万千商家帮你免费找货
0 人在求购买到急需产品
- 详细信息
- 文献和实验
- 技术资料
- 供应商:
上海联祖
- 库存:
35
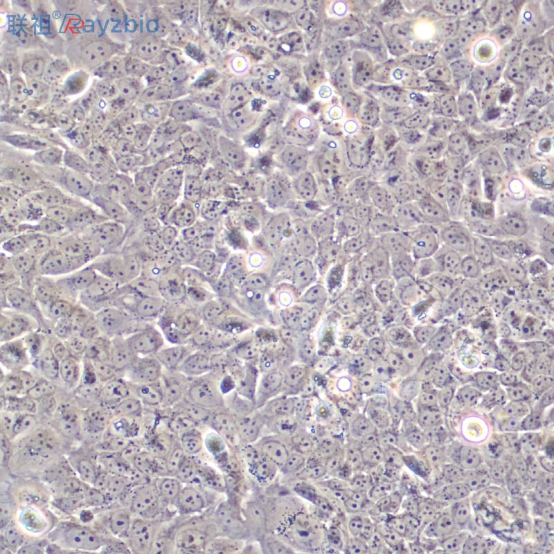
- 英文名:
AU565
- 生长状态:
贴壁生长
- 是否是肿瘤细胞:
否
- 细胞形态:
上皮细胞
- 规格:
T25培养瓶
| 细胞名称 | AU565细胞 |
| 货号 | LZ-X968781 |
| 规格 | 1×10⁶/T25培养瓶 |
| 形态特征 | 上皮细胞 |
| 生长特性 | 贴壁生长 |
| 完全培养基 | RPMI-1640 +10%FBS |
| 培养条件 | 温度:37℃ |
| 传代方法 | 1:4~1:6传代;每CQ-5天换一次液。 |
| 特征特性 |
公司正在出售的产品:
| PrimaCell™大鼠肾小管上皮细胞试剂盒 | HCC1937(人癌细胞) 5×106cells/瓶×2环炳同 Cyclopropyl mqthyl kqtonq 762-43-2 |
| PrimaCell™大鼠神经小胶质细胞试剂盒 | BHK-21 [C-13]仓鼠肾成纤维细胞 BHK-21 [C-13] hamster kidney fibroblast cells MEM培养基10%FBS钙蛋白酶抑制剂I(进口)Calpain Inhibitor I(ALLN) 质量规格:≥95%,美国进口 |
| MET Others Human 人 c-MET / HGFR 人细胞裂解液 (阳性对照) 钽芬,英文名或英文缩写:Tantalum,级别:基准试剂,99.95%,规格:500毫克 | SEMA5A Others Human 人 SEMA5A / Semaphorin-5A / SEMAF 人细胞裂解液 (阳性对照) 2'-O-(tert-Butyldimethylsilyl)-6α-羟基-7-差向-紫衫醇2'-O-(tert-Butyldimethylsilyl)-6α-hydroxy-7-epi-paclitaxel |
| 大鼠晶状体上皮细胞【Rat Eye: Normal Lens Epithelial Cells】 | CL-0253A-427(人肺癌细胞)5×106cells/瓶×2PH-797804质量规格:>98%,BR,可用于细胞培养PH-797804 |
| PA317(小鼠成纤维细胞) 5×106cells/瓶×2 食蟹猴 CD1E & B2M Heterodimer 人细胞裂解液 (阳性对照) RIBOREADY100BRNALADDERRNA laddeTFrozen | 恒河猴肾细胞;RM-3莫沙必利N氧化物Mosapride N-Oxide |
| 小鼠表皮黑色素细胞提取物【Mouse Skin: Normal MelanocytesDerivatives】 | GPNMB Others Mouse 小鼠 GPNMB / Osteoactivin 人细胞裂解液 (阳性对照) 化钾溶液(1/60mol/L(0.1N))Potassium iodide solution质量规格:1/60mol/L(0.1N) |
| DKKL1 Others Human 人 DKKL1 / Soggy-1 / SGY-1 人细胞裂解液 (阳性对照) 白鲜碱(标准品)质量规格:HPLC≥98%,标准品Dictamnine | NELL2 Others Human 人 NELL2 杆状病毒-昆虫细胞裂解液 (阳性对照) 溴-6氯-3-吲哚-β-D-半乳糖苷(>98%,BR)Magenta-Gal质量规格:>98%,BR |
| 大鼠小脑颗粒细胞【Rat Brain: Normal Cerebellar Granule Cells】 | NGF Others Human 人 β-NGF / Beta-NGF CHO细胞裂解液 (阳性对照) 肌苷(标准品)质量规格:HPLC>98%,标准品Inosine |
| MDA-MB-231(人癌细胞) 5×106cells/瓶×2 大鼠 PD-L1 / B7-H1 / CD274 人细胞裂解液 (阳性对照) 6β-羟基布地奈德6β-Hydroxy Budesonide | MA-891(小鼠癌高转移细胞) 5×106cells/瓶×2 脑成纤维细胞Many types of cells包装:5 × 105方(1ml)曲克芦丁(标准品)Troxerutin质量规格:HPLC法含量测定 |
| PrimaCell™大鼠胰腺星状细胞试剂盒 | Li-7 人肝癌细胞炔诺酮(标准品)质量规格:>97%,标准品Norethindrone |
| 人导管癌细胞;ZR-75-30M-FC琼脂25毫升 | CXCL12 Protein Human 重组人 CXCL12 / SDF-1 蛋白钨酸钾二水(>98%,BR)Potassium tungstate, dehydrate质量规格:>98%,BR |
| HEL人红白细胞白血病细胞 HEL human erythroleukemia cells RPMI-1640(GIBCO)+10%FBS重水,氧化氘(0.6ml*10)Deuterium Oxide质量规格:D,99.96% | 人胰岛素样生长因子2受体酶联免疫试剂盒 |
| AU565细胞CD209B Others Mouse 小鼠 CD209B / DC-SIGNR1 人细胞裂解液 (阳性对照) 利培酮(标准品)Risperidone质量规格:HPLC>99%,标准品 | 人凝血因子ⅩⅢ酶联免疫试剂盒 |
| 兔脂肪间质干细胞 Rabbit adipose derived mesenchymal stem cells虎红钠盐shēng huà shì jì容量:100克 | 人基质金属蛋白酶13酶联免疫试剂盒 |
| 人骨骼肌成肌细胞裂解物HSkMML普罗布考(标准品)Probucol质量规格:含量测定 | 人β2糖蛋白酶联免疫试剂盒 |
注意事项:
1.收到细胞后,若发现干冰已挥发干净、冻存管瓶盖脱落、破损及细胞有污染,请立即与我们系。
2.收到细胞先不开瓶盖,瓶身擦拭酒精后放在培养箱静置2-4小时(视细胞密度而定)稳定细胞状态。接着在倒置显微镜下观察细胞生长情况,并对细胞进行不同倍数拍照(建议收细胞时就整体外观拍一张照片,观察培养基的颜色和是否有漏液情况,随后在显微镜下拍下细胞状态,100*,200*各一张),观察记录细胞在运输过程中是否有污染情况。作为我方进行销售依据。
3.由于细胞状态受环境、操作和运输等多方面因素影响,故本公司只保证客户收到细胞后一周内的细胞状态,故客户需要售后时需出示收到细胞的时间证明及客户提供收货时间和发现问题后客服人员沟通的时间证明,期间间隔时间不能大于7天。
4.所有动物细胞均视为有潜在的生物危害性,必须在二级生物安全台内操作,并请注意防护,所有废液及接触过此细胞的器皿需要灭菌后方能丢弃。
5.客户在细胞培养过程中任何问题可联系我们在线客服,我们随时给予解答。
风险提示:丁香通仅作为第三方平台,为商家信息发布提供平台空间。用户咨询产品时请注意保护个人信息及财产安全,合理判断,谨慎选购商品,商家和用户对交易行为负责。对于医疗器械类产品,请先查证核实企业经营资质和医疗器械产品注册证情况。
文献和实验zjhua 请问,找到一个基因,其蛋白定位在线粒体膜上。如果要进一步研究其功能,有哪些实验方法?谢谢了! iscience 线粒体是细胞进行呼吸的主要场所,在细胞代谢旺盛的需能部位比较集中,其主要功能是进行氧化磷酸化,合成ATP,为细胞生命活动提供直接能量. 催化三羧酸循环、氨基酸代谢、脂肪酸分解、电子传递、能量转换、DNA复制和RNA合成等过程所需要的一百多种酶和辅酶都分布在线粒体中. 这些酶和辅酶的主要功能是参加三
人脑是动物界中最高度发达的大脑,也是我们身体中最复杂的器官。由于其独特的复杂性,很难用动物系统来模拟人脑的发育。然而,人脑类器官现在已经成功地用于模拟人脑发育和疾病发生。人脑类器官培养是一项令人兴奋的新技术,科学家们基于模拟内源性发育过程,通过将多能干细胞(PSCs)进行诱导分化及自组装后,在体外重现了人类大脑发育的进程。最近的研究表明,脑类器官可以模拟神经发生的时空动态、区域神经回路的形成以及胶质细胞整合成神经网络。这一技术可以帮助我们探索大脑发育、新陈代谢机制,并进行药物功效测试
(PDLSCs) 主要应用:构建自噬双标腺病毒—mRFP-GFP-LC3腺病毒,检测炎症条件下的牙周膜干细胞(I-PDLSCs)成骨化障碍过程中自噬流的变化情况。研究表明,I-PDLSCs自噬-溶酶体系统被抑制,而金纳米颗粒(Au NP)能再激活自噬流,进而抵抗炎症对PDLSCs的成骨化抑制。 Figure 3 I-PDLSCs在成骨诱导早期自噬流降低 Figure 7 Au NP处理促进了I-PDLSCs的自噬和自噬流 案例三 客户单位:复旦大学附属眼耳鼻喉科医院 文章标题
技术资料暂无技术资料 索取技术资料










