相关产品推荐更多 >
万千商家帮你免费找货
0 人在求购买到急需产品
- 详细信息
- 文献和实验
- 技术资料
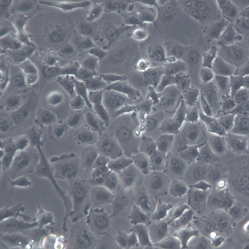
- 英文名:
NCI-H23
- 库存:
100万
- 供应商:
匹拓生物
- 肿瘤类型:
详询人员
- 细胞类型:
肿瘤细胞/正常细胞
- ATCC Number:
详询人员
- 品系:
详询人员
- 组织来源:
肺
- 相关疾病:
详询人员
- 物种来源:
人
- 免疫类型:
详询人员
- 细胞形态:
贴壁;上皮细胞样
- 是否是肿瘤细胞:
详询人员
- 器官来源:
详询人员
- 运输方式:
常温/干冰运费
- 年限:
5-10年
- 生长状态:
贴壁
- 规格:
T25培养瓶


ubMed=30894373; DOI=10.1158/0008-5472.CAN-18-2747
Dutil J., Chen Z.-H., Monteiro A.N.A., Teer J.K., Eschrich S.A.
An interactive resource to probe genetic diversity and estimated ancestry in cancer cell lines.
Cancer Res. 79:1263-1273(2019)
PubMed=31068700; DOI=10.1038/s41586-019-1186-3
Ghandi M., Huang F.W., Jane-Valbuena J., Kryukov G.V., Lo C.C., McDonald E.R. III, Barretina J.G., Gelfand E.T., Bielski C.M., Li H.-X., Hu K., Andreev-Drakhlin A.Y., Kim J., Hess J.M., Haas B.J., Aguet F., Weir B.A., Rothberg M.V., Paolella B.R., Lawrence M.S., Akbani R., Lu Y.-L., Tiv H.L., Gokhale P.C., de Weck A., Mansour A.A., Oh C., Shih J., Hadi K., Rosen Y., Bistline J., Venkatesan K., Reddy A., Sonkin D., Liu M., Lehar J., Korn J.M., Porter D.A., Jones M.D., Golji J., Caponigro G., Taylor J.E., Dunning C.M., Creech A.L., Warren A.C., McFarland J.M., Zamanighomi M., Kauffmann A., Stransky N., Imielinski M., Maruvka Y.E., Cherniack A.D., Tsherniak A., Vazquez F., Jaffe J.D., Lane A.A., Weinstock D.M., Johannessen C.M., Morrissey M.P., Stegmeier F., Schlegel R., Hahn W.C., Getz G., Mills G.B., Boehm J.S., Golub T.R., Garraway L.A., Sellers W.R.
Next-generation characterization of the Cancer Cell Line Encyclopedia.
Nature 569:503-508(2019)
风险提示:丁香通仅作为第三方平台,为商家信息发布提供平台空间。用户咨询产品时请注意保护个人信息及财产安全,合理判断,谨慎选购商品,商家和用户对交易行为负责。对于医疗器械类产品,请先查证核实企业经营资质和医疗器械产品注册证情况。
文献和实验*发表【中文论文】请标注:由上海匹拓生物科技有限公司提供; *发表【英文论文】请标注:From Shanghai Pituo Biotechnology Co., Ltd.
都是贴壁细胞,在消化传代过程中,步骤如下:倒尽旧的培养液->用无血清的培养基清洗一两次->加入一定量的胰酶,置于37度培养箱中5--10分钟,使细胞悬浮->显微镜下观察,待细胞大部分变圆时,回到超静台->加入一定量的含血清的新培养液,以终止胰酶作用->反复吹打细胞->再置显微镜下观察,直到细胞全部悬浮起来->吸出一部分加入新的培养瓶中->最后再补充加入一定量新的培养液。注意: 1、吹细胞时尽量多吹边角儿,此处细胞生长的多。2、吸出细胞前要混匀,可以剧烈震荡培养瓶。3、我们用的是DMEM
A Modified Protocol for Bisulfite Genomic Sequencing of Difficult Samples
, are RARB2 -transfectants that were established in our laboratory (21 ). MM-1 was also established in our laboratory (6 ). NCI-H23, NCI-H82, NCI-H125, NCI-H157, NCI-H520, and NCI-H596 were supplied by Dr. Adi Gazdar (NCI, NIH, Bethesda, MD). NBE-E6 E7 (22
一、实验材料NCI-H1299,购自上海晶莱生物技术有限公司。表 2.1.1 主要试剂试剂与耗材厂家(货号)细胞培养瓶FALCON 中国(353014)Penicillin/streptomycin solution(KGY002)0.25% Tripsin-EDTA(BK-E3076)PBS(BK330-2)胎牛血清GIBCO 美国(10270-106)1640 培养基Hyclone 美国(SH3080901)Annexin V-FITC/PI 凋亡试剂盒 二、实验仪器表 2.2.1 主要











