相关产品推荐更多 >
万千商家帮你免费找货
0 人在求购买到急需产品
- 详细信息
- 文献和实验
- 技术资料
- 免疫原:
Peptide with sequence QRDEDDAPLCED, from the internal region (near N Terminus) of the protein sequence according to NP_085144.1.
- 亚型:
IgG
- 形态:
Liquid
- 保存条件:
Store as concentrated solution. Centrifuge briefly prior to opening vial. For short-term storage (1-2 weeks), store at 4ºC. For long-term storage, aliquot and store at -20ºC or below. Avoid multiple freeze-thaw cycles.
- 克隆性:
Polyclonal
- 标记物:
Unconjugated
- 适应物种:
Human
- 保质期:
12 months from the shipping date of the product.
- 抗原来源:
Human
- 目录编号:
GTX47586
- 级别:
Primary Antibodies
- 库存:
Available
- 供应商:
GeneTex
- 宿主:
Goat
- 应用范围:
WB, IHC-P
- 浓度:
0.50 mg/ml (Please refer to the vial label for the specific concentration.)
- 靶点:
Apolipoprotein L6
- 抗体英文名:
Apolipoprotein L6 antibody, Internal (near N-term)
- 抗体名:
Apolipoprotein L6 抗体, Internal (near N-term)
- 规格:
100 μg
WB analysis of human kidney lysate using GTX47586 Apolipoprotein L6 antibody, Internal (near N-term).
Dilution : 1μg/ml
Loading : 35μg protein in RIPA buffer
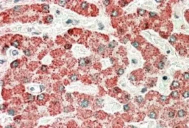
IHC-P analysis of human liver using GTX47586 Apolipoprotein L6 antibody, Internal (near N-term).
Antigen retrieval : Tris/EDTA buffer pH 9
Dilution : 5μg/ml
风险提示:丁香通仅作为第三方平台,为商家信息发布提供平台空间。用户咨询产品时请注意保护个人信息及财产安全,合理判断,谨慎选购商品,商家和用户对交易行为负责。对于医疗器械类产品,请先查证核实企业经营资质和医疗器械产品注册证情况。
文献和实验Protocol for anti-HA antibody Western Blotting
of interest. 2) Transfer proteins in acrylamide gel to nylon membrane. 3) Block overnight @4℃ in PBS (or TBS, it doesn't matter) with 5% non-fat dry milk. I dilute 2.5 mg in 50 ml. 4) Wash off excess milk sol'n with PBS x3 .(important if you are re-using your antibody
secondary antibody review -- data from 99 publications
cytometry used as a control to detect cell responses targeted antigen 7 Alexa Fluor 488 7 Cy3 8 goat IgG Alexa Fluor 488 1:2000 detect antibody binding in human embryonic kidney 293T cells Invitrogen 9 donkey
Protocol for anti-HA antibody Western Blotting
of interest. 2) Transfer proteins in acrylamide gel to nylon membrane 3) Block overnight @4C in PBS (or TBS, it doesn't matter) with 5% non-fat dry milk. I dilute 2.5 mg in 50 ml. 4) Wash off excess milk sol'n with PBS x3 (important if you are re-using
技术资料暂无技术资料 索取技术资料





![eIF2 alpha antibody [N1C3]](https://img1.dxycdn.com/2023/0516/895/8887749495766728561-14.jpg!wh200)
![TdT antibody [SEN28]](https://img1.dxycdn.com/2023/0711/451/6106825198874858761-14.jpg!wh200)
![TNFAIP8 antibody [N1C3-2]](https://img1.dxycdn.com/2023/0711/255/2344116916935858761-14.jpg!wh200)


