相关产品推荐更多 >
万千商家帮你免费找货
0 人在求购买到急需产品
- 详细信息
- 文献和实验
- 技术资料
- 免疫原:
Carrier-protein conjugated synthetic peptide surrounding phospho Thr410 of human PKC zeta. The exact sequence is proprietary.
- 亚型:
IgG
- 形态:
Liquid
- 保存条件:
Store as concentrated solution. Centrifuge briefly prior to opening vial. For short-term storage (1-2 weeks), store at 4ºC. For long-term storage, aliquot and store at -20ºC or below. Avoid multiple freeze-thaw cycles.
- 克隆性:
Monoclonal
- 标记物:
Unconjugated
- 适应物种:
Human, Mouse, Rat, Drosophila
- 保质期:
12 months from the shipping date of the product.
- 抗原来源:
Human
- 目录编号:
GTX636680
- 级别:
Primary Antibodies
- 库存:
Available
- 供应商:
GeneTex
- 宿主:
Rabbit
- 应用范围:
WB
- 浓度:
1 mg/ml (Please refer to the vial label for the specific concentration.)
- 靶点:
PKC (pan) (zeta phospho Thr410)
- 抗体英文名:
PKC (pan) (zeta phospho Thr410) antibody [HL1278]
- 抗体名:
PKC (pan) (zeta phospho Thr410) 抗体 [HL1278]
- 规格:
100 μl/25 μl
| 规格: | 100 μl | 产品价格: | ¥4000.0 |
|---|---|---|---|
| 规格: | 25 μl | 产品价格: | ¥1700.0 |
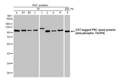
PKC proteins were separated by 10% SDS-PAGE, and the membrane was blotted with PKC (pan) (zeta phospho Thr410) antibody [HL1278] (GTX636680) diluted at 1:1000. The HRP-conjugated anti-rabbit IgG antibody (GTX213110-01) was used to detect the primary antibody.
Drosophila tissue extract (50 μg) was separated by 10% SDS-PAGE, and the membrane was blotted with PKC (pan) (zeta phospho Thr410) antibody [HL1278] (GTX636680) diluted at 1:1000. The HRP-conjugated anti-rabbit IgG antibody (GTX213110-01) was used to detect the primary antibody.
Untreated (–) and treated (+) HeLa whole cell extracts (30 μg) were separated by 10% SDS-PAGE, and the membrane was blotted with PKC (pan) (zeta phospho Thr410) antibody [HL1278] (GTX636680) diluted at 1:1000. The HRP-conjugated anti-rabbit IgG antibody (GTX213110-01) was used to detect the primary antibody.
Untreated (–) and treated (+) NIH-3T3 whole cell extracts (30 μg) were separated by 10% SDS-PAGE, and the membrane was blotted with PKC (pan) (zeta phospho Thr410) antibody [HL1278] (GTX636680) diluted at 1:1000. The HRP-conjugated anti-rabbit IgG antibody (GTX213110-01) was used to detect the primary antibody.
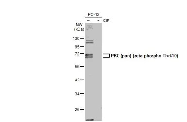
Untreated (–) and treated (+) PC-12 whole cell extracts (30 μg) were separated by 10% SDS-PAGE, and the membrane was blotted with PKC (pan) (zeta phospho Thr410) antibody [HL1278] (GTX636680) diluted at 1:1000. The HRP-conjugated anti-rabbit IgG antibody (GTX213110-01) was used to detect the primary antibody, and the signal was developed with Trident ECL plus-Enhanced.
风险提示:丁香通仅作为第三方平台,为商家信息发布提供平台空间。用户咨询产品时请注意保护个人信息及财产安全,合理判断,谨慎选购商品,商家和用户对交易行为负责。对于医疗器械类产品,请先查证核实企业经营资质和医疗器械产品注册证情况。
文献和实验) Antibody W IHC 9378 Phospho-PKCzeta/lambda (Thr410/403) Antibody W IHC 我只想要检测PKC的激活程度,并不要求激活哪种亚型,应该用那一种呢? chuckdouble licanming wrote: 我的实验是用VEGF处理细胞后测定细胞PKC激活水平,拟采用Western blot的方法,用ECL法检测,这样分析PKC激活程度结果国际上认可吗?
v468. chapter 4 WNT 细胞通路 检测细胞GSK3活性与表达水平
4 ). 2. Other antibodies used were b-catenin (phospho-Thr41/Ser37/Ser33) (#9561; Cell Signaling Technology), b-catenin (#9562;Cell Signaling Technology), CRMP2 (pT514/509) (#PB-043; Kinasource, Dundee, Scotland) and CRMP2 (#AB-042;Kinasource). 3. Blocking buffer
技术资料暂无技术资料 索取技术资料






![hnRNP K antibody [F45 P9 C7]](https://img1.dxycdn.com/2023/0711/451/6106825198874858761-14.jpg!wh200)
![HCA67 antibody [C3], C-term](https://custom.dxycdn.com/trademd/upload/pic/2011/12/20/1324016002.jpg!small.t.1)


