万千商家帮你免费找货
0 人在求购买到急需产品
- 详细信息
- 技术资料
- 供应商:
上海联祖
- 库存:
39
- 英文名:
LCLC-97TM1
- 是否是肿瘤细胞:
否
- 规格:
T25培养瓶
| 产品名称 | 规格 | 货号 |
| LCLC-97TM1细胞 | T25瓶 | LZ-X8863 |
含量:>1x10^6 细胞数
规格:T25瓶
用途:仅供科研使用。
干冰运输及复苏好存活细胞
(1)1mL冻存管包装干冰运输,收到后-80度冰箱保存过夜后转入液氮或直接复苏,若发现干冰已挥发干净、冻存管瓶盖脱落、破损及细胞有污染,请立即与我们联系。
(2)T25瓶复苏的存活细胞常温发货,收到后按照细胞接收后的处理方法操作。
1) 收到细胞后,75%酒精消毒瓶壁将T25瓶置于37℃培养箱放置约2-3h,若发现培养瓶破损、有液溢出及细胞有污染,请拍照后及时联系我们。
2)请在4或5X显微镜下确认细胞状态,同时给刚收到的细胞拍照(10×,20×)各2-3张以及培养瓶外观照片一张留存,作为售后时收到时细胞状态的依据。
3) 悬浮细胞:T25瓶置于37℃培养箱放置约2-3h,然后抽出瓶中的培养基和细胞1000rpm离心5分钟,弃去上清重悬后接种到新的培养瓶中(加入按照说明书细胞培养条件新配制的完全培养基)。
4)备注:运输用的培养基(灌液培养基)不能再用来培养细胞,请换用按照说明书细胞培养条件新配制的完全培养基来培养细胞。 收到细胞后第一次传代建议T25培养瓶1:2传代 。 一.培养基及培养冻存条件准备:
1) 准备培养基;优质胎牛血清,10%;双抗,1%。备注:该细胞为悬浮并部分聚团生长
2) 培养条件: 气相:空气,95%;二氧化碳,5%。 温度:37摄氏度,培养箱湿度为70%-80%。
3) 冻存液:90%血清,10%DMSO,现用现配。
二. 细胞处理:
1) 冻存细胞的复苏:
将含有1mL细胞悬液的冻存管在37℃水浴中迅速摇晃解冻,加入到含4-6mL完全培养基的离心管中混合均匀。在1000RPM条件下离心3-5min,弃去上清液,完全培养基重悬细胞。然后将细胞悬液加入含6-8ml完全培养基的培养瓶(或皿)中37℃培养过夜。第二天显微镜下观察细胞生长情况和细胞密度。
2) 细胞传代:如果细胞密度达80%-90%,即可进行传代培养。
对于悬浮细胞,传代可参考以下方法:
悬浮状态下生长的细胞,可以通过向培养瓶中添加完全培养基来维持细胞的生长状态,一般情况下细胞密度维持在1×105~1×10^6个/mL(不同细胞对密度要求不同,)可以维持细胞的正常生长。如需分瓶可以将细胞悬液收集到离心管中1000rpm,离心5min,弃去上清,补加1-2mL培养液后重悬混匀后将细胞悬液按1:2的比例分到新T25瓶中,添加6-8ml按照说明书要求配置的新的完全培养基以保持细胞的生长活力,后续传代根据实际情况按1:2~1:5的比例进行。
3) 细胞冻存: 收到细胞后建议在培养前3代时冻存一批细胞种子以备后续实验使用。
下面T25瓶为例;
1. 细胞冻存时按照细胞传代的过程收集消化好的细胞到离心管中,可使用血球计数板计数,来决定细胞的冻存密度。一般细胞的推荐冻存密度为1×10^6~1×107个活细胞/ml.
2. 1000rpm离心3-5min,去掉上清。用配制好的细胞冻存液重悬细胞 ,按每1ml冻存液含1×10^6~1×107个活细胞/ml分配到一个冻存管中将细胞分配到冻存管中,标注好名称、代数、日期等信息。
3. 将要冻存的细胞置于程序降温盒中,-80度冰箱中过夜,之后转入液氮容器中储存。同时记录好冻存管在液氮容器中的位置以便后续查阅和使用。
| PrimaCell™人内皮祖细胞试剂盒 | PVRL1 Others Rat 大鼠 CD111 / Nectin-1 / PVRL1 人细胞裂解液 (阳性对照) N-去甲基加兰他敏N-Desmethyl Galanthamine |
| PrimaCell™人肝星状细胞试剂盒 | 人鼻咽癌细胞;CNE-2ZS-2-羟基戊二酸(2S)-2-Hydroxyglutaric Acid 质量规格:美国原装进口,95% |
| 人毛细胞总RNAHHDPC NA3615-37-0D(+)-海藻糖;D(+)-蕈糖;蕈糖;漏芦糖;α-D-葡糖苷基-α-D-葡糖苷D(+)-Trehalose;α,α-Trehalose;Natural trehalose;(α-D-Glucosido)-α-D-glucoside;α-D-Glucopyranosyl-α-D-glucopyranoside | 人喉癌上皮细胞;Hep-2 大鼠食管平滑肌细胞完全培养基 100mL2-录-6-基苄安, 97% 2-CHLORO-6-MqTHYLBqNZYLcMINq 2764-46-7 |
| 小鼠肾足突细胞【Mouse Kidney: Kidney Podocytes】 | CD14 Others Cynomolgus 食蟹猴 CD14 人细胞裂解液 (阳性对照) 胃膜素,胃粘蛋白,人胃泌素质量规格:>98%,BRGastrin I,human |
| 小鼠腹水瘤细胞;S-180ZSTK474质量规格:>98%,I型PI3K亚型抑制剂ZSTK474;ZSTK-474 | IGFBP7 Protein Human 重组人 IGFBP7 / IBP-7 蛋白 (Fc 标签)环吡酮;环匹罗司(标准品)Ciclopirox质量规格:HPLC>99%,标准品 |
| 小鼠嗅鞘组织提取物【Brain: Normal Mouse Olfactory Bulb Ensheathing Derivatives】 | Hepa 1-6细胞,肝癌细胞 人结直肠癌细胞,HCT116细胞 CM-H012人支气管平滑肌细胞完全培养基100mL青蒿琥酯质量规格:HPLC≥98%,BRArtesunate |
| CM-R024大鼠成纤维细胞完全培养基100mL芴甲氧羰基-L-天冬... Fmoc-Asp(OtBu)-OH (HPLC,≥98.0%) 71989-14-5 5G 通用试剂 | BSG Others Human 人 CD147 / EMMPRIN / Basigin 人细胞裂解液 (阳性对照) 咖啡酸(标准品)Caffeic acid质量规格:HPLC≥99%,标准品 |
| 人骨骼肌卫星细胞【Human Shoulder Strap Bone: Human Skeletal Satellite Cells】 | 大鼠雪旺细胞;RSC96 横纹肌瘤细胞,A-673细胞 SNL细胞,稳定转染了neor和LIF基因的STO细胞株亚碲酸钾(>98%,BR)质量规格:>98%,BRPotassium tellurite |
| Promocell C-20111 Keratinocyte GrowthMedium 2 KIT, 角质细胞生长培养基2型套装 500ml,丙硫氧嘧啶(标准品)质量规格:含量测定Propylthiouracil | BPH-1, 人前列腺增生细胞盐酸萘替芬(标准品)Naftifine Hydrochloride质量规格:含量测定 |
| PrimaCell™人视网膜色素上皮细胞试剂盒 | SEMA4D Others Cynomolgus 食蟹猴 Semaphorin 4D / SEMA4D / CD100 人细胞裂解液 (阳性对照) (R)-盐酸乐卡地平(R)-Lercanidipine Hydrochloride |
| EFNA2 Protein Mouse 重组小鼠 Ephrin-A2 / EFNA2 蛋白聚(丁二酸)酯50克RT | HNE2, 人鼻咽癌细胞系吉托皂苷元(标准品)Gitogenin质量规格:HPLC≥98%,标准品 |
| Bowes Melanoma细胞,色素瘤细胞 人原髓细胞白血病细胞,AL7P/HL-60R细胞 人结直肠腺癌细胞;HT-29十三烷(Standard for GC,>99%(GC))Tridecane质量规格:Standard for GC,>99%(GC) | 人载脂蛋白H酶联免疫试剂盒 |
| LCLC-97TM1细胞肝动脉平滑肌细胞Many types of cells包装:5 × 105方(1ml)1,6-二氨基芘(>98.0%(HPLC)(N))1,6-Diaminopyrene质量规格:>98.0%(HPLC)(N) | 人肉瘤抗原1酶联免疫试剂盒 |
| Y1细胞,肾上腺皮质细胞 人胰腺癌细胞,MIApaca-2细胞 CM-M008小鼠支气管成纤维细胞完全培养基100mL369-07-32-硝基本-β-D-半乳糖苷(+4°C)2-nitnopxenyl-beta-D-galactopyranoside | 人军团菌抗体IgA酶联免疫试剂盒 |
| 人脂肪间充质干细胞(脂肪)(HMSC-ad)(5×105)17α-羟基1醇酮17α-Hydroxypregnenolone质量规格:>96%,美国进口 | 人白介素8酶联免疫试剂盒 |
风险提示:丁香通仅作为第三方平台,为商家信息发布提供平台空间。用户咨询产品时请注意保护个人信息及财产安全,合理判断,谨慎选购商品,商家和用户对交易行为负责。对于医疗器械类产品,请先查证核实企业经营资质和医疗器械产品注册证情况。
技术资料暂无技术资料 索取技术资料
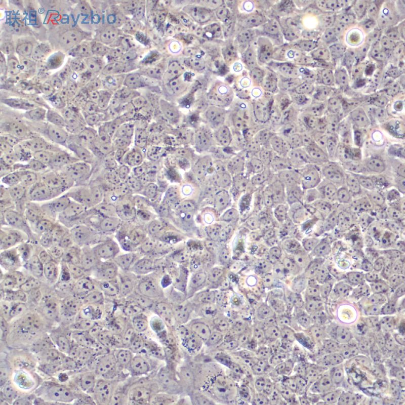
LCLC-97TM1细胞
¥800 - 4000









