万千商家帮你免费找货
0 人在求购买到急需产品
- 详细信息
- 文献和实验
- 技术资料
- 品系:
LS513 人结直肠癌细胞
- 细胞类型:
LS513 人结直肠癌细胞
- 肿瘤类型:
LS513 人结直肠癌细胞
- 供应商:
上海晅科生物科技有限公司
- 库存:
10
- 英文名:
Human colorectal cancer cells ,LS-513
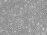
- 生长状态:
上皮样细胞,贴壁生长
- 年限:
尽快解冻复苏细胞进行培养
- 运输方式:
快递形式
- 器官来源:
LS513 人结直肠癌细胞
- 是否是肿瘤细胞:
/
- 细胞形态:
上皮样细胞,贴壁生长
- 免疫类型:
LS513 人结直肠癌细胞
- 物种来源:
LS513 人结直肠癌细胞
- 相关疾病:
LS513 人结直肠癌细胞
- 组织来源:
盲肠
- 规格:
1x10^6
LS513 人结直肠癌细胞:
细胞详述
1、您收到细胞后,请按照以下方法进行操作:
取出25cm2培养瓶,75%酒精擦拭培养瓶,拆下封口膜,放入37℃,5%CO2细胞培养箱中静置2-3小时以稳定细胞状态,然后换用新鲜完全培养液继续培养或进行传代。

2、细胞传代:
1)细胞生长至覆盖培养瓶的90%面积时,弃25cm2培养瓶中的培养液,用PBS清洗细胞一次;
2)添加0.25%胰蛋白酶消化液约1ml至培养瓶中,倒置显微镜下观察,待细胞回缩变圆后加入完全培养液终止消化,再轻轻吹打细胞使之脱落,然后将悬液转移至15ml离心管中,1500rpm离心5min;
3)弃上清,沉淀细胞用12ml完全培养基重悬,然后按1:2比例进行分瓶传代,最后放入37℃,5%CO2细胞培养箱中培养;
4)待细胞完全贴壁后,观察培养结果,之后进行换液培养或传代。


3、细胞冻存:
1)细胞生长至覆盖培养瓶的90%面积时,弃25cm2培养瓶中的培养液,用PBS清洗细胞一次;
2)添加0.25%胰蛋白酶消化液约1ml至培养瓶中,倒置显微镜下观察,待细胞回缩变圆后加入完全培养液终止消化,再轻轻吹打细胞使之脱落,然后将悬液转移至15ml离心管中,1500rpm离心5min;
3)用适量的冻存液(基础培养基:FBS:DMSO=5:4:1)重悬细胞,并放置于冻存管中;
4)先将细胞冻存管放置于-20℃ 1.5h,然后将其移入-80℃过夜,24h后转入液氮中进行长期保存。

4、细胞复苏:
1)从液氮中取出细胞冻存管(注意:佩戴防爆管面具),快速将其置入37℃水浴中解冻,直至冻存管中无结晶,然后用75%的酒精擦拭冻存管外壁;
2)将冻存管中的细胞移至含5ml完全培养基的15ml离心管中, 1500rpm离心5min;
3)弃上清,沉淀用5ml完全培养基重悬,接种25cm2培养瓶,于37℃,5%CO2细胞培养箱中培养;
4)第二天,换用新鲜完全培养基继续培养。

LS513 人结直肠癌细胞注意事项
产品使用
1)本产品仅能用于科研
2) 本产品未通过直接用于活体动物和人的审核
3)本产品未通过用于活体诊断的审核
细胞详述
LS513是一个结直肠癌细胞株,1985年从一位诊断为Dukes' C粘液分泌盲肠肿瘤的63岁白人男性患者的Bauhin阀肿瘤原位活检中建株。
细胞特性:1) 来源:盲肠
2) 形态:上皮样细胞,贴壁生长
3) 含量:>1x10^6 细胞数
4) 规格:T25瓶或者1mL冻存管包装
5) 用途:仅供科研使用。
运输和保存
干冰运输及复苏好存活细胞
(1)1mL冻存管包装干冰运输,收到后-80度冰箱保存过夜后转入液氮或直接复苏,若发现干冰已挥发干净、冻存管瓶盖脱落、破损及细胞有污染,请立即与我们联系。
(2)T25瓶复苏的存活细胞常温发货,收到后按照细胞接收后的处理方法操作。
1、您收到细胞后,请按照以下方法进行操作:
取出25cm2培养瓶,75%酒精擦拭培养瓶,拆下封口膜,放入37℃,5%CO2细胞培养箱中静置2-3小时以稳定细胞状态,然后换用新鲜完全培养液继续培养或进行传代。

2、细胞传代:
1)细胞生长至覆盖培养瓶的90%面积时,弃25cm2培养瓶中的培养液,用PBS清洗细胞一次;
2)添加0.25%胰蛋白酶消化液约1ml至培养瓶中,倒置显微镜下观察,待细胞回缩变圆后加入完全培养液终止消化,再轻轻吹打细胞使之脱落,然后将悬液转移至15ml离心管中,1500rpm离心5min;
3)弃上清,沉淀细胞用12ml完全培养基重悬,然后按1:2比例进行分瓶传代,最后放入37℃,5%CO2细胞培养箱中培养;
4)待细胞完全贴壁后,观察培养结果,之后进行换液培养或传代。


3、细胞冻存:
1)细胞生长至覆盖培养瓶的90%面积时,弃25cm2培养瓶中的培养液,用PBS清洗细胞一次;
2)添加0.25%胰蛋白酶消化液约1ml至培养瓶中,倒置显微镜下观察,待细胞回缩变圆后加入完全培养液终止消化,再轻轻吹打细胞使之脱落,然后将悬液转移至15ml离心管中,1500rpm离心5min;
3)用适量的冻存液(基础培养基:FBS:DMSO=5:4:1)重悬细胞,并放置于冻存管中;
4)先将细胞冻存管放置于-20℃ 1.5h,然后将其移入-80℃过夜,24h后转入液氮中进行长期保存。

4、细胞复苏:
1)从液氮中取出细胞冻存管(注意:佩戴防爆管面具),快速将其置入37℃水浴中解冻,直至冻存管中无结晶,然后用75%的酒精擦拭冻存管外壁;
2)将冻存管中的细胞移至含5ml完全培养基的15ml离心管中, 1500rpm离心5min;
3)弃上清,沉淀用5ml完全培养基重悬,接种25cm2培养瓶,于37℃,5%CO2细胞培养箱中培养;
4)第二天,换用新鲜完全培养基继续培养。

LS513 人结直肠癌细胞注意事项
产品使用
1)本产品仅能用于科研
2) 本产品未通过直接用于活体动物和人的审核
3)本产品未通过用于活体诊断的审核
风险提示:丁香通仅作为第三方平台,为商家信息发布提供平台空间。用户咨询产品时请注意保护个人信息及财产安全,合理判断,谨慎选购商品,商家和用户对交易行为负责。对于医疗器械类产品,请先查证核实企业经营资质和医疗器械产品注册证情况。
文献和实验该产品被引用文献
LS513 人结直肠癌细胞
技术资料暂无技术资料 索取技术资料
文献支持
LS513 人结直肠癌细胞
¥1500









