万千商家帮你免费找货
0 人在求购买到急需产品
- 详细信息
- 文献和实验
- 技术资料
- 提供商:
XSL
- 服务名称:
慢性肺阻塞模型 呼吸系统模型
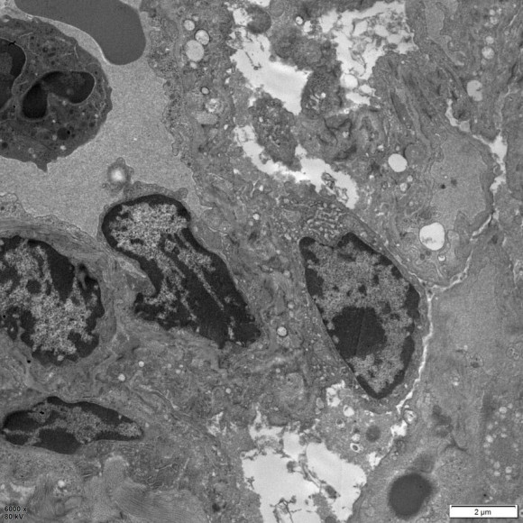
正常 COPD模型 超微结构变化: 正常组:未见明显肺泡腔,实性变,细胞连接紧密,未见明显绒毛脱落和坏死;细胞核不规则,线粒体、内质网均 清晰可见,少量线粒体空泡变;板层小体未见。
模型组: 肺泡间隔增宽,细胞连接松懈;毛细血管内充血;上皮细胞有绒毛的脱落和坏死;细胞核均出现不同程度的核形 不规则,线粒体数量变化不明显,可见线粒体肿胀,部分线粒体嵴消失,呈空泡状;可见溶酶体;可见板层小体排空。
风险提示:丁香通仅作为第三方平台,为商家信息发布提供平台空间。用户咨询产品时请注意保护个人信息及财产安全,合理判断,谨慎选购商品,商家和用户对交易行为负责。对于医疗器械类产品,请先查证核实企业经营资质和医疗器械产品注册证情况。
文献和实验(一)慢性支气管肺炎模型常选用大鼠、豚鼠或猴吸入刺激性气体(如二氧化硫、氯、氨水、烟雾等)复制人类慢性气管炎。现发现猪粘膜下腺体与人类相似,且经常发生气管炎及肺炎,故认为是复制人类慢性气管炎较合适的动物。用去甲肾上腺素可以引起与人类相似的气管腺体肥大。(二)肺气肿模型给兔等动物气管内或静脉内注射一定量木瓜蛋白酶、菠萝蛋白酶(Bromelin)、败血酶(Alcalas)、胰蛋白酶(Trypsin)、致热溶解酶(Thermolysin),以及由脓性痰和白细胞分离出来的蛋白溶解酶等,可复制成实验
一、慢性支气管肺炎模型 常选用大鼠、豚鼠或猴吸入刺激性气体(如二氧化硫、氯、氨水、烟雾等)复制人类慢性气管炎。现发现猪粘膜下腺体与人类相似,且经常发生气管炎及肺炎,故认为是复制人类慢性气管炎较合适的动物。用去甲肾上腺素可以引起与人类相似的气管腺体肥大。 二、肺气肿模型 给兔等动物气管内或静脉内注射一定量木瓜蛋白酶、菠罗蛋白酶(Bromelin)、败血酶(Alcalas)、胰蛋白酶(Trypsin)、致热溶解酶(Thermolysin),以及由脓性痰和白细胞分离出来的蛋白
性疾病得以被有效控制。而由于大气污染、吸烟和某些其它因素,慢性阻塞性肺疾病、肺癌、职业性肺疾病、慢性肺源性心脏病等的发病率和病死率则日趋增多,应引起足够重视。 尽管呼吸系统与外界环境接触最频繁,环境中的有害因素常是诱发肺疾病的主要原因,但呼吸系统的防御功能,能净化自身,可防止有害因子入侵造成损伤。纤毛-粘液排送系统乃呼吸道特有的保护装置,能将沉积于粘液中的有害因子自下而上地向外排送;而且粘液成分中还含有溶菌酶、干扰素、补体系统、分泌型IgA等免疫活性物质,具有增加局部免疫力的作用。肺泡毛细
技术资料暂无技术资料 索取技术资料










