万千商家帮你免费找货
0 人在求购买到急需产品
- 详细信息
- 技术资料
- 服务名称:
肠炎动物模型 消化系统模型
- 提供商:
XSL
肠炎动物模型 / 消化系统模型
现如今,有多种动物实验模型被广泛用于研究炎症性肠炎(inflammatory bowel disease, IBD)的病因、发病机制及测 试新开发药物药效等,尤其以葡聚糖硫酸钠盐(Dextran Sulfate Sodium Salt,DSS)结肠炎(ulcerative colitis,UC)模型应用最广。
模型发展历程
模型特点 使用小鼠、大鼠、仓鼠、豚鼠或猪、兔等动物均可造模,通过给予动物自由饮用不同浓度的DSS水溶液,根据用药时间及 用药周期可制成急性和慢性两种结肠炎模型。该模型症状表现与人类UC极为相似,主要表现为腹泻、黏液样便、粪便潜血、肉眼血便、重量减轻、活动度减少,毛色变差等。
实验方法(以小鼠动物模型为例说明)
实验候选动物:C57BL/6或BALB/c,雌性,6-8周。每组至少8-10只小鼠。
造模试剂:DSS,Mw 36000-50000,含硫量16-20%。
DSS浓度:急性期模型通常为3-5%,慢性期模型通常为1-3%;可根据实验需求及动物类型摸索浓度。该浓度为质量体积 比,使用饮用水配置后,过滤除菌。
急性DSS结肠炎模型
Day1:称重并标记各组C57BL/6小鼠。待造模小鼠饮用3-5% DSS水溶液,未处理组小鼠饮用正常水。
Day3:给予待造模小鼠更换新鲜3-5%DSS饮用水。
Day5:给予待造模小鼠更换新鲜3-5%DSS饮用水。
Day8:给予待造模小鼠更换新鲜不含DSS的饮用水。
慢性DSS结肠炎模型
Day1:称重并标记各组C57BL/6小鼠。待造模小鼠饮用1-3% DSS水溶液,未处理组小鼠饮用正常水。
Day3:给予待造模小鼠更换新鲜1-3%DSS饮用水。
Day5:给予待造模小鼠更换新鲜1-3%DSS饮用水
Day8:给予待造模小鼠更换新鲜不含DSS的饮用水。
Day22-Day26:重复Day1-Day5操作。
Day29:给予待造模小鼠更换新鲜不含DSS的饮用水。
Day43-Day47:重复Day1-Day5操作。
Day50:给予待造模小鼠更换新鲜不含DSS的饮用水。
DSS UC model 如何评价造模是否成功?
1. 疾病活跃指数评分 Disease Activity Index, DAI score 从三个方面进行评估打分,分别为体重、粪便粘稠度、粪便潜血等指标,评分细则见表-3。其中,粪便潜血测试可使用尿粪 隐血检测试剂盒 (联.苯.胺法)(Yeasen,60403ES60)。DAI评分为三个指标之和。
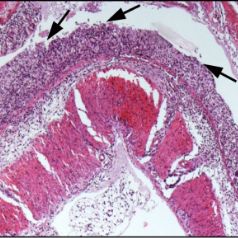
DSS溃疡性结肠炎组织学变化模拟图

需确认的信息
现如今,有多种动物实验模型被广泛用于研究炎症性肠炎(inflammatory bowel disease, IBD)的病因、发病机制及测 试新开发药物药效等,尤其以葡聚糖硫酸钠盐(Dextran Sulfate Sodium Salt,DSS)结肠炎(ulcerative colitis,UC)模型应用最广。
模型发展历程
模型特点 使用小鼠、大鼠、仓鼠、豚鼠或猪、兔等动物均可造模,通过给予动物自由饮用不同浓度的DSS水溶液,根据用药时间及 用药周期可制成急性和慢性两种结肠炎模型。该模型症状表现与人类UC极为相似,主要表现为腹泻、黏液样便、粪便潜血、肉眼血便、重量减轻、活动度减少,毛色变差等。
实验方法(以小鼠动物模型为例说明)
实验候选动物:C57BL/6或BALB/c,雌性,6-8周。每组至少8-10只小鼠。
造模试剂:DSS,Mw 36000-50000,含硫量16-20%。
DSS浓度:急性期模型通常为3-5%,慢性期模型通常为1-3%;可根据实验需求及动物类型摸索浓度。该浓度为质量体积 比,使用饮用水配置后,过滤除菌。
急性DSS结肠炎模型
Day1:称重并标记各组C57BL/6小鼠。待造模小鼠饮用3-5% DSS水溶液,未处理组小鼠饮用正常水。
Day3:给予待造模小鼠更换新鲜3-5%DSS饮用水。
Day5:给予待造模小鼠更换新鲜3-5%DSS饮用水。
Day8:给予待造模小鼠更换新鲜不含DSS的饮用水。
慢性DSS结肠炎模型
Day1:称重并标记各组C57BL/6小鼠。待造模小鼠饮用1-3% DSS水溶液,未处理组小鼠饮用正常水。
Day3:给予待造模小鼠更换新鲜1-3%DSS饮用水。
Day5:给予待造模小鼠更换新鲜1-3%DSS饮用水
Day8:给予待造模小鼠更换新鲜不含DSS的饮用水。
Day22-Day26:重复Day1-Day5操作。
Day29:给予待造模小鼠更换新鲜不含DSS的饮用水。
Day43-Day47:重复Day1-Day5操作。
Day50:给予待造模小鼠更换新鲜不含DSS的饮用水。
DSS UC model 如何评价造模是否成功?
1. 疾病活跃指数评分 Disease Activity Index, DAI score 从三个方面进行评估打分,分别为体重、粪便粘稠度、粪便潜血等指标,评分细则见表-3。其中,粪便潜血测试可使用尿粪 隐血检测试剂盒 (联.苯.胺法)(Yeasen,60403ES60)。DAI评分为三个指标之和。
- . 组织学变化评分
- 溃疡形成个数:无—0,1个溃疡—1,2个溃疡—2,3个溃疡—3,>3个溃疡—4
- 上皮细胞变化:正常—0,杯状细胞缺失—1,杯状细胞大面积缺失—2,隐窝缺失—3,隐窝大面积缺失 或息肉状再生—4
- 炎症浸润:无—0,隐窝周围浸润—1,黏膜肌层出现浸润—2,黏膜肌层普遍浸润,黏膜增厚—3,黏膜 下层浸润—4
- 淋巴结形成:无—0,1个淋巴结—1,2个淋巴结—2,3个淋巴结—3,>3个溃疡—4
DSS溃疡性结肠炎组织学变化模拟图
3. 结肠长度 急性结肠炎模型中,第8天可检测到结肠长度缩短;慢性结肠炎模型中,结肠长度缩短更加明显。
4.总结
DSS UC动物模型构建应先进行预实验,摸索建模条件,建议预实验每组小鼠8-10只,并设立对照组。通常出现体重减 轻、稀便、腹泻、血便或粪便潜血、溃疡可视为DSS药物有效,造模成功。
需确认的信息
- 模型种属(大鼠还是小鼠或是其他种属
- 动物体重有无要求,年龄有无要求
- 雌雄有无要求
- 模型构建具体方案
- 取材要求(采血、取组织样本)
风险提示:丁香通仅作为第三方平台,为商家信息发布提供平台空间。用户咨询产品时请注意保护个人信息及财产安全,合理判断,谨慎选购商品,商家和用户对交易行为负责。对于医疗器械类产品,请先查证核实企业经营资质和医疗器械产品注册证情况。
技术资料暂无技术资料 索取技术资料
肠炎动物模型 消化系统模型
询价









