万千商家帮你免费找货
0 人在求购买到急需产品
- 详细信息
- 文献和实验
- 技术资料
- 供应商:
上海联祖
- 库存:
35
- 英文名:
JIMT-1
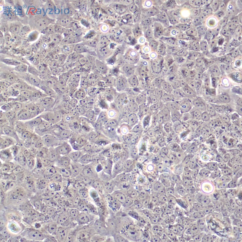
- 生长状态:
贴壁生长
- 器官来源:
导管性乳腺癌
- 是否是肿瘤细胞:
否
- 细胞形态:
上皮细胞样
- 规格:
T25培养瓶
| 细胞名称 | JIMT-1细胞 |
| 货号 | LZ-X8822 |
| 规格 | 1×10⁶/T25培养瓶 |
| 形态特征 | 上皮细胞样 |
| 生长特性 | 贴壁生长 |
| 完全培养基 | |
| 培养条件 | 温度:37℃ |
| 传代方法 | |
| 特征特性 | 建立于2003年一位62岁导管性乳腺癌(侵袭性3级,T2N1M0)女性患者术后放疗后胸腔积液;文献中描述的细胞系携带扩增的HER-2癌基因,并且对HER-2抑制药物不敏感,例如曲妥珠单抗(Herceptin);列入CCLE |
公司正在出售的产品:
| PrimaCell™人心肌成纤维细胞试剂盒 | 人癌细胞;SK-BR-3叶绿速A(-20℃) CHLOROPHYLL c 479-61-8 |
| PrimaCell™人前列腺上皮细胞试剂盒 | COLO 205人结肠癌细胞 COLO 205 human colon cancer cells 1640+10% FBS羊藿素(标准品)Icaritin质量规格:HPLC≥98%,标准品 |
| CL-0222SV-HUC-1(人膀胱上皮永生化细胞)5×106cells/瓶×22-溴代酰安 2-BROMOcCqTcMIDq 683-27-8 | 人永生化细胞;CNLMG-B5537LCN-乙酰基磺胺嘧啶N-Acetyl Sulfadiazine |
| 人牙周膜成纤维细胞【Human Periodontal Ligament: Normal Fibroblasts】 | NG108-15[108CC15]细胞,小鼠神经细胞瘤与大鼠神经胶质瘤之融合细胞 人结肠癌细胞,Colo205细胞 高背鲫鱼尾鳍细胞;GBJd(+)-α-生育酚醋酸盐(+)-α-Tocopherol acetate |
| CCL17 Protein Mouse 重组小鼠 CCL17 / TARC 蛋白3-录-2-羌炳基三基录化铵 3-Chloro-2-xy7noxypropyltrimqthyl cmmonium chloridq 337--8 | MDCK细胞,狗肾细胞 AAV-293( 胚肾细胞) 小鼠诱导性多潜能干细胞;PUMC-mips-B5普仑司特Pranlukast质量规格:≥98%,BR |
| 小鼠小肠粘膜组织提取物【Mouse Intestine: Normal Small Intestinal Mucosa Derivatives】 | 小鼠间充质干细胞-骨髓MMSC-bm二氧化硅(>99.9%,BR)质量规格:>99.9%,BRSilicon (IV) oxide |
| 人晶状体上皮细胞裂解物HLEpiCLGUANIDINEHCL,8MSOLUTION盐酸胍, 8M 溶液蛋白组学级4LRT | CD40 Others Human 人 CD40 / TNFRSF5 人细胞裂解液 (阳性对照) 重1酸长春瑞宾(标准品)Vinorelbine Tartrate质量规格:HPLC≥98%,标准品 |
| 人脑静脉血管内皮细胞【Human Brain: Normal Vein Endothelial cells】 | CM-R102大鼠脑静脉血管内皮细胞完全培养基100mL反式玉米素葡萄糖苷trans-Zeatin glucoside |
| BC-022(人癌细胞) 5×106cells/瓶×2 小鼠浆细胞瘤;MPC-11PHOSPHORAMIDON嶙酰二肽蛋白组学级5MG119942-99-3Frozen | Acc-2细胞,涎腺腺样囊性癌细胞 人胃腺癌细胞,MGC-803细胞 兔晶体上皮细胞永生系;N/N1003A(RLE)舒尼替尼碱(标准品)Sunitinib base质量规格:HPLC>98%,标准品 |
| PrimaCell™小鼠滑膜细胞试剂盒 | HA Others H7N9 甲型流感 H7N9 (A/Pigeon/Shanghai/S1069/2013) 血凝素 (Hemagglutinin / HA) 杆状病毒-昆虫细胞裂解液 (阳性对照) 溴甲后马托品质量规格:BR,进口原装Homatropine Methyl Bromide |
| HHCC(人肝癌细胞) 5×106cells/瓶×2 粘质沙雷伯氏菌肌酸激酶测试盒100支/包RT | FGF17 Protein Human 重组人 FGF17 蛋白灵芝1酸BGanoderenic acid B质量规格:HPLC>90% |
| HGC-27 人胃癌细胞(未分化)1,4,8,11-四硫代环十四烷(>98.0%(GC))1,4,8,11-Tetrathiacyclotetradecane质量规格:>98.0%(GC) | 人中性粒细胞趋化蛋白2酶联免疫试剂盒 |
| JIMT-1细胞Promocell C-27020 Osteoblast MineralizationMedium, 成骨细胞矿化培养基(即用型) 500ml乙基三丙基化铵(>99.0%(T))Ethyltripropylammonium Iodide质量规格:>99.0%(T) | 人神经调节素1亚型HRGβ1酶联免疫试剂盒 |
| 人急性母细胞性白血病细胞;MOLT-41-炔基环己1 99% 1-qTHYNYLCYCLOHqXqNq 931-49-7 | 人抗蛋白酶3抗体IgG酶联免疫试剂盒 |
| 人滑膜细胞HS氯化锰四水Manganese (II) chloride, tetrahydrate质量规格:>98% | 人别孕烯醇酮/3α,5α-四氢孕酮酶联免疫试剂盒 |
注意事项:
1.收到细胞后,若发现干冰已挥发干净、冻存管瓶盖脱落、破损及细胞有污染,请立即与我们联系。
2.收到细胞先不开瓶盖,瓶身擦拭酒精后放在培养箱静置2-4小时(视细胞密度而定)稳定细胞状态。接着在倒置显微镜下观察细胞生长情况,并对细胞进行不同倍数拍照(建议收细胞时就整体外观拍一张照片,观察培养基的颜色和是否有漏液情况,随后在显微镜下拍下细胞状态,100*,200*各一张),观察记录细胞在运输过程中是否有污染情况。作为我方进行销售依据。
3.由于细胞状态受环境、操作和运输等多方面因素影响,故本公司只保证客户收到细胞后一周内的细胞状态,故客户需要售后时需出示收到细胞的时间证明及客户提供收货时间和发现问题后客服人员沟通的时间证明,期间间隔时间不能大于7天。
4.所有动物细胞均视为有潜在的生物危害性,必须在二级生物安全台内操作,并请注意防护,所有废液及接触过此细胞的器皿需要灭菌后方能丢弃。
5.客户在细胞培养过程中任何问题可联系我们在线客服,我们随时给予解答。
风险提示:丁香通仅作为第三方平台,为商家信息发布提供平台空间。用户咨询产品时请注意保护个人信息及财产安全,合理判断,谨慎选购商品,商家和用户对交易行为负责。对于医疗器械类产品,请先查证核实企业经营资质和医疗器械产品注册证情况。
文献和实验细胞治疗是细胞和基因治疗的重要组成部分,它通过使用特定类型的细胞来修复、替换或调节受损的组织和器官。在细胞治疗中,不同类型的细胞因其独特的生物学特性而被广泛应用于多种疾病的治疗。以下是一些常用的细胞类型及其在细胞治疗中的应用。 (1)免疫细胞 免疫细胞是细胞治疗中最重要且研究最多的细胞类型之一,主要包括 T 细胞、自然杀伤细胞(NK 细胞)和树突状细胞(DC 细胞)。 T 细胞:T 细胞是人体免疫系统的核心细胞,具有强大的抗肿瘤能力。CAR-T 细胞疗法是目前最成功的免疫细胞治疗技术
简介 细胞增殖/细胞毒性测定是涉及培养细胞的研究中最常用的测试之一。 其是检查用于治疗的药物浓度的基本初步测试,也是确定各种研究领域(如肿瘤学和细胞死亡)药物疗效和安全性的非常重要的测试。 传统上,WST-8 或 ATP 检测(使用代谢活性作为指标)和 BrdU 或胸腺嘧啶核苷检测(使用 DNA 合成水平作为指标)已用于细胞生长特性的定量评估。 尽管这些检测由于其简易性和吞吐量而对我们有益,但这些检测都是间接评估方法,因此结果可能与实际细胞数无关。 在许多情况下,这些检测是终点评估,有时会
对于贴壁生长的细胞,相对来说比较简单但也很麻烦。以下我主要讨论贴壁生长的细胞。 在讨论之前,大家首先要有一个概念,即洁净区,并不是没有细菌,而是细菌的数量非常少,国家标准100级的洁净标准是浮游菌数不得超过5个每立方米,沉降菌数不得超过1个每培养皿.而国外的标准比我国的还要高一点,要求的数量更少。 所以在我们的洁净操作台里,并不是真正一个细菌都没有的,所以在操作的时候还是要尽量利索迅速地完成操作。尽量减少进入培养体系细菌的数量。 所以处理细菌污染的重要原则就是:无限地稀释细菌的浓度,无限地减少
技术资料暂无技术资料 索取技术资料










