相关产品推荐更多 >
万千商家帮你免费找货
0 人在求购买到急需产品
- 详细信息
- 文献和实验
- 技术资料
- 免疫原:
KLH conjugated synthetic peptide derived from human CD92(70-120).
- 亚型:
IgG
- 形态:
Liquid
- 保存条件:
Store as concentrated solution. Centrifuge briefly prior to opening vial. For short-term storage (1-2 weeks), store at 4ºC. For long-term storage, aliquot and store at -20ºC or below. Avoid multiple freeze-thaw cycles.
- 克隆性:
Polyclonal
- 标记物:
Unconjugated
- 适应物种:
Human, Mouse, Rat
- 保质期:
12 months from the shipping date of the product.
- 抗原来源:
Human
- 目录编号:
GTX51574
- 级别:
Primary Antibodies
- 库存:
Available
- 供应商:
GeneTex
- 宿主:
Rabbit
- 应用范围:
WB, IHC-P
- 浓度:
1 mg/ml (Please refer to the vial label for the specific concentration.)
- 靶点:
CD92
- 抗体英文名:
CD92 antibody
- 抗体名:
CD92 抗体
- 规格:
100 μl
WB analysis of mouse liver tissue lysate using GTX51574 CD92 antibody.
Dilution : 1:300
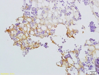
IHC-P analysis of rat bone marrow tissue using GTX51574 CD92 antibody.
Dilution : 1:200
风险提示:丁香通仅作为第三方平台,为商家信息发布提供平台空间。用户咨询产品时请注意保护个人信息及财产安全,合理判断,谨慎选购商品,商家和用户对交易行为负责。对于医疗器械类产品,请先查证核实企业经营资质和医疗器械产品注册证情况。
文献和实验Purification of Immature CD4+CD8+ Thymocytes by Panning with Anti-CD8 Antibody
Most T lymphocytes of the immune system differentiate within the thymus along the CD4/CD8 developmental pathway by a highly ordered process termed thymic selection ( 1 , 2 ). The maturation status of thymocytes is commonly assessed
7211011 小鼠淋巴细胞分离液 达优 100339 Ultra-LEAF™ Purified anti-mouse CD3ε Antibody BioLegend 102115 Ultra-LEAF™ Purified anti-mouse CD28 Antibody BioLegend CD3/CD28 Streptamer® 多聚体法: 货号 名称
流式课堂 | 易被忽略的 CD4、CD8 共表达细胞——胸腺淋巴细胞
做过流式实验的同学,对 CD4、CD8 这两个指标都不会陌生。检测 CD4+ T 细胞和 CD8+ T 细胞分型,是流式中最常见的实验之一。 通常,我们会先检测 CD3,来圈总T淋巴细胞,再分别用 CD4 抗体和 CD8 抗体,来区分 CD4+ T 淋巴细胞(辅助或调节性T细胞)和 CD8+ T 淋巴细胞(细胞毒性 T 细胞)。 新生小鼠脾脏细胞 上图为新生小鼠脾脏细胞进行的 CD3-PE、CD4-FITC、CD8-APC 三色流式实验结果。从图中可以看出,在新生小鼠脾脏中,绝大
技术资料暂无技术资料 索取技术资料








