- 详细信息
- 技术资料
- 服务名称:
VG染色
- 提供商:
XSL
规格:
样本/次
服务简介:
胶原纤维在HE染色法被染成粉红色,除此之外,它还可以用一些阴离子的染料来进行染色,如用淡绿可把它们染为绿色, 用甲苯.胺蓝可将其染为蓝色,在网状纤维染色中,如不加以处理,它又可被染为棕黄色。常用的特殊染色法有Van Gieson.Masson和Mallary等方法。在免疫细胞化学染色中,胶原纤维由于含的负电荷过多,常导致某些非特异性的染色, 应特别注意。
服务流程:
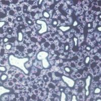
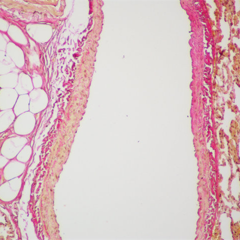
胶原纤维:鲜红色 肌纤维: 黄*色 红细胞: 黄*色 细胞核: 蓝黑或灰色。
注意事项:
VG染色样片参考:
样本/次
服务简介:
胶原纤维在HE染色法被染成粉红色,除此之外,它还可以用一些阴离子的染料来进行染色,如用淡绿可把它们染为绿色, 用甲苯.胺蓝可将其染为蓝色,在网状纤维染色中,如不加以处理,它又可被染为棕黄色。常用的特殊染色法有Van Gieson.Masson和Mallary等方法。在免疫细胞化学染色中,胶原纤维由于含的负电荷过多,常导致某些非特异性的染色, 应特别注意。
服务流程:
- 切片脱蜡至水,
- 用Weigert氏苏木素染20min,
- 水洗,必要时可分化,
- 流水冲洗10min,
- 染Van Gieson氏液1min,
- 用95%酒精快速分化,
- 无水.酒精脱水,二甲.苯透明,封固。
胶原纤维:鲜红色 肌纤维: 黄*色 红细胞: 黄*色 细胞核: 蓝黑或灰色。
注意事项:
- 该法染完的切片,较易褪色如需照相,应尽早完成。
- 苏木素染液如为棕色或沉淀,应将其抛弃。
- 分化用的酒精,应使用95%以上的酒精,低浓度的酒精褪色能力强,容易将着染的红色脱去。
VG染色样片参考:
风险提示:丁香通仅作为第三方平台,为商家信息发布提供平台空间。用户咨询产品时请注意保护个人信息及财产安全,合理判断,谨慎选购商品,商家和用户对交易行为负责。对于医疗器械类产品,请先查证核实企业经营资质和医疗器械产品注册证情况。
技术资料暂无技术资料 索取技术资料
VG染色
询价









