万千商家帮你免费找货
0 人在求购买到急需产品
- 详细信息
- 文献和实验
- 技术资料
- 供应商:
上海联祖
- 库存:
38
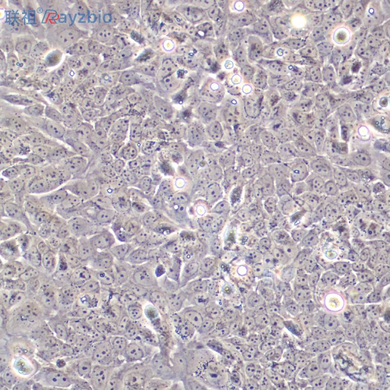
- 英文名:
Panc 08.13
- 生长状态:
贴壁生长
- 器官来源:
85 岁 白色男性 胰腺癌
- 是否是肿瘤细胞:
否
- 细胞形态:
上皮样细胞
- 规格:
T25培养瓶
| 细胞名称 | Panc 08.13细胞 |
| 货号 | LZ-X8992 |
| 规格 | 1×10⁶/T25培养瓶 |
| 形态特征 | 上皮样细胞 |
| 生长特性 | 贴壁生长 |
| 完全培养基 | |
| 培养条件 | 温度:37℃ |
| 传代方法 | |
| 特征特性 | Panc 08.13 是一种上皮细胞系,于 1995 年从一位 85 岁的白色男性患有胰腺癌的胰腺头部切除的原发性肿瘤中提取胰腺中分离出来。该细胞系由 EM Jaffee 保藏,可用于癌症研究。该细胞系在密码子 12 处表现出 K-ras 致癌基因突变,其中 GGT --> GAT 突变导致天冬氨酸取代甘氨酸。 |
公司正在出售的产品:
| PrimaCell™人少突胶质细胞试剂盒 | 上皮细胞cDNAHMEpiC cDNA达沙替尼羧酸Dasatinib Carboxylic Acid |
| PrimaCell™人肝实质细胞试剂盒 | RSC, 大鼠雪旺细胞 NCYC 234[IPAZSC 148]细胞 COS-7(SV40 转化的非洲绿猴肾细胞)大豆分离蛋白Soy protein isolate质量规格:蛋白含量≥90%,BR |
| IL22RA2 Others Human 人 IL22BP / IL22RA2 人细胞裂解液 (阳性对照) 环腺苷酸,英文名或英文缩写:CAMP,级别:试剂级,98.5%,规格:1克 | 5637, 人膀胱癌细胞甲,英文名或英文缩写:MTES,级别:AR,97%,规格:20preps |
| 小鼠肾小管上皮细胞【Mouse Tubular: Normal Tubular Epithelial Cells】 | CM-R089大鼠皮肤肥大细胞完全培养基100mL伐地考昔质量规格:>99%,BRValdecoxib |
| RPRD1B Others Human 人 RPRD1B 人细胞裂解液 (阳性对照) 马来酸阿森那平质量规格:>99%Asenapine Maleate | BRL大鼠肝细胞 Rat hepatic cells BRL DMEM+10%FBS环吡酮;环匹罗司Ciclopirox质量规格:>99%,BR |
| 小鼠脑动脉血管组织提取物【Brain: Normal Mouse Aortic Derivatives】 | EB病毒转化的人B细胞(傣族);KM9405青蒿琥酯(标准品)质量规格:HPLC≥99%,含量测定Artesunate |
| 人脂肪间充质干细胞(脂肪)(HMSC-ad)(5×105)L-谷酸,英文名或英文缩写:H-Glu(OMe)-OMe.HCl,级别:特,98.0%,规格:5克 | 大鼠肾上腺嗜铬细胞瘤细胞;PC-12 [PC12]咖啡酸Caffeic acid质量规格:≥99.0%,BR |
| 人滑膜细胞【Human Bone: Synovial cells】 | 人胚胎肠粘膜组织来源细胞;CCC-HIE-21酸钾一水(>98%,BR)质量规格:>98%,BRPotassium tartrate, hydrate |
| Lncap clone FGC(人前列腺癌细胞) 5×106cells/瓶×25-羧基-X-罗丹明质量规格:>97%5-Carboxy-X- rhodamine; 5-ROX | 猪肾细胞;PK-15香蜂草苷(标准品)Isosakuranetin 7-O-rutinoside质量规格:HPLC≥98%,标准品 |
| PrimaCell™人扁桃体成纤维细胞试剂盒 | 原代神经元细胞特制基础无血清培养基Many types of cells包装:500/100ml去甲基雷诺嗪β-D-葡萄糖苷酸Desmethyl Ranolazine β-D-Glucuronide |
| TNFRSF17 Others Mouse 小鼠 BCMA / TNFRSF17 人细胞裂解液 (阳性对照) DNAMarkerⅢ,High 10ug Gibco分装 | 猴脉络膜-视网膜(内皮)细胞;RF/6AL-细辛脂素(标准品)L-Asarinin质量规格:HPLC≥98%,标准品 |
| CL-0245Y1(Y-1) (小鼠肾上腺皮质细胞)5×106cells/瓶×21酸三乙酯(TEP)(Standard for GC,>99.7%(GC))Triethyl phosphate质量规格:Standard for GC,>99.7%(GC) | 人载脂蛋白L1酶联免疫试剂盒 |
| Panc 08.13细胞TGFBI Others Human 人 BIGH3 / BIG-H3 / TGFBI 人细胞裂解液 (阳性对照) 4-溴芘(>95.0%(GC))4-Bromopyrene质量规格:>95.0%(GC) | 人乳过氧化物酶酶联免疫试剂盒 |
| 兔角膜后基质层成纤维细胞;RCBBF酸性绿O,英文名或英文缩写:Naphthol green B,级别:AR,98%,规格:25克 | 人军团菌抗体IgG酶联免疫试剂盒 |
| 人红系白血病细胞;TF-1亮菌甲素Armillarisin A质量规格:TLC鉴别 | 人白介素8酶联免疫试剂盒 |
注意事项:
1.收到细胞后,若发现干冰已挥发干净、冻存管瓶盖脱落、破损及细胞有污染,请立即与我们联系。
2.收到细胞先不开瓶盖,瓶身擦拭酒精后放在培养箱静置2-4小时(视细胞密度而定)稳定细胞状态。接着在倒置显微镜下观察细胞生长情况,并对细胞进行不同倍数拍照(建议收细胞时就整体外观拍一张照片,观察培养基的颜色和是否有漏液情况,随后在显微镜下拍下细胞状态,100*,200*各一张),观察记录细胞在运输过程中是否有污染情况。作为我方进行销售依据。
3.由于细胞状态受环境、操作和运输等多方面因素影响,故本公司只保证客户收到细胞后一周内的细胞状态,故客户需要售后时需出示收到细胞的时间证明及客户提供收货时间和发现问题后客服人员沟通的时间证明,期间间隔时间不能大于7天。
4.所有动物细胞均视为有潜在的生物危害性,必须在二级生物安全台内操作,并请注意防护,所有废液及接触过此细胞的器皿需要灭菌后方能丢弃。
5.客户在细胞培养过程中任何问题可联系我们在线客服,我们随时给予解答。
风险提示:丁香通仅作为第三方平台,为商家信息发布提供平台空间。用户咨询产品时请注意保护个人信息及财产安全,合理判断,谨慎选购商品,商家和用户对交易行为负责。对于医疗器械类产品,请先查证核实企业经营资质和医疗器械产品注册证情况。
文献和实验白细胞介素 IL-13 IL 13主要产生细胞:活化T细胞、肥大细胞、B细胞 IL 13氨基酸数目:112 IL 13分子质量(kDa):17 IL 13受体:1L-13R; CDl32(7c) IL 13主要生物学活性:刺激B细胞增殖和分化,促进IgE转换,抑制单核/巨噬细胞促炎因子产生
人白细胞介素 -1 3( IL-1 3) 酶联免疫 分析( ELISA ) 试剂 盒使用说明书 本试剂仅供研究使用 目的:本试剂盒用于测定人血清,血浆及相关液体样本中 白细胞介素13(IL-13)的 含量。 实验原理 : 本试剂盒应用 双抗体 夹心法测定 标本 中 人白细胞介素 -1 3( IL-1 3) 水平。用纯化的 人白细胞介素 -1 3( IL-1 3)抗体 包被微孔板,制成固相 抗 体,往包被 单抗
实验13 红细胞沉降率的测定 【目的要求】 学习测定红细胞沉降率的方法。 【基本原理】 血液加抗凝剂后,吸入一血沉降管内,静置一小时后,观察红细胞下沉的mm数,称为红细胞沉降率。它是以血浆层的高度来决定,血浆层越高,表示沉降率越快。红细胞沉降率的正常标准,随测定方法而异。如成年人血液的正常沉降率,韦(Westergren)氏法:男0—15mm/h、女0—20mm/h;潘(Паиче
技术资料暂无技术资料 索取技术资料










