相关产品推荐更多 >
万千商家帮你免费找货
0 人在求购买到急需产品
- 详细信息
- 文献和实验
- 技术资料
- 免疫原:
Carrier-protein conjugated synthetic peptide surrounding mutant G12D of human K-Ras. The exact sequence is proprietary.
- 亚型:
IgG
- 形态:
Liquid
- 保存条件:
Store as concentrated solution. Centrifuge briefly prior to opening vial. For short-term storage (1-2 weeks), store at 4ºC. For long-term storage, aliquot and store at -20ºC or below. Avoid multiple freeze-thaw cycles.
- 克隆性:
Monoclonal
- 标记物:
Unconjugated
- 适应物种:
Human, Mouse
- 保质期:
12 months from the shipping date of the product.
- 抗原来源:
Human
- 目录编号:
GTX635362
- 级别:
Primary Antibodies
- 库存:
Available
- 供应商:
GeneTex
- 宿主:
Rabbit
- 应用范围:
WB, ICC/IF, IHC-P
- 浓度:
1.5 mg/ml (Please refer to the vial label for the specific concentration.)
- 靶点:
RAS (G12D Mutant)
- 抗体英文名:
RAS (G12D Mutant) antibody [HL10]
- 抗体名:
RAS (G12D Mutant) 抗体 [HL10]
- 规格:
100 μl/25 μl
| 规格: | 100 μl | 产品价格: | ¥4000.0 |
|---|---|---|---|
| 规格: | 25 μl | 产品价格: | ¥1700.0 |
RAS (G12D Mutant) antibody [HL10] detects RAS (G12D Mutant) protein by immunohistochemical analysis.
Sample: Paraffin-embedded human wild-type (left) and KRAS G12D mutant (right) pancreatic tumor.
RAS (G12D Mutant) stained by RAS (G12D Mutant) antibody [HL10] (GTX635362) diluted at 1:50.
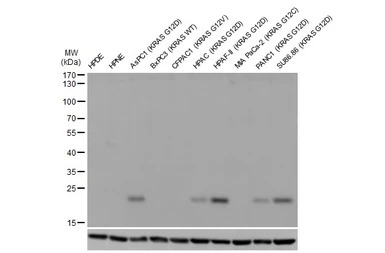
Various whole cell extracts were separated by SDS-PAGE, and the membrane was blotted with RAS (G12D Mutant) antibody [HL10] (GTX635362) diluted at 1:1000.
Various whole cell extracts (30 μg) were separated by 12% SDS-PAGE, and the membrane was blotted with RAS (G12D Mutant) antibody [HL10] (GTX635362) diluted at 1:1000. The HRP-conjugated anti-rabbit IgG antibody (GTX213110-01) was used to detect the primary antibody.
RAS (G12D Mutant) antibody [HL10] detects RAS (G12D Mutant) protein at by immunohistochemical analysis.
Sample: Paraffin-embedded KPC mouse pancreatic tumor cells implanted in the pancreas of B6 mice (left) and normal mouse pancreas (right).
RAS (G12D Mutant) stained by RAS (G12D Mutant) antibody [HL10] (GTX635362) diluted at 1:75.
Antigen Retrieval: Citrate buffer, pH 6.0, 40 min
RAS (G12D Mutant) antibody [HL10] detects RAS (G12D Mutant) protein by immunofluorescent analysis.
Sample: Mock and transfected 293T cells were fixed in 4% PFA at RT for 15 min.
Green: RAS (G12D Mutant) stained by RAS (G12D Mutant) antibody [HL10] (GTX635362) diluted at 1:500.
Blue: Fluoroshield with DAPI (GTX30920).
Non-transfected (–) and transfected (+) Various whole cell extracts (30 μg) were separated by 12% SDS-PAGE, and the membrane was blotted with RAS (G12D Mutant) antibody [HL10] (GTX635362) diluted at 1:3000. The HRP-conjugated anti-rabbit IgG antibody (GTX213110-01) was used to detect the primary antibody.
风险提示:丁香通仅作为第三方平台,为商家信息发布提供平台空间。用户咨询产品时请注意保护个人信息及财产安全,合理判断,谨慎选购商品,商家和用户对交易行为负责。对于医疗器械类产品,请先查证核实企业经营资质和医疗器械产品注册证情况。
文献和实验Scott Ferguson et al., Sci Adv 2022 (PMID:35452280)
种(如 EGFR 突变、ALK/ROS1 重排、KRAS 突变、和 BRAF 突变等),利用基因编辑技术在小鼠上引入该突变基因,使小鼠自发肺癌表型,这类模型可用于肺癌发生与转移机制的研究,以及抗肿瘤药物的筛选和评价。下面小编将主要为大家介绍两种常见的自发肺癌模型。 KRAS 突变肺癌模型 KRAS 基因是首个被确定的原癌基因,其编码的基因是一种小的 GTP 水解酶,通过在激活(GTP 结合)和失活(GDP 结合)构象之间循环来控制多个信号级联通路,与 HRAS、NRAS 同属于 Ras 超蛋白
Antibody Staining of Imaginal Discs
Antibody Staining of Imaginal Discs From DIS- Thom Kaufman's lab 1. Dissect tissues in Tri-PBS, gather in a 1.5 ml tube of Tri-PBS on ice(at least 10 animals can be processed in one tube). Tear larvae
Site-Directed Mutagenesis of Antibody-Variable Regions
has an average error rate of 0.8% (6 ,7 ). In this chapter, we described an efficient method for mutagenesis of cloned antibody fragments in which mutant oligonucleotides are utilized to initiate the synthesis of a phosphorothioate nucleotide containing DNA
技术资料暂无技术资料 索取技术资料





![Cyclin B1 antibody [1A5]](https://img1.dxycdn.com/2023/0711/451/6106825198874858761-14.jpg!wh200)


