万千商家帮你免费找货
0 人在求购买到急需产品
- 详细信息
- 文献和实验
- 技术资料
- 服务名称:
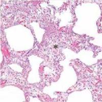
裸鼠肺转移瘤药效评估
- 提供商:
XSL
一般根据肿瘤细胞接种方式,主要分为以下几种转移模型:
1. 尾静脉注射
肿瘤细胞经尾静脉注射后,先通过肺部的毛细血管网进入动脉血液循环系统,可造成全身多发转移灶。但是由于肿瘤细胞较为粘稠易聚团,一般会被困在小鼠肺部微血管,主要形成肺转移,可能后期会造成远端器官的转移。主要用于建立肿瘤转移(血行通路)模型或血癌模型或者肿瘤肺转移。
2. 左心室注射
肿瘤细胞经过左心室注射进入小鼠体循环,细胞经过粘附,降解及迁移等过程,最终造成不同器官的转移,可以很好的模拟肿瘤的血道转移过程。一般多造成骨、脑等部位转移。
3. 原位注射
将肿瘤细胞移植于小鼠相应器官,如人乳腺癌细胞移植到裸鼠乳房垫上,人的肝癌移植到裸鼠肝叶上。该模型可模拟转移的全过程,包括最初侵袭组织,穿入血管和形成转移灶等步骤,更加接近人类肿瘤转移的过程。因此原位模型广泛用于抑制肿瘤转移和生长的药物筛选。
4. 腹腔注射
将肿瘤细胞注射到小鼠腹腔,操作简单,可出现一定比例的浸润、转移和腹水。主要是观察肿瘤细胞在腹腔内的转移情况,但是腹腔血液循环相对较少,不利于肿瘤转移的发生,适合某些肿瘤转移过程,如卵巢癌。
5. 其他注射方式
除了上面常见的几种转移模型,还有用到的如:爪垫皮下移植(因爪垫皮下有丰富的淋巴管,可研究淋巴道转移);肾包膜(肾包膜血管丰富,可立即供给移植肿瘤充分的氧及营养);脾脏注射(可造成肝转移模型)等。
收费标准/服务周期/提供结果:
欢迎咨询详谈,我们会根据您的方案及需求制定详细的服务协议。
更多实验技术服务请浏览网站其他内容,或来电咨询!
风险提示:丁香通仅作为第三方平台,为商家信息发布提供平台空间。用户咨询产品时请注意保护个人信息及财产安全,合理判断,谨慎选购商品,商家和用户对交易行为负责。对于医疗器械类产品,请先查证核实企业经营资质和医疗器械产品注册证情况。
文献和实验在利用人类和实验动物等个体生物评估药物时,测量值会受年龄和生长环境等各种因素的影响,因而很难对来自多个样本的数据进行统计分析。 类器官和细胞球等三维细胞培养模型,可近似模拟器官或组织的体内结构和功能,并可在体外大规模培养。因此,使用这些模型的统计分析结果是高度可再现的。由于三维细胞培养模型能够再现肿瘤中的细胞异质性,所以三维细胞成像分析有助于药物的评估。 利用三维细胞成像分析评估药效的工作流程可分为以下三个阶段(图1): 制备、培养和处理三维细胞培养模型 采集细胞图像 进行统计
Theranostics | 空间代谢组学方法评估抗癌药物肿瘤靶向效率和瘤内分布异质性
癌症治疗研究中的关键问题是可区分正常组织和肿瘤组织的靶向抗肿瘤药物开发在新药研发的早期,如何快速评估抗癌药物的肿瘤靶向性非常重要,且了解药物在肿瘤内的异质性分布更具挑战。开发一种高精度、高灵敏度的定量成像分析方法有望解决这一难题。开发一种高精度、高灵敏度的定量成像分析方法有望解决这一难题。质谱成像是一种无需标记的分子成像技术,它可提供有关生物体内药物和代谢物分布的时空信息,其在药物开发领域的应用正在迅速增加。 中国医学科学院药物研究所天然药物活性物质与功能国家重点实验室贺玖明团队
药效评估等实验的? B-NDG 在人免疫系统重建中的应用 在小鼠中重建人类免疫系统(Humanized Immune System,HIS)通常通过三种方法实现: 1. 将人的外周血单个核细胞(PBMC)直接注射到重度免疫缺陷小鼠里进行免疫重建,即 PBL(Peripheral Blood Lymphocyte)-HIS 模型; 2. 单独接种人的 CD34+ 造血干细胞到经过辐照的重度免疫缺陷小鼠里进行免疫重建,即 CD34+ HSC(Hematopoietic Stem
技术资料暂无技术资料 索取技术资料








