相关产品推荐更多 >
万千商家帮你免费找货
0 人在求购买到急需产品
- 详细信息
- 文献和实验
- 技术资料
- 免疫原:
Recombinant funsion protein containing a sequence corresponding to amino acids 1-147 of human PPP1R14A (NP_150281.1).
- 亚型:
IgG
- 形态:
Liquid
- 保存条件:
Store as concentrated solution. Centrifuge briefly prior to opening vial. For short-term storage (1-2 weeks), store at 4ºC. For long-term storage, aliquot and store at -20ºC or below. Avoid multiple freeze-thaw cycles.
- 克隆性:
Polyclonal
- 标记物:
Unconjugated
- 适应物种:
Human, Mouse, Rat
- 保质期:
12 months from the shipping date of the product.
- 抗原来源:
Human
- 目录编号:
GTX66050
- 级别:
Primary Antibodies
- 库存:
Available
- 供应商:
GeneTex
- 宿主:
Rabbit
- 应用范围:
WB
- 浓度:
Batch dependent (Please refer to the vial label for the specific concentration.)
- 靶点:
CPI-17
- 抗体英文名:
CPI-17 antibody
- 抗体名:
CPI-17 抗体
- 规格:
100 μl
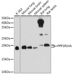
WB analysis of various sample lysates using GTX66050 CPI-17 antibody.
Dilution : 1:1000
Loading : 25μg per lane
风险提示:丁香通仅作为第三方平台,为商家信息发布提供平台空间。用户咨询产品时请注意保护个人信息及财产安全,合理判断,谨慎选购商品,商家和用户对交易行为负责。对于医疗器械类产品,请先查证核实企业经营资质和医疗器械产品注册证情况。
文献和实验17-酮甾类(酮类固醇) 17-ketosteroid,17 oxosteroid
甾类骨架上第 17位碳原子上的氧基的化合物之总称,缩写 17KS。在生物体内,是由 17位羟基的酶促氧化和 C17 -C20 键切断生成的。在尿中含有来自副肾皮质的去氢表雄酮及其硫酸酯,睾丸酮的代谢物雄酮和表雄酮等。雌酮也以 17-酮甾类的形态存在着。因为副肾皮质和卵巢肿瘤患者的尿中的排出量很高,所以可作为临床的诊断指标。又因 17-酮甾类在碱性间 -硝基苯溶液中呈紫色,所以可进行定量测定。
C18 H24 O2 雌甾 -1, 3, 5( 10) -三烯 -3, 17-二醇。系代表性的性激素,可用卵巢、胎盘等制备,在卵泡液、胎盘、妊娠马尿中均可检出。进入子宫上皮细胞后,与性激素受体形成复合体进入细胞核,从而促进新的蛋白质合成,具有引起细胞增殖的作用。此外,能影响未成熟或切除卵巢的大鼠或小鼠的阴道分泌物,使呈现由角化细胞组成的显微镜象,所以也用作生物试验。在生物体内,在 17β -羟甾类脱氢酶的作用下氧化成为雌酮。 17α -羟甾体性激素的作用弱。作为女性
甾类(化合物)17α-羟化酶 steroid 17α-hy- droxylase,s eroid 17α-monooxygeoase
甾类(化合物)17α-羟化酶 steroid 17α-hy- droxylase,s eroid 17α-monooxygeoase 存在于睾丸、肾上腺的微粒体部分。是一种在甾类分子的17α位置上引入羟基的酶。EC1、14、99、9。需要有分子态氧和NADPH存在,与P-450有关。例如将黄体酮和孕(甾)烯醇酮各自成为17α-羟基黄体酮和17α-羟基孕烯醇酮。在鼠的肾上腺中不存在此酶。
技术资料暂无技术资料 索取技术资料








