万千商家帮你免费找货
0 人在求购买到急需产品
- 详细信息
- 文献和实验
- 技术资料
- 供应商:
上海联祖
- 库存:
56
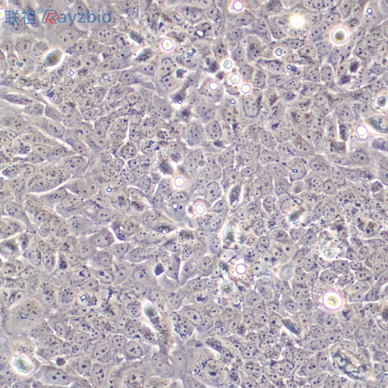
- 英文名:
GI-1
- 生长状态:
贴壁生长
- 是否是肿瘤细胞:
否
- 细胞形态:
上皮样
- 规格:
T25培养瓶
| 细胞名称 | GI-1细胞 |
| 货号 | LZ-X968766 |
| 规格 | 1×10⁶/T25培养瓶 |
| 形态特征 | 上皮样 |
| 生长特性 | 贴壁生长 |
| 完全培养基 | DMEM+10%FBS |
| 培养条件 | 温度:37℃ |
| 传代方法 | 1:2传代 |
| 特征特性 |
公司正在出售的产品:
| PrimaCell™大鼠支气管平滑肌细胞试剂盒 | IL13RA2 Others Human 人 IL13RA2 / IL13R 人细胞裂解液 (阳性对照) 7778-80-5钾potewwium sulfate;Tartarus vitriolatus;Salt of leMery |
| PrimaCell™大鼠膀胱成纤维细胞试剂盒 | Bel-7402细胞,人肝癌细胞 人胚纤维细胞系,HEF细胞 大鼠纤维母细胞;1/EJ 1-1N-乙酰-L-色氨酸乙酯Ac-Trp-Oet质量规格:HPLC>98%,BR |
| 人结直肠癌细胞;T84N-芴甲氧羰酰基-L-本酸NA | FGF21 Others Mouse 小鼠 FGF21 / Fibroblast Growth Factor 21 人细胞裂解液 (阳性对照) 酰炳同 ChroMiuM(III) ccqtylccqtonctq 1679-31- |
| 大鼠胰腺上皮细胞【Rat Pancreas:Pancreatic Epithelial Cells 】 | L6565小鼠白血病克隆细胞系 L6565 murine leukemia cell line RPMI-1640(GIBCO)+10%FBS直接蓝71(≥50%,BR)质量规格:≥50%,BRDirect blue 71 |
| PDE4B Others Human 人 PDE4B / DPDE4 杆状病毒-昆虫细胞裂解液 (阳性对照) 倍他米 21-醋酸盐Betamethasone 21-acetate | 鲤鱼尾鳍细胞;YZ16镨标准溶液(1000μg/ml)Praseodymium standard质量规格:1000μg/ml |
| 小鼠腹腔巨噬细胞【Mouse Peritoneal:Peritoneal Macrophages】 | CL-0066COLO 205(人结肠癌细胞)5×106cells/瓶×2隐丹参酮(标准品)质量规格:HPLC≥98%,标准品Cryptotanshinone |
| CTSE Others Mouse 小鼠 CTSE / Cathepsin-E 人细胞裂解液 (阳性对照) CBZ-硫苯基-L-半胱... N-Z-S-phenyl-L-cysteine,97% 159453-24-4 1G 通用试剂 | 人羊膜上皮细胞 Human5- 羧基荧光素二乙酸酯;5-CFDA5-Carboxyfluorescein diacetate质量规格:0.95 |
| 大鼠输尿管上皮细胞【Rat Ureter:Normal Ureter Epithelial Cells】 | HK-2, 人肾皮质近曲小管上皮细胞西洛他唑-d11Cilostazol-d11 |
| CL-0393NCI-H209(人小细胞肺癌细胞)5×106cells/瓶×2HISTOCHOICETISSUEFIXATIVEWITHOUTALCOHOL组织固定剂组织学级微黄无混浊液体RTsigma | CD14 Others Mouse 小鼠 CD14 人细胞裂解液 (阳性对照) 硫酸肼(标准品)Hydrazine sulfate质量规格:供TLC法系统适用性试验用 |
| PrimaCell™大鼠输尿管上皮细胞试剂盒 | ANGPT4 Others Human 人 Angiopoietin 4 / ANG4 / ANGPT4 人细胞裂解液 (阳性对照) 2-氯-4,6-二苯基-1,3,5-三嗪(>98.0%(GC))质量规格:>98.0%(GC)2-Chloro-4,6-diphenyl-1,3,5-triazine |
| tTA基因修饰的小鼠胰腺癌细胞(B类);Pan02-CAG-tTA-2D1D-基葡萄糖盐酸盐shēng huà shì jì容量:25克 | LOVO 人结肠癌细胞维达列汀;维格列汀(标准品)Vildagliptin质量规格:HPLC≥99%,标准品 |
| CV-1细胞,非洲绿猴肾细胞 HPAC(人胰腺癌细胞) CM-H010人小气道上皮细胞完全培养基100mL王不留行黄酮苷(标准品)Vaccarin质量规格:HPLC≥98%,标准品 | 人胰高血糖素样肽2酶联免疫试剂盒 |
| GI-1细胞Hepa 1-6(小鼠肝癌细胞) 5×106cells/瓶×2 CL-0458U-118 MG(人脑星形胶质母细胞瘤)5×106cells/瓶×2 人胎儿胸腺细胞株;HFT-8810 [HFT8810]地塞米,氟美(标准品)Dexamethasone质量规格:HPLC>98%,标准品 | 人皮质抑素/皮质醇稳定蛋白酶联免疫试剂盒 |
| HPMEC-c 人肺微血管内皮细胞(HPMEC) 500,000cells 脑动脉血管平滑肌细胞Many types of cells包装:5 × 105方(1ml)3-去氮腺嘌呤质量规格:美国原装进口,97%3-Deazaneplanocin A HCl salt | 人激动异构酶/细胞分裂素MB酶联免疫试剂盒 |
| 人骨骼肌卫星细胞RNAHSkMSC miRNA5 μg胰岛素(猪)INSULIN质量规格:BR,来源猪胰脏 | 人β-肌动蛋白酶联免疫试剂盒 |
注意事项:
1.收到细胞后,若发现干冰已挥发干净、冻存管瓶盖脱落、破损及细胞有污染,请立即与我们系。
2.收到细胞先不开瓶盖,瓶身擦拭酒精后放在培养箱静置2-4小时(视细胞密度而定)稳定细胞状态。接着在倒置显微镜下观察细胞生长情况,并对细胞进行不同倍数拍照(建议收细胞时就整体外观拍一张照片,观察培养基的颜色和是否有漏液情况,随后在显微镜下拍下细胞状态,100*,200*各一张),观察记录细胞在运输过程中是否有污染情况。作为我方进行销售依据。
3.由于细胞状态受环境、操作和运输等多方面因素影响,故本公司只保证客户收到细胞后一周内的细胞状态,故客户需要售后时需出示收到细胞的时间证明及客户提供收货时间和发现问题后客服人员沟通的时间证明,期间间隔时间不能大于7天。
4.所有动物细胞均视为有潜在的生物危害性,必须在二级生物安全台内操作,并请注意防护,所有废液及接触过此细胞的器皿需要灭菌后方能丢弃。
5.客户在细胞培养过程中任何问题可联系我们在线客服,我们随时给予解答。
风险提示:丁香通仅作为第三方平台,为商家信息发布提供平台空间。用户咨询产品时请注意保护个人信息及财产安全,合理判断,谨慎选购商品,商家和用户对交易行为负责。对于医疗器械类产品,请先查证核实企业经营资质和医疗器械产品注册证情况。
文献和实验Following its discovery in rat intestinal epithelial cells (1 ), the peptide YY (PYY) receptor has been characterized in the proximal tubule PKSV-PCT cell line derived from kidneys of SV40 large T antigen transgenic mice
Use of the DiscoveRx Hithunter cAMPII Assay for Direct Measurement of cAMP in Gs and Gi GPCRs
/DiscoverX Corporation for the direct quantification of cAMP levels in Gs and Gi GPCRs.
is introduced at a distinct cysteine residue at position *4 of the C-terminus (3 ,4 ). For uncoupling signal transduction this seems to be an ideal site as the C-terminus of the α-Gi proteins has been shown to be necessary for interactions with the receptor(s
技术资料暂无技术资料 索取技术资料









