相关产品推荐更多 >
万千商家帮你免费找货
0 人在求购买到急需产品
- 详细信息
- 文献和实验
- 技术资料
- 免疫原:
Synthetic peptide of human CCR4.
- 亚型:
IgG
- 形态:
Liquid
- 保存条件:
Store as concentrated solution. Centrifuge briefly prior to opening vial. For short-term storage (1-2 weeks), store at 4ºC. For long-term storage, aliquot and store at -20ºC or below. Avoid multiple freeze-thaw cycles.
- 克隆性:
Monoclonal
- 标记物:
Unconjugated
- 保质期:
12 months from the shipping date of the product.
- 抗原来源:
Human
- 目录编号:
GTX638830
- 级别:
Primary Antibodies
- 库存:
Available
- 供应商:
GeneTex
- 宿主:
Rabbit
- 应用范围:
WB, IHC-P
- 浓度:
1 mg/ml (Please refer to the vial label for the specific concentration.)
- 抗体英文名:
CCR4 antibody [HL2481]
- 抗体名:
CCR4 抗体 [HL2481]
- 规格:
100 μl/25 μl
| 规格: | 100 μl | 产品价格: | ¥4000.0 |
|---|---|---|---|
| 规格: | 25 μl | 产品价格: | ¥1700.0 |
Mouse tissue extract (50 μg) was separated by 7.5% SDS-PAGE, and the membrane was blotted with CCR4 antibody [HL2481] (GTX638830) diluted at 1:1000. The HRP-conjugated anti-rabbit IgG antibody (GTX213110-01) was used to detect the primary antibody.
Unboiled SW480 whole cell and membrane extracts (30 μg) were separated by 7.5% SDS-PAGE, and the membrane was blotted with CCR4 antibody [HL2481] (GTX638830) diluted at 1:500. The HRP-conjugated anti-rabbit IgG antibody (GTX213110-01) was used to detect the primary antibody, and the signal was developed with Trident ECL plus-Enhanced. (WCE: whole cell extract; ME: membrane extract)
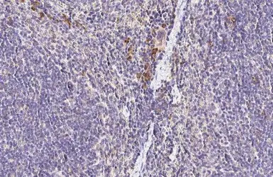
CCR4 antibody [HL2481] detects CCR4 protein at cell membrane by immunohistochemical analysis.
Sample: Paraffin-embedded mouse thymus gland.
CCR4 stained by CCR4 antibody [HL2481] (GTX638830) diluted at 1:100.
Antigen Retrieval: Citrate buffer, pH 6.0, 15 min
CCR4 antibody [HL2481] detects CCR4 protein at cell membrane by immunohistochemical analysis.
Sample: Paraffin-embedded rat thymus gland.
CCR4 stained by CCR4 antibody [HL2481] (GTX638830) diluted at 1:100.
Antigen Retrieval: Citrate buffer, pH 6.0, 15 min
Non-transfected (–) and transfected (+) boiled and unboiled SW480 whole cell extracts (30 μg) were separated by 10% SDS-PAGE, and the membrane was blotted with CCR4 antibody [HL2481] (GTX638830) diluted at 1:1000. The HRP-conjugated anti-rabbit IgG antibody (GTX213110-01) was used to detect the primary antibody.
Non-transfected (–) and transfected (+) bolied and unboiled 293T whole cell extracts (30 μg) were separated by 10% SDS-PAGE, and the membrane was blotted with CCR4 antibody [HL2481] (GTX638830) diluted at 1:1000. The HRP-conjugated anti-rabbit IgG antibody (GTX213110-01) was used to detect the primary antibody.
风险提示:丁香通仅作为第三方平台,为商家信息发布提供平台空间。用户咨询产品时请注意保护个人信息及财产安全,合理判断,谨慎选购商品,商家和用户对交易行为负责。对于医疗器械类产品,请先查证核实企业经营资质和医疗器械产品注册证情况。
文献和实验Using Biacore to Measure the Binding Kinetics of an Antibody‐Antigen Interaction
?protein interaction is described using an antibody and its antigen as an example. The affinity of the antibody for its antigen is determined by measuring the binding kinetics of the interaction. The protocols are divided into three major steps
Lightning-Link 30 seconds hands on Very Easy to use 100% Antibody Recovery No separation steps Little antibody needed Easy to Scale Up Over 40 available labels http://www.youtube.com/v/w0XmU
glycoprotein in complex with the CD4 receptor and a neutralizing human antibody The antigenic structure of the HIV gp120 envelope glycoprotein Decreased lesion formation in CCR2-/- mice reveals a role for chemokines
技术资料暂无技术资料 索取技术资料











