万千商家帮你免费找货
0 人在求购买到急需产品
- 详细信息
- 技术资料
- 供应商:
上海联祖
- 库存:
37
- 英文名:
JHH-5
- 是否是肿瘤细胞:
否
- 规格:
T25培养瓶
| 产品名称 | 规格 | 货号 |
| JHH-5细胞 | T25瓶 | LZ-X8820 |
含量:>1x10^6 细胞数
规格:T25瓶
用途:仅供科研使用。
干冰运输及复苏好存活细胞
(1)1mL冻存管包装干冰运输,收到后-80度冰箱保存过夜后转入液氮或直接复苏,若发现干冰已挥发干净、冻存管瓶盖脱落、破损及细胞有污染,请立即与我们联系。
(2)T25瓶复苏的存活细胞常温发货,收到后按照细胞接收后的处理方法操作。
1) 收到细胞后,75%酒精消毒瓶壁将T25瓶置于37℃培养箱放置约2-3h,若发现培养瓶破损、有液溢出及细胞有污染,请拍照后及时联系我们。
2)请在4或5X显微镜下确认细胞状态,同时给刚收到的细胞拍照(10×,20×)各2-3张以及培养瓶外观照片一张留存,作为售后时收到时细胞状态的依据。
3) 悬浮细胞:T25瓶置于37℃培养箱放置约2-3h,然后抽出瓶中的培养基和细胞1000rpm离心5分钟,弃去上清重悬后接种到新的培养瓶中(加入按照说明书细胞培养条件新配制的完全培养基)。
4)备注:运输用的培养基(灌液培养基)不能再用来培养细胞,请换用按照说明书细胞培养条件新配制的完全培养基来培养细胞。 收到细胞后第一次传代建议T25培养瓶1:2传代 。 一.培养基及培养冻存条件准备:
1) 准备培养基;优质胎牛血清,10%;双抗,1%。备注:该细胞为悬浮并部分聚团生长
2) 培养条件: 气相:空气,95%;二氧化碳,5%。 温度:37摄氏度,培养箱湿度为70%-80%。
3) 冻存液:90%血清,10%DMSO,现用现配。
二. 细胞处理:
1) 冻存细胞的复苏:
将含有1mL细胞悬液的冻存管在37℃水浴中迅速摇晃解冻,加入到含4-6mL完全培养基的离心管中混合均匀。在1000RPM条件下离心3-5min,弃去上清液,完全培养基重悬细胞。然后将细胞悬液加入含6-8ml完全培养基的培养瓶(或皿)中37℃培养过夜。第二天显微镜下观察细胞生长情况和细胞密度。
2) 细胞传代:如果细胞密度达80%-90%,即可进行传代培养。
对于悬浮细胞,传代可参考以下方法:
悬浮状态下生长的细胞,可以通过向培养瓶中添加完全培养基来维持细胞的生长状态,一般情况下细胞密度维持在1×105~1×10^6个/mL(不同细胞对密度要求不同,)可以维持细胞的正常生长。如需分瓶可以将细胞悬液收集到离心管中1000rpm,离心5min,弃去上清,补加1-2mL培养液后重悬混匀后将细胞悬液按1:2的比例分到新T25瓶中,添加6-8ml按照说明书要求配置的新的完全培养基以保持细胞的生长活力,后续传代根据实际情况按1:2~1:5的比例进行。
3) 细胞冻存: 收到细胞后建议在培养前3代时冻存一批细胞种子以备后续实验使用。
下面T25瓶为例;
1. 细胞冻存时按照细胞传代的过程收集消化好的细胞到离心管中,可使用血球计数板计数,来决定细胞的冻存密度。一般细胞的推荐冻存密度为1×10^6~1×107个活细胞/ml.
2. 1000rpm离心3-5min,去掉上清。用配制好的细胞冻存液重悬细胞 ,按每1ml冻存液含1×10^6~1×107个活细胞/ml分配到一个冻存管中将细胞分配到冻存管中,标注好名称、代数、日期等信息。
3. 将要冻存的细胞置于程序降温盒中,-80度冰箱中过夜,之后转入液氮容器中储存。同时记录好冻存管在液氮容器中的位置以便后续查阅和使用。
| MRC-5人胚肺成纤维细胞 | EFNB2 Protein Canine 重组狗 Ephrin-B2 / EFNB2 蛋白 (His 标签)4298-52-62-乙炔2-Ethynylthiopxene |
| HK-2人肾皮质近曲小管上皮细胞 | NCI-H446 人小细胞肺癌细胞β-NADH;还原性辅酶I二钠盐β-NADH.hydrate质量规格:>90%,罗氏分包 |
| 人胚肺成纤维细胞;HFL-I1820-80-03-基吡唑3-Aminopyrazole | 615小鼠滑膜肉瘤瘤株;ZM7553-安基本硼醋言醋盐 3-cMINOPHqNYLBORONIC cCID xy7noCHLORIDq 82006-3-1 |
| 人输尿管上皮细胞【Human Ureteral: Normal Ureteral Epithelial Cells】 | ACTE1 非洲爪蟾胚胎细胞酸性红44(BS)Crystal ponceau 6R质量规格:BS |
| IL13RA2 Others Human 人 IL13RA2 / IL13R 人细胞裂解液 (阳性对照) 7778-80-5钾potewwium sulfate;Tartarus vitriolatus;Salt of leMery | 人耐VP16绒癌细胞株;JEG-3/VP166-去氧喷昔洛韦6-Deoxypenciclovir |
| 人体脂肪组织提取物【Fat: Normal Human Adipose Derivatives】 | 大鼠晶状体上皮细胞完全培养基 100mL大豆素,黄豆苷元(标准品)质量规格:HPLC>98%,分析标准品Daidzein |
| MCF-7(人癌细胞) 5×106cells/瓶×2 食蟹猴 EpCAM / OP-1 / TACSTD1 人细胞裂解液 (阳性对照) 2,5-二溴 2,5-Dibromopyridinq 64-8- | 小鼠肉瘤瘤株;S180 小鼠表皮角化细胞完全培养基 100mL枸橼酸氯米芬(标准品)Clomiphene 质量规格:含量测定 |
| 人肾MatchPair™: 肾上皮细胞和肿瘤原代细胞【Human Kidney MatchPair™: Normal Human Renal Epithelial Cells and Renal Carcinoma Cells】 | FN1 Others Human 人 Fibronectin / Fibronectin Fragme 2 人细胞裂解液 (阳性对照) 但马胶;但马树脂;达嘛脂 GuM dcMMcr;DcMMcr;DcMcr 9000-16- |
| VERO细胞衍生株;SVP偶氮脒类引发剂V50shēng huà shì jì容量:2~8℃1克 | 散鳞镜鲤尾鳍细胞;YZ21 人成纤维细胞,Hs 578Bst细胞 HO-8910PM(高转移卵巢癌细胞)D-丝氨酸甲酯盐酸盐D-Serine methyl ester hydrochloride 质量规格:>98%,BR |
| PrimaCell™小鼠肾系膜细胞试剂盒 | EPHA1 Others Mouse 小鼠 EphA1 / EPH receptor A1 人细胞裂解液 (阳性对照) 孟鲁司特1,2-二醇(非对映)Montelukast 1,2-Diol(Mixture of Diastereomers) |
| 人肾皮质上皮细胞裂解物HRCEpiCL马铃薯浸出芬,英文名或英文缩写:Potato extract,级别:超,98%,规格:25U | Caki-1(人肾透明细胞癌细胞) 5×106cells/瓶×2熊去氧胆酸(UDCA)标准品Ursodeoxycholic acid质量规格:>98%,标准品 |
| CLEC4A2 Others Rat 大鼠 CLEC4A2 / DCIR 人细胞裂解液 (阳性对照) 1酸铵(>99%,BR)L-Ammonium tartrate质量规格:>99%,BR | 人转铁蛋白受体酶联免疫试剂盒 |
| JHH-5细胞非洲绿猴肾细胞;GL-372,7-二溴-9-芴酮(>98.0%(GC))2,7-Dibromo-9-fluorenone质量规格:>98.0%(GC) | 人生长激素释放多肽酶联免疫试剂盒 |
| CL-0317AML-193(人急性单核细胞白血病单核细胞)5×106cells/瓶×25,10-二氢-5,10-二甲基吩嗪(>98.0%(GC)(N))质量规格:>98.0%(GC)(N)5,10-Dihydro-5,10-dimethylphenazine | 人抗甲型肝炎病毒抗体IgG酶联免疫试剂盒 |
| 人脂肪细胞-内脏(HPA-v)(1×106 ) MDA-MB-231(ATCC来源), 人癌细胞 Human喜树碱钠盐 Camptothecin | 人补体因子H酶联免疫试剂盒 |
风险提示:丁香通仅作为第三方平台,为商家信息发布提供平台空间。用户咨询产品时请注意保护个人信息及财产安全,合理判断,谨慎选购商品,商家和用户对交易行为负责。对于医疗器械类产品,请先查证核实企业经营资质和医疗器械产品注册证情况。
技术资料暂无技术资料 索取技术资料
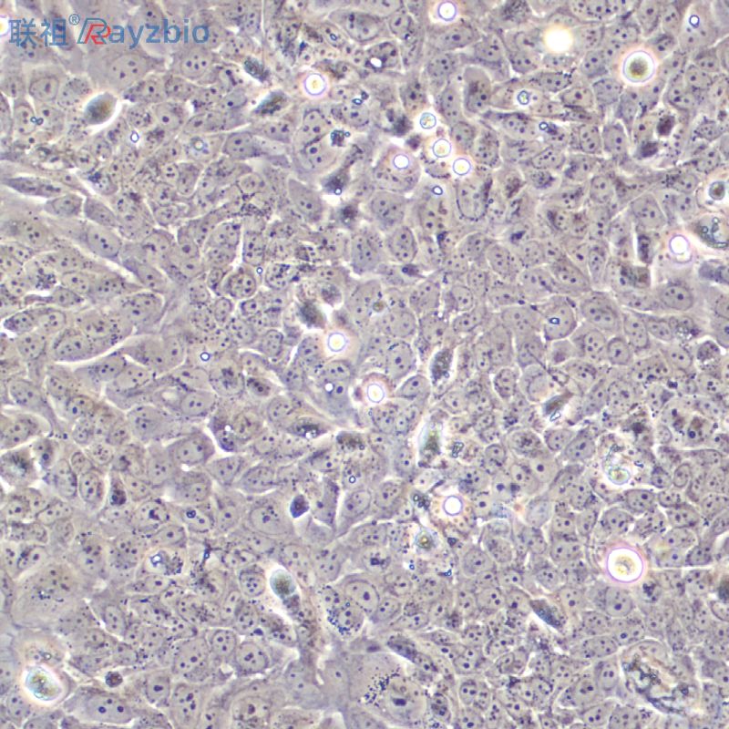
JHH-5细胞
¥800 - 4000









