相关产品推荐更多 >
万千商家帮你免费找货
0 人在求购买到急需产品
- 详细信息
- 文献和实验
- 技术资料
- 免疫原:
Recombinant protein encompassing a sequence within the center region of human Alkaline phosphatase (intestinal). The exact sequence is proprietary.
- 亚型:
IgG
- 形态:
Liquid
- 保存条件:
Store as concentrated solution. Centrifuge briefly prior to opening vial. For short-term storage (1-2 weeks), store at 4ºC. For long-term storage, aliquot and store at -20ºC or below. Avoid multiple freeze-thaw cycles.
- 克隆性:
Monoclonal
- 标记物:
Unconjugated
- 适应物种:
Human, Mouse
- 保质期:
12 months from the shipping date of the product.
- 抗原来源:
Human
- 目录编号:
GTX636670
- 级别:
Primary Antibodies
- 库存:
Available
- 供应商:
GeneTex
- 宿主:
Rabbit
- 应用范围:
WB, IHC-P
- 浓度:
1 mg/ml (Please refer to the vial label for the specific concentration.)
- 靶点:
Alkaline phosphatase (intestinal)
- 抗体英文名:
Alkaline phosphatase (intestinal) antibody [HL1268]
- 抗体名:
Alkaline phosphatase (intestinal) 抗体 [HL1268]
- 规格:
100 μl/25 μl
| 规格: | 100 μl | 产品价格: | ¥4000.0 |
|---|---|---|---|
| 规格: | 25 μl | 产品价格: | ¥1700.0 |
Non-transfected (–) and transfected (+) 293T whole cell extracts (30 μg) were separated by 10% SDS-PAGE, and the membrane was blotted with Alkaline phosphatase (intestinal) antibody [HL1268] (GTX636670) diluted at 1:5000. The HRP-conjugated anti-rabbit IgG antibody (GTX213110-01) was used to detect the primary antibody.
Various tissue extracts (50 μg) were separated by 7.5% SDS-PAGE, and the membrane was blotted with Alkaline phosphatase (intestinal) antibody [HL1268] (GTX636670) diluted at 1:1000. The HRP-conjugated anti-rabbit IgG antibody (GTX213110-01) was used to detect the primary antibody.
Various whole cell extracts (30 μg) were separated by 7.5% SDS-PAGE, and the membrane was blotted with Alkaline phosphatase (intestinal) antibody [HL1268] (GTX636670) diluted at 1:1000. The HRP-conjugated anti-rabbit IgG antibody (GTX213110-01) was used to detect the primary antibody.
Alkaline phosphatase (intestinal) antibody [HL1268] detects secreted Alkaline phosphatase (intestinal) protein by immunohistochemical analysis.
Sample: Paraffin-embedded mouse colon.
Alkaline phosphatase (intestinal) stained by Alkaline phosphatase (intestinal) antibody [HL1268] (GTX636670) diluted at 1:100.
Antigen Retrieval: Citrate buffer, pH 6.0, 15 min
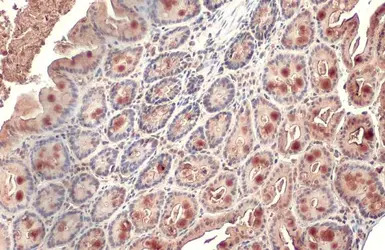
Alkaline phosphatase (intestinal) antibody [HL1268] detects secreted Alkaline phosphatase (intestinal) protein by immunohistochemical analysis.
Sample: Paraffin-embedded mouse intestine.
Alkaline phosphatase (intestinal) stained by Alkaline phosphatase (intestinal) antibody [HL1268] (GTX636670) diluted at 1:100.
Antigen Retrieval: Citrate buffer, pH 6.0, 15 min
Various tissue extracts (50 μg) were separated by 7.5% SDS-PAGE, and the membrane was blotted with Alkaline phosphatase (intestinal) antibody [HL1268] (GTX636670) diluted at 1:1000. The HRP-conjugated anti-rabbit IgG antibody (GTX213110-01) was used to detect the primary antibody.
风险提示:丁香通仅作为第三方平台,为商家信息发布提供平台空间。用户咨询产品时请注意保护个人信息及财产安全,合理判断,谨慎选购商品,商家和用户对交易行为负责。对于医疗器械类产品,请先查证核实企业经营资质和医疗器械产品注册证情况。
文献和实验Alkaline Phosphatase (EC 3.1.3.1)
bacteria, fungi, invertebrates, fish, and mammals (being located in many organs, including bone marrow, kidney, placenta, and intestinal mucosa), but have not been isolated from higher plants. The most commonly used alkaline phosphatases (AP
Conjugation of Antibodies to Alkaline Phosphatase
Alkaline phosphatase is coupled to immunoglobin G antibody in a one-step procedure using the homobifunctional reagent glutaraldehyde, which reacts with amino groups in the two proteins. The procedure is simple to perform and requires minimal
ALKALINE PHOSPHATASE (APAAP) TECHNIQUE
9. Wash in buffer. 3 minutes. 10. Incubate in rabbit anti-mouse immunoglobins. 30 minutes. 11. Jet wash in buffer. 12. Wash in buffer. 3 minutes. 13. Incubate in alkaline phosphatase-mouse anti-alkaline phosphatase 30 minutes. 14. Jet
技术资料暂无技术资料 索取技术资料





![MSH6 antibody [C1C2], Internal](https://img1.dxycdn.com/2023/0516/050/2572066211091928561-14.jpg!wh200)


![Fatty Acid Synthase antibody [GT325]](https://img1.dxycdn.com/2023/0711/451/6106825198874858761-14.jpg!wh200)
