相关产品推荐更多 >
万千商家帮你免费找货
0 人在求购买到急需产品
- 详细信息
- 询价记录
- 技术资料
- 相关疾病:
胃癌
- 物种来源:
人源
- 细胞形态:
上皮样
- 是否是肿瘤细胞:
是
- 器官来源:
胃
- 运输方式:
干冰
- 生长状态:
贴壁生长
- 规格:
T25
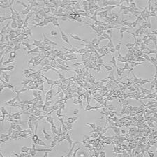
SNU-638_人胃癌细胞
产品信息
细胞名称: SNU-638_人胃癌细胞
种属来源: 人
性别年龄:48岁,蒙古男性
种属来源: 胃
生长特性:贴壁生长
细胞形态: 上皮细胞样
培养条件: RPMI1640 +10% fetal bovine serum,37 ℃, 5% CO2
细胞规格: 1 X 106cells/T25或1 mL冻存管
传代方法:1:3传代, 2-3天传1代
冻存条件: 90% FBS + 10% DMSO
细胞培养操作
干冰运输:收到细胞后需立即转入液氮保存、或者-80°C冰箱短期冻存、或者直接复苏
常温运输:收到细胞后,请立即将细胞培养瓶从包装盒中取出,并按照下方操作步骤进行培养传代
细胞传代:细胞密度达80% - 90%,即可进行传代培养
培养瓶中细胞操作步骤
对于贴壁培养的细胞,寄送前,我们会将培养基充满整个培养瓶,以减少产品运输过程中贴壁细胞的脱落。
1. 收到细胞后,请注意观察是否有污染。将培养瓶置于倒置显微镜下仔细检查是否浑浊、是否细菌污染。因为运输过程中存在颠簸,且有些细胞对温度变化也很敏感,可能存在一些细胞脱落漂浮的情况,这些细胞仍是活细胞,请勿丢弃,可离心富集后传代使用。
2. 对于贴壁细胞,在生物安全柜环境中,用真空泵去除培养瓶中多余的培养基,至剩余5-8mL 左右,随后根据培养基选择合适的CO2含量的37℃恒温培养箱中培养,拧松瓶盖。如果细胞已经长满培养瓶,请立即传代。
3. 对于悬浮的细胞,在生物安全柜环境中,转移培养瓶中的细胞至离心管,150 g 离心 5 分钟,去除上清后,用5 mL培养基吹散细胞,转移至新的培养瓶中,随后置于合适的CO2含量的37℃恒温培养箱中培养。
冻存管细胞操作步骤
注意: 为保证细胞的高活率,请收到产品后,立即解冻培养。
1. 将冻存管置于37℃水浴中来回晃动,迅速解冻。为避免污染,确保冻存管口置于水面之上。解冻需迅速,大约1分钟。
2. 一旦冻存管中液体融化后,立即取出,采用酒精喷拭冻存管表面。从此步开始,后续操作须在生物安全柜中完成。
3. 将冻存管中的液体转移到含有5mL完全培养基的离心管中,150 g 离心 5 分钟,用真空泵去除上清。
4. 用完全培养基重新悬浮细胞并转移到新的培养瓶中。为保证细胞复苏的存活率,请将培养基在37℃水浴预热后使用。
5. 将细胞置于含有合适CO2的37℃恒温培养箱中培养。
贴壁细胞传代培养
1. 吸取并弃掉培养瓶中培养基,加入PBS润洗一次。
2. 加入1 mL 0.25 (w/v) Trypsin-EDTA 溶液,并置于37℃培养箱中孵育,直至细胞从壁上脱落分离。此过程大约需要3-5分钟。
3. 加入2mL完全培养基中和胰蛋白酶,并轻轻吹打将细胞从培养瓶表面吹落,并使细胞分散。
4. 将细胞悬液收集到15mL离心管里,150 g 离心 5 分钟,用真空泵去除上清。取适量的培养基将细胞重悬,转移到新的培养瓶中培养。
悬浮细胞传代可参考以下方法:
一、直接传代法
1、待悬浮细胞长满至 80%~90%(细胞悬液变黄),即可传代;
2、用吸管吸弃细胞悬液 1 / 2~1 / 3;
3、加入适量的新鲜培养基,继续培养。
二、离心传代法(在发现有细胞碎片的情况下)
1、将细胞悬液转移到离心管内;
2、150 g 离心 5 min,弃去上层清液;
3、使用新鲜的培养基重悬细胞;
4、吸管吸取适量细胞悬液,装入新的培养瓶,再加入适量的新鲜培养基,继续培养。
细胞冻存操作
1. 1000rpm离心5分钟去掉上清。加1 mL血清重悬细胞,根据细胞数量加入血清和DMSO,轻轻混匀, DMSO终浓度为10%,细胞密度不低于1 x 106/mL,每支冻存管冻存1mL细胞悬液,注意冻存管做好标识。
2. 将冻存管置于程序降温盒中,放入-80°C冰箱,至少2个小时以后转入液氮灌储存。
风险提示:丁香通仅作为第三方平台,为商家信息发布提供平台空间。用户咨询产品时请注意保护个人信息及财产安全,合理判断,谨慎选购商品,商家和用户对交易行为负责。对于医疗器械类产品,请先查证核实企业经营资质和医疗器械产品注册证情况。
- 作者
- 内容
- 询问日期
技术资料暂无技术资料 索取技术资料










