相关产品推荐更多 >

Anti-rabbit IgG for IP (HRP)(RA1008)
¥2286
Alexa Fluor® 647 Rat Anti-Mouse Ly-6G/Ly-6C(Gr-1) Antibody (S-R425)【Alexa Fluor® 647大鼠抗小鼠Ly - 6G/Ly - 6C(Gr - 1)抗体(S - R425)】
询价
FN1 Antibody抗体,orb1100598,biorbyt
¥2600
INKA1 Antibody - middle region : Biotin 抗体,orb2086918,Biorbyt
¥8216
Clusterin Rabbit mAb Antibody 抗体,orb1924631,Biorbyt
¥1243
万千商家帮你免费找货
0 人在求购买到急需产品
- 详细信息
- 询价记录
- 文献和实验
- 技术资料
- 供应商:
南京诺唯赞生物科技股份有限公司
- 库存:
充足
- 规格:
100 μl
Anti-mouse IgG for IP (HRP)
摆脱IP轻重链干扰,准确捕获互作蛋白!

IP/CoIP实验

特异性好:避免IP/CoIP实验轻重链干扰

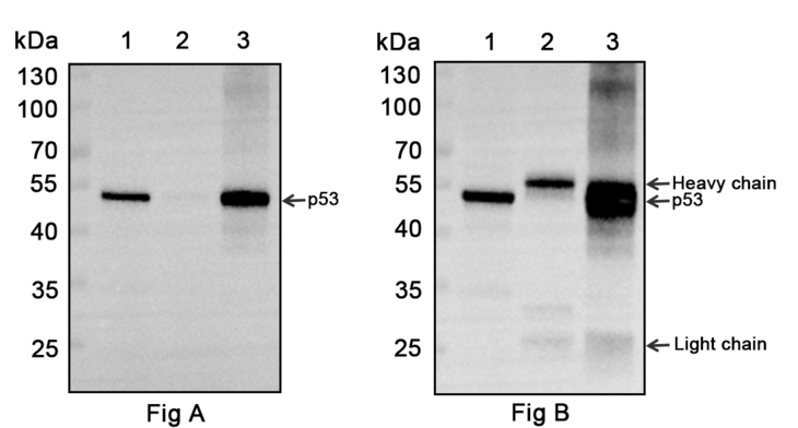
Anti-mouse IgG for IP (HRP)是一款仅与天然IgG反应,不与变性和还原鼠IgG重链或轻链结合的构象特异性二抗。相较于常规的Anti-IgG (H&L)酶标二抗,本产品在免疫沉淀(IP)后进行Western blot检测时,不识别IP抗体的重链(55 kDa)和轻链(25 kDa),特异性更好,便于靶蛋白的检测。

特异性好:RA1009能有效解决IP/CoIP实验轻重链干扰问题
使用p53 Mouse mAb (泳道3)免疫沉淀293F细胞的p53。泳道1为 Input,泳道2为IgG。以p53 Mouse mAb作为一抗检测所有泳道, 二抗包括Anti-mouse IgG for IP (HRP) #RA1009 (Fig A)和Goat Anti-Mouse IgG H&L (HRP) (Fig B)。
使用Erk1/2 Mouse mAb (泳道2)免疫沉淀HeLa细胞的Erk1/2。泳道1为Input。以Erk1/2 Mouse mAb作为一抗检测所有泳道,二抗包括Anti-mouse IgG for IP (HRP) #RA1009 (Fig C)和Goat Anti-Mouse IgG H&L (HRP) (Fig D)。 


-30 ~ -15℃保存
风险提示:丁香通仅作为第三方平台,为商家信息发布提供平台空间。用户咨询产品时请注意保护个人信息及财产安全,合理判断,谨慎选购商品,商家和用户对交易行为负责。对于医疗器械类产品,请先查证核实企业经营资质和医疗器械产品注册证情况。
- 作者
- 内容
- 询问日期
文献和实验的,但是这结果是不是假阳性呢?还得做个阴性对照。阴性对照如何设置呢?考虑到整个实验体系会出现 beads、抗X抗体、诱饵蛋白 X、靶蛋白 Y(co-IP): 可能出现的假阳性来源 需要的阴性对照 抗 X 抗体结合非特异的蛋白 与 IP 一抗种属亚型相同的免疫球蛋白(比如,抗 X 抗体是 Mouse IgG,阴性对照可使用 Mouse 免疫球蛋白) beads 对蛋白的非特异结合* 同上,此外还可进行 Pre clear,IP 正式实验前排除非特异结合蛋白。如果使用琼脂
人抗风疹病毒IgG抗体(anti-RV IgG)酶联免疫分析(ELISA)
中依次加入抗风疹病毒 IgG 抗体( anti-RV IgG ),再与 HRP 标记的抗原结合,形成抗原 - 抗体 - 酶标抗原复合物,经过彻底洗涤后加底物 TMB 显色。 TMB 在 HRP 酶的催化下转化成蓝色,并在酸的作用下转化成最终的黄色。颜色的深浅和样品中的抗风疹病毒 IgG 抗体( anti-RV IgG )呈正相关。用酶标仪在 450nm 波长下测定吸光度( OD 值),通过标准曲线计算样品中人抗风疹病毒 IgG 抗体( anti-RV IgG )浓度。 试剂盒组成
我是用来做筛选IgG型单克隆抗体,用它做二抗,筛到的阳性克隆化和扩大培养后用SIGMA亚类试剂盒鉴定却是IgM,郁闷!!!这个试剂盒能与IGM交叉?是不是抗轻链?我这种方式不对吗?谁知道有较好的抗鼠IgG而与IgM不交叉的抗体?? 试剂盒说明书:Anti-mouse IgG-HRP Antibody FOR RESEARCH USE ONLY. NOT FOR USE IN HUMANS. R&D Systems, Inc. 1-800-343-7475 2/21/06







