所有动物细胞均视为有潜在的生物危害性,必须在二级生物安全台内操作,并请注意防护,所有废液及接触过此细胞的器皿需要灭菌后方能丢弃。
5.客户在细胞培养过程中任何问题可联系我们在线客服,我们随时给予解答。
风险提示:丁香通仅作为第三方平台,为商家信息发布提供平台空间。用户咨询产品时请注意保护个人信息及财产安全,合理判断,谨慎选购商品,商家和用户对交易行为负责。对于医疗器械类产品,请先查证核实企业经营资质和医疗器械产品注册证情况。
技术资料暂无技术资料 索取技术资料
NCI-H1930细胞
¥800 - 4000









