万千商家帮你免费找货
0 人在求购买到急需产品
- 详细信息
- 技术资料
- 服务名称:
黑色素染色
- 提供商:
XSL
黑色素为内源性色素。正常情况下,存在于人体的毛发、皮肤、以及眼的虹膜、睫状体、脉络膜等处。在病理情况下,存在于 成黑色素细胞以及肿瘤的黑色素细胞中。Masson--Fontana 氏黑色素染色法的基本原理是:硝酸氨银经黑色素的作用还原为 黑色的金属银。
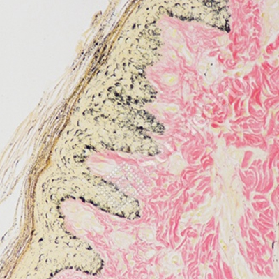
实验流程:
脱蜡至水-黑色素染色-VG染色-脱水封片-显微镜镜检。
实验结果展示:
猪皮肤
结果判读:
黑色素黑色或者棕色,胶原纤维红色,背景黄色
送样运输要求:
更多实验技术服务请浏览网站其他内容,或来电咨询!
实验流程:
脱蜡至水-黑色素染色-VG染色-脱水封片-显微镜镜检。
实验结果展示:
猪皮肤
结果判读:
黑色素黑色或者棕色,胶原纤维红色,背景黄色
送样运输要求:
- 样本放置于20倍样本体积的固定液中固定24h以上,常温运输送样。 切勿固定时间过长,切勿冷冻结冰。
- 石蜡切片常温运输。
更多实验技术服务请浏览网站其他内容,或来电咨询!
风险提示:丁香通仅作为第三方平台,为商家信息发布提供平台空间。用户咨询产品时请注意保护个人信息及财产安全,合理判断,谨慎选购商品,商家和用户对交易行为负责。对于医疗器械类产品,请先查证核实企业经营资质和医疗器械产品注册证情况。
技术资料暂无技术资料 索取技术资料
黑色素染色
询价









