万千商家帮你免费找货
0 人在求购买到急需产品
- 详细信息
- 文献和实验
- 技术资料
- 服务名称:
心肌缺血脑缺血动物模型
- 提供商:
XSL
一、心肌缺血实验模型: 以手术方式短暂结扎冠脉的左前降支。其中结扎阶段属于缺血过程,而解除结扎后属于再灌注过程。该模型根据实验需求可延长再灌注足够长的时间。这一模型造成的是局灶性的心肌IRI,比较符合机体IRI的病 理过程,但是实验结果受手术和机体内环境的影响较大。
实验动物: C57BL/6J小鼠 ,雄性,体重:22g±2g,周龄:8周,动物等级:SPF级 手术方法:
动物深度麻醉,确认麻醉状态后,备皮,安装好心电监护仪,消毒局部皮肤,铺洞巾后剪开肋间皮肤, 钝性分离肌肉、打开心包膜,将心脏推出体外,暴露左冠状动脉前降支,用6-0无菌丝线快速结扎,打活结,看到心脏底部变白,用荷包缝法迅速关闭胸腔,挤压防止气胸,造成左室前壁心肌缺血。分别记录术 前、缺血时心电图变化。
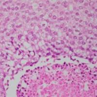
到达缺血时间以后,打开胸腔,解开活结,再次关闭胸腔,缝合肌肉皮肤,进行心肺复苏。分别记录术 前、缺血时和再灌注后的心电图变化。造模成功后进行药物治疗,术后观察动物活动、采食情况。处死前对实验动物采血。术后进行心肌组织取样、TTC-Evans blue染色,进行心梗面积计算。
手术后护理及观察:
1、术后护理:术后单笼饲养,常规饲料及饮水。
2、观察:每天观察动物死亡或濒死情况、精神状态、行为活动、进食等。
3、伤口局部观察:术后每天1次,观察伤口有无红肿发炎等。
4、体重称量记录:术后体重称量记录:术后2次/周,称重并记录体重变化情况。
- 脑缺血动物模型
剪开颈部皮肤,钝性分离颈部肌肉,暴露并游离单侧颈动脉,穿线备用。
动脉夹暂时夹闭主动脉,并结扎颈外动脉。主动脉用注射器针头挑开小口,插入自制线栓到颈内动 脉,大约 2.5-3cm。结扎颈内动脉,结扎主动脉近心端,松开动脉夹。
逐层缝合,根据实验的需要的缺血时间进行拔栓手术(再灌注),拔栓时动物要完全麻醉,把出线栓 的长度约为 0.5cm。 模型成功的评判方法 神经功能缺损(NDS)评分 0 分:活动基本正常,无明显神经病学症状;
1 分:左侧前爪无法完全伸展;
2 分:爬行时向左侧转圈;
3 分:行走时向偏瘫侧倾倒;
4 分:不能自动行走,有意识障碍
5 分:死亡
水迷宫实验 Morris 水迷宫(Morris water maze, MWM)实验是一种强迫实验动物(大鼠、小鼠)游泳,学习寻找 隐藏在水中平台的一种实验,主要用于测试实验动物对空间位置感和方向感(空间定位)的学习记忆能力。
TTC 染色 TTC 染色是常用来评价脑缺血损伤的指标,缺血区域会呈白色。
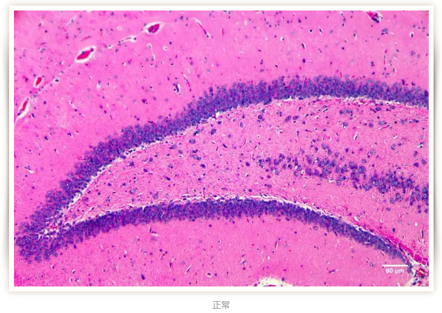
HE 染色 一般发生缺血损伤的脑组织的神经元细胞会受到明显损伤(上侧正常,下侧损伤)
TUNEL 染色 发生损伤的脑组织,TUNEL 染色的细胞会明显增多。
风险提示:丁香通仅作为第三方平台,为商家信息发布提供平台空间。用户咨询产品时请注意保护个人信息及财产安全,合理判断,谨慎选购商品,商家和用户对交易行为负责。对于医疗器械类产品,请先查证核实企业经营资质和医疗器械产品注册证情况。
文献和实验一个脑缺血动物模型的成功建立,对于临床前心脑血管药理的研究具有重要意义。一个理想的脑缺血及再灌流动物模型应具备以下条件:(1)血管闭塞后能引起相应区域血流量改变。(2)病理改变接近人脑急性缺血性变化。(3)大脑缺血严重,但脑干活动尚能维持,有利于缺血再灌流的连续观察。(4)闭塞动脉的方法能进行重灌注。(5)重复性好。(6)可控制缺血的时间,制成轻重不等的缺血模型。常用方法:1.开颅法:多数选择颞下部开颅,分离并电凝横过嗅束外缘或内缘处的MCA或用丝线结扎MCA造成脑梗塞,是目前公认的标准
一个脑缺血动物模型的成功建立,对于临床前心脑血管药理的研究具有重要意义。一个理想的脑缺血及再灌流动物模型应具备以下条件:(l)血管闭塞后能引起相应区域血流量改变。(2)病理改变接近人脑急性缺血性变化。(3)大脑缺血严重,但脑干活动尚能维持,有利于缺血再灌流的连续观察。(4)闭塞动脉的方法能进行重灌注。(5)重复性好。可控制缺血的时间,制成轻重不等的缺血模型。常用方法:1.开颅法多数作者选择颞下部开颅,分离并电凝横过嗅束外缘或内缘处的MCA或用丝线结扎MCA造成脑梗塞,是目前公认的标准MCAO
复制动物心肌缺血和心肌梗塞模型的方法有结扎冠状动脉法,有的结扎左旋冠脉,但多数是结扎左前降冠脉,鉴于结扎冠状动脉主干死亡率高,故亦有使用多处结扎的方法,即同时结扎几处的冠脉分支,以形成一个梗死区域。经验证明,结扎的冠状动脉,因其分布的心肌范围和该区内是否有其他冠状动脉,而决定着心肌梗塞的面积,结扎方法是建立很早而至今还普通使用的方法。此外,还有用油质、石松子孢或汞等作弥散性冠状动脉微栓塞或选择性冠状动脉梗塞的。前者大多是在早年使用的方法,近年来发明制造了塑料微粒手术,以其数量
技术资料暂无技术资料 索取技术资料








