相关产品推荐更多 >
万千商家帮你免费找货
0 人在求购买到急需产品
- 详细信息
- 文献和实验
- 技术资料
- 免疫原:
Synthetic peptide of mouse PD-L1
- 亚型:
IgG
- 形态:
Liquid
- 保存条件:
Store as concentrated solution. Centrifuge briefly prior to opening vial. For short-term storage (1-2 weeks), store at 4ºC. For long-term storage, aliquot and store at -20ºC or below. Avoid multiple freeze-thaw cycles.
- 克隆性:
Monoclonal
- 标记物:
Unconjugated
- 保质期:
12 months from the shipping date of the product.
- 抗原来源:
Mouse
- 目录编号:
GTX638348
- 级别:
Primary Antibodies
- 库存:
Available
- 供应商:
GeneTex
- 宿主:
Rabbit
- 应用范围:
WB, IHC-P
- 浓度:
1 mg/ml (Please refer to the vial label for the specific concentration.)
- 抗体英文名:
PD-L1 antibody [HL2293]
- 抗体名:
PD-L1 抗体 [HL2293]
- 规格:
100 μl/25 μl
| 规格: | 100 μl | 产品价格: | ¥4000.0 |
|---|---|---|---|
| 规格: | 25 μl | 产品价格: | ¥1700.0 |
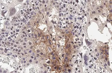
PD-L1 antibody [HL2293] detects PD-L1 protein at cell membrane and nucleus by immunohistochemical analysis.
Sample: Paraffin-embedded mouse placenta.
PD-L1 stained by PD-L1 antibody [HL2293] (GTX638348) diluted at 1:1000.
Antigen Retrieval: Citrate buffer, pH 6.0, 15 min
Mouse tissue extract (50 μg) was separated by 10% SDS-PAGE, and the membrane was blotted with PD-L1 antibody [HL2293] (GTX638348) diluted at 1:2000. The HRP-conjugated anti-rabbit IgG antibody (GTX213110-01) was used to detect the primary antibody.
风险提示:丁香通仅作为第三方平台,为商家信息发布提供平台空间。用户咨询产品时请注意保护个人信息及财产安全,合理判断,谨慎选购商品,商家和用户对交易行为负责。对于医疗器械类产品,请先查证核实企业经营资质和医疗器械产品注册证情况。
文献和实验「神药」再显威!杨黄浩等让二甲双胍扮演 PD-L1 「单抗」角色,提高治疗效果
ICBs 的抗肿瘤效果。 该研究成果以 Reducing PD-L1 expression with a self-assembled nanodrug: an alternative to PD-L1 antibody for enhanced chemo-immunotherapy. 为题,发表在了 2021 年 1 月 1 日的 Theranostics 上 [1]。 图片来源:Theranostics 研究内容:此前有研究报道,二甲双胍可以抑制肿瘤进展,改善癌症患者的预后和生存率。此外,也有研
STM:傅阳心、侯玉柱等发现放疗与免疫治疗的交汇点,兵家必争之地竟是这群细胞
交通大学、山东第一医科大学第一附属医院以及美国芝加哥大学、德克萨斯大学西南医学中心等单位的研究人员在 Science Translational Medicine 期刊上发表了题为 Radiotherapy and immunotherapy converge on elimination of tumor-promoting erythroid progenitor cells through adaptive immunity 的研究性文章。该研究结果表明,放疗和抗 PD-L1 免疫治疗能够显著降低
【进展|热点】Nature Immunology: 让T细胞动起来
, as antibody blockade of PD-1 or PD-L1 resulted in lower T cell motility, enhanced T cell–DC contacts and caused autoimmune diabetes. Blockade of the immunomodulatory receptor CTLA-4 did not alter T cell motility or abrogate tolerance. Thus, PD-1–PD-L1
技术资料暂无技术资料 索取技术资料





![SMAD5 antibody [3H9]](https://img1.dxycdn.com/2022/0328/787/2317555921982500453-14.jpg!wh200)
![Factor VIII antibody [5E9B2]](https://img1.dxycdn.com/2022/0328/452/1171987002357500453-14.jpg!wh200)




